ACOX1 Antibody
-
中文名稱:ACOX1兔多克隆抗體
-
貨號:CSB-PA776608
-
規格:¥1100
-
圖片:
-
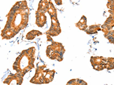
The image on the left is immunohistochemistry of paraffin-embedded Human colon cancer tissue using CSB-PA776608(ACOX1 Antibody) at dilution 1/40, on the right is treated with fusion protein. (Original magnification: ×200)
-
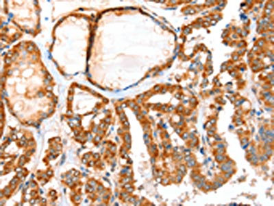
The image on the left is immunohistochemistry of paraffin-embedded Human thyroid cancer tissue using CSB-PA776608(ACOX1 Antibody) at dilution 1/40, on the right is treated with fusion protein. (Original magnification: ×200)
-
-
其他:
產品詳情
-
Uniprot No.:
-
基因名:
-
別名:ACOX antibody; ACOX1 antibody; ACOX1_HUMAN antibody; Acyl CoA oxidase 1 palmitoyl antibody; Acyl CoA oxidase straight chain antibody; AOX antibody; EC 1.3.3.6 antibody; PALMCOX antibody; Palmitoyl CoA oxidase antibody; Palmitoyl-CoA oxidase antibody; Peroxisomal acyl coenzyme A oxidase 1 antibody; Peroxisomal acyl-coenzyme A oxidase 1 antibody; Peroxisomal fatty acyl CoA oxidase antibody; SCOX antibody; Straight chain acyl CoA oxidase antibody; Straight-chain acyl-CoA oxidase antibody
-
宿主:Rabbit
-
反應種屬:Human,Mouse,Rat
-
免疫原:Fusion protein of Human ACOX1
-
免疫原種屬:Homo sapiens (Human)
-
標記方式:Non-conjugated
-
抗體亞型:IgG
-
純化方式:Antigen affinity purification
-
濃度:It differs from different batches. Please contact us to confirm it.
-
保存緩沖液:-20°C, pH7.4 PBS, 0.05% NaN3, 40% Glycerol
-
產品提供形式:Liquid
-
應用范圍:ELISA,IHC
-
推薦稀釋比:
Application Recommended Dilution ELISA 1:2000-1:5000 IHC 1:50-1:200 -
Protocols:
-
儲存條件:Upon receipt, store at -20°C or -80°C. Avoid repeated freeze.
-
貨期:Basically, we can dispatch the products out in 1-3 working days after receiving your orders. Delivery time maybe differs from different purchasing way or location, please kindly consult your local distributors for specific delivery time.
-
用途:For Research Use Only. Not for use in diagnostic or therapeutic procedures.
相關產品
靶點詳情
-
功能:Catalyzes the desaturation of acyl-CoAs to 2-trans-enoyl-CoAs. First enzyme of the fatty acid beta-oxidation pathway.; Shows highest activity against medium-chain fatty acyl-CoAs and activity decreases with increasing chain length.; Is active against a much broader range of substrates and shows activity towards very long-chain acyl-CoAs. Is twice as active as isoform 1 against 16-hydroxy-palmitoyl-CoA and is 25% more active against 1,16-hexadecanodioyl-CoA.
-
基因功能參考文獻:
- Because patients with AOx deficiency suffer from more severe symptoms than those with X-ALD, accumulation of VLC-PUFA and/or reduction of DHA may be associated with the severity of peroxisomal diseases. PMID: 24418004
- ACOX1 and GNPAT silencing up-regulated ceramide galactosyltransferase (UGT8) mRNA expression, and down-regulated UDP-glucoseceramide glucosyltransferase (UGCG). PMID: 23933200
- Data show that human ACOX1b isoform is more effective than the ACOX1a isoform in reversing the Acox1 null phenotype in the mouse. PMID: 20195242
- Mutational spectrum of peroxisomal acyl-coenzyme A oxidase deficiency. PMID: 17458872
- report on two new patients with ACOX1 deficiency and mutational analyses PMID: 18536048
顯示更多
收起更多
-
相關疾病:Adrenoleukodystrophy, pseudoneonatal (Pseudo-NALD)
-
亞細胞定位:Peroxisome.
-
蛋白家族:Acyl-CoA oxidase family
-
組織特異性:Widely expressed with highest levels of isoform 1 and isoform 2 detected in testis. Isoform 1 is expressed at higher levels than isoform 2 in liver and kidney while isoform 2 levels are higher in brain, lung, muscle, white adipose tissue and testis. Level
-
數據庫鏈接:
Most popular with customers
-
YWHAB Recombinant Monoclonal Antibody
Applications: ELISA, WB, IHC, IF, FC
Species Reactivity: Human, Mouse, Rat
-
-
-
-
-
-
-
VDAC1 Recombinant Monoclonal Antibody
Applications: ELISA, WB, IHC
Species Reactivity: Human, Mouse, Rat















