ACAD8 Antibody
-
中文名稱:ACAD8兔多克隆抗體
-
貨號:CSB-PA798115
-
規格:¥1100
-
圖片:
-
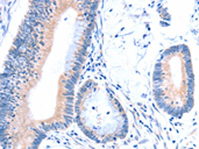
The image on the left is immunohistochemistry of paraffin-embedded Human colon cancer tissue using CSB-PA798115(ACAD8 Antibody) at dilution 1/15, on the right is treated with fusion protein. (Original magnification: ×200)
-
The image on the left is immunohistochemistry of paraffin-embedded Human thyroid cancer tissue using CSB-PA798115(ACAD8 Antibody) at dilution 1/15, on the right is treated with fusion protein. (Original magnification: ×200)
-
-
其他:
產品詳情
-
Uniprot No.:
-
基因名:ACAD8
-
別名:ACAD 8 antibody; ACAD-8 antibody; ACAD8 antibody; ACAD8_HUMAN antibody; Activator-recruited cofactor 42 kDa component antibody; Acyl CoA dehydrogenase family member 8 antibody; Acyl Coenzyme A dehydrogenase family member 8 antibody; Acyl-CoA dehydrogenase family member 8 antibody; ARC42 antibody; FLJ22590 antibody; IBD antibody; Isobutyryl-CoA dehydrogenase antibody; Isobutyryl-CoA dehydrogenase; mitochondrial antibody; mitochondrial antibody
-
宿主:Rabbit
-
反應種屬:Human,Mouse
-
免疫原:Fusion protein of Human ACAD8
-
免疫原種屬:Homo sapiens (Human)
-
標記方式:Non-conjugated
-
抗體亞型:IgG
-
純化方式:Antigen affinity purification
-
濃度:It differs from different batches. Please contact us to confirm it.
-
保存緩沖液:-20°C, pH7.4 PBS, 0.05% NaN3, 40% Glycerol
-
產品提供形式:Liquid
-
應用范圍:ELISA,IHC
-
推薦稀釋比:
Application Recommended Dilution ELISA 1:1000-1:2000 IHC 1:15-1:50 -
Protocols:
-
儲存條件:Upon receipt, store at -20°C or -80°C. Avoid repeated freeze.
-
貨期:Basically, we can dispatch the products out in 1-3 working days after receiving your orders. Delivery time maybe differs from different purchasing way or location, please kindly consult your local distributors for specific delivery time.
-
用途:For Research Use Only. Not for use in diagnostic or therapeutic procedures.
相關產品
靶點詳情
-
功能:Isobutyryl-CoA dehydrogenase which catalyzes one of the steps of the valine catabolic pathway. To a lesser extent, is also able to catalyze the oxidation of (2S)-2-methylbutanoyl-CoA.
-
基因功能參考文獻:
- we discovered a novel c.1156_1158delCAG mutation in ACAD8 in patients with isobutyryl-CoA dehydrogenase deficiency , and investigated the mutation spectrum of ACAD8. PMID: 24635911
- first enzymatic and molecular confirmation of a deficiency of this enzyme in a patient PMID: 12359132
-
相關疾病:Isobutyryl-CoA dehydrogenase deficiency (IBDD)
-
亞細胞定位:Mitochondrion.
-
蛋白家族:Acyl-CoA dehydrogenase family
-
組織特異性:Detected at comparable levels in all tissues examined (heart, lung, brain, skeletal muscle, pancreas and placenta). Weakly expressed in liver and kidney.
-
數據庫鏈接:
Most popular with customers
-
YWHAB Recombinant Monoclonal Antibody
Applications: ELISA, WB, IHC, IF, FC
Species Reactivity: Human, Mouse, Rat
-
Phospho-YAP1 (S127) Recombinant Monoclonal Antibody
Applications: ELISA, WB, IHC
Species Reactivity: Human
-
-
-
-
-
-















