ABO Antibody
-
中文名稱:ABO兔多克隆抗體
-
貨號:CSB-PA210249
-
規格:¥1100
-
圖片:
-
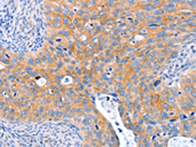
The image on the left is immunohistochemistry of paraffin-embedded Human cervical cancer tissue using CSB-PA210249(ABO Antibody) at dilution 1/50, on the right is treated with synthetic peptide. (Original magnification: ×200)
-
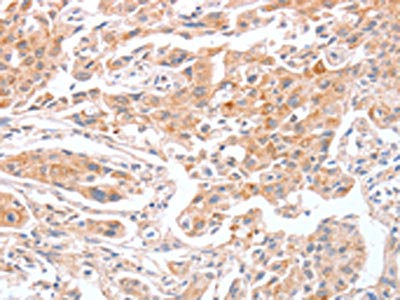
The image on the left is immunohistochemistry of paraffin-embedded Human lung cancer tissue using CSB-PA210249(ABO Antibody) at dilution 1/50, on the right is treated with synthetic peptide. (Original magnification: ×200)
-
-
其他:
產品詳情
-
Uniprot No.:
-
基因名:
-
別名:ABO; Histo-blood group ABO system transferase; Fucosylglycoprotein 3-alpha-galactosyltransferase; Fucosylglycoprotein alpha-N-acetylgalactosaminyltransferase; Glycoprotein-fucosylgalactoside alpha-N-acetylgalactosaminyltransferase; Glycoprotein-fucosylgalactoside alpha-galactosyltransferase; Histo-blood group A transferase; A transferase; Histo-blood group B transferase; B transferase; NAGAT
-
宿主:Rabbit
-
反應種屬:Human
-
免疫原:Synthetic peptide of Human ABO
-
免疫原種屬:Homo sapiens (Human)
-
標記方式:Non-conjugated
-
抗體亞型:IgG
-
純化方式:Antigen affinity purification
-
濃度:It differs from different batches. Please contact us to confirm it.
-
保存緩沖液:-20°C, pH7.4 PBS, 0.05% NaN3, 40% Glycerol
-
產品提供形式:Liquid
-
應用范圍:ELISA,IHC
-
推薦稀釋比:
Application Recommended Dilution ELISA 1:1000-1:5000 IHC 1:50-1:200 -
Protocols:
-
儲存條件:Upon receipt, store at -20°C or -80°C. Avoid repeated freeze.
-
貨期:Basically, we can dispatch the products out in 1-3 working days after receiving your orders. Delivery time maybe differs from different purchasing way or location, please kindly consult your local distributors for specific delivery time.
-
用途:For Research Use Only. Not for use in diagnostic or therapeutic procedures.
相關產品
靶點詳情
-
功能:This protein is the basis of the ABO blood group system. The histo-blood group ABO involves three carbohydrate antigens: A, B, and H. A, B, and AB individuals express a glycosyltransferase activity that converts the H antigen to the A antigen (by addition of UDP-GalNAc) or to the B antigen (by addition of UDP-Gal), whereas O individuals lack such activity.
-
基因功能參考文獻:
- Conserved residues Arg188 and Asp302 are critical for active site organization and catalysis in human ABO(H) blood group A and B glycosyltransferases. PMID: 29873711
- rs579459 and rs505922 within ABO gene and their interaction are associated with increased ischemic stroke risk in Chinese population PMID: 28984382
- These data suggest that single nucleotide polymorphisms ABO rs8176719 and FGG rs2066865 may contribute individually to the venous thromboembolism susceptibility in the Portuguese population. PMID: 29995659
- Bm5.8 deletion is a predominant allele accounting for 99.77% of the Bm alleles in the Japanese individuals with Bm and A1Bm phenotypes. PMID: 29473176
- A rare novel B allele was identified in a B variant. The mutation 518T > C may decrease the glycosyltransferase enzymatic activity and result in the weak B variant, with the presence of anti-B in serum. PMID: 29106707
- The data indicated that the transcription levels of the ABO gene changed with acute myeloid leukemia (AML) disease progression, suggesting its potential role in the progression of AML disease. PMID: 28939368
- the genetic variants in ABO gene may influence the risk of large artery atherosclerotic stroke in Chinese Han population. PMID: 26924317
- A Korean man and his two sons had an ABO mutation at nucleotide position 721 (C substituted by G), resulting in an amino acid change from arginine to glycine. This mutation may affect enzyme activity and/or protein expression. PMID: 28833251
- Kinetic analysis of GTA and GTB point mutants E303C, E303D, E303Q and E303A shows that despite the enzymes having nearly identical sequences, the corresponding mutants of GTA/GTB have up to a 13-fold difference in their residual activities relative to wild type PMID: 27979997
- an ABO exonic missense mutation affects B-antigen expression by decreasing the mRNA level of the ABO gene PMID: 28653406
- Binding either of the donor substrate UDP-Gal or of UDP induces a semiclosed conformation of blood group glycosyltransferases A and B. PMID: 28256109
- These results support the contention that ABO expression is dependent upon a downstream positive regulatory element functioning through a tissue-restricted transcription factor, Elf5, in epithelial cells. PMID: 27587399
- The Arg180 residue in the loop region of the ABO glycosyltransferases structure plays significant role in stabilizing its closed conformation. PMID: 27538125
- Our findings indicated that genetic variations of ABO gene may contribute to susceptibility of large artery atherosclerosis but not ischemic stroke and small vessel diseases in the Chinese population PMID: 27542834
- High Blood type A, is associated with recurrence in bladder cancer among patients undergoing radical cystectomy. PMID: 26329815
- Data suggest women with blood groups A, B, O (i.e. non-AB) exhibit increased risk for gestational diabetes mellitus (GDM) compared with those with blood group AB; thus, glycosylation of the H antigen via NAGAT may be risk/protective factor for GDM. PMID: 25820620
- We validated a strong influence of ABO blood type on von Willebrand Factor levels, but also detected a direct ABO influence on FVIII activity and FVIII/VWF ratio after adjustment for VWF. PMID: 26244499
- AQP1 and ABO variants appear to predict hemoglobin and hematocrit levels but not other erythrocyte phenotype parameters including red blood cell counts and red blood cell indices PMID: 26632894
- No association was found between FUT2 and ABO single nucleotide polymorphism (SNPs) and chronic pancreatitis. PMID: 25814649
- this study documented down-regulation of galectin-3 and Bcl-2 (antiapoptotic molecules) and stepwise increase of survivin (inhibitor of apoptosis), during thyroid tumor progression from PTC to ATC. PMID: 25471003
- Non-O blood type is associated with future cardiovascular events in Chinese Han patients undergoing coronary angiography. PMID: 26512559
- Blood group A and genotype AA showed the highest risks of hepatocellular carcinoma. PMID: 25854361
- An association between blood type O and the occurrence of neuroendocrine tumors in MEN1 patients was not confirmed. PMID: 26247473
- ABO blood type was not associated with risk of aggressive prostate cancer. PMID: 26268879
- This study provided evidence of SNP rs505922 C allele of the ABO gene as a strong risk factor of cancer susceptibility, specifically for pancreatic cancer. PMID: 25656610
- Alteration of DNA sequence in the ABO gene resulted in amino acid substitutions and led to a weak or missing expression of ABO antigens. PMID: 25217989
- The FII G19911A and FII C20068T are potentially associated with an increased risk for the occurrence of isolated pulmonary embolism PMID: 26148378
- alpha 1-3-N-acetylgalactosaminyltransferase-knockout pig did not appear to have an advantage over the GalT-KO pig with respect to reactivity with human antibodies from a xenotransplantation perspective PMID: 24219248
- The catalytic mechanism of the human alpha-(1,3)-galactosyltransferase (GTBWT) and its E303C mutant (GTBE303C) has been described. PMID: 25138306
- Eight heterozygous sites in exons 6 and 7 (261delG 297A/G, 421C/T, 467C/T, 646T/A, 681G/A, 771C/T, 829G/A) of the ABO gene were identified PMID: 25636112
- We unraveled a novel A(weak) allele (ABO*AW.29) in a case of apparent nonmaternity PMID: 25156869
- Data indicate that mong 7111 tested ABO blood-group system gene, 75 were assigned as A2 or A2B phenotypes. PMID: 25297604
- The rs495828 polymorphism of the ABO gene was associated with enalapril-induced cough and may serve as a useful pharmacogenomics marker of the safety of enalapril in Chinese patients with essential hypertension. PMID: 24743543
- the GWAS-identified ABO variants (rs505922, rs495828, rs657152, and rs630014) were found to be associated with risk of pancreatic ductal adenocarcinoma in a Chinese population PMID: 23816557
- Nucleotide substitutions in transcriptional regulatory elements in the ABO promoter, decrease transcription from the A- and B-alleles, resulting in reduction in A- and B-antigen expression in A3 and B3, respectively. PMID: 24602004
- The sequence of alpha 1,3 galactosyltransferase B allele has differed from that of regular B101 allele. PMID: 24510570
- Twenty-nine ABO subgroup alleles were newly linked to different kinds of ABO variations. We provide the first evidence that promoter abnormality is involved in the formation of weak ABO phenotypes. PMID: 23521133
- the mutation in the GATA motif of the erythroid-specific regulatory element may diminish the binding of GATA transcription factors and down regulate transcriptional activity of the element on the B allele. PMID: 23560502
- High cholesterol absorption is associated with risk alleles in ABO (and ABCG8) and with cardiovascular disease. PMID: 23707316
- A novel A allele with the 595C >T mutation identified in a Chinese individual with the Am phenotype. PMID: 23387832
- Single-nucleotide polymorphisms in ABO gene is associated with variation in soluble E-selectin levels leading to cardiovascular diseases. PMID: 23300549
- SNPs in the ABO gene are associated with risk of advanced precancerous gastric lesions in individuals infected with Helicobacter pylori, dependent on cagA status PMID: 23319424
- Patients with ABO blood group genetic mutation are at risk developing venous thromboembolism and myocardial infarction. PMID: 23382263
- ABO genetic variants are associated with large-vessel and cardioembolic stroke but not small-vessel disease. PMID: 23381943
- Linkage analysis identifies an ABO locus on chromosome 9q34 for plasma von Willebrand factor that explained 24.5% of the variance in VWF levels. PMID: 23267103
- Our findings confirm that ABO is one of the genetic factors that are associated with hematological traits in the Korean population. PMID: 22963146
- Compared to group A/non-secretors, group O/non-secretor individuals were at increased risk of carrying S. aureus in their throat.Histo-blood group antigens appear to act as ligands for S. aureus and may contribute to the observed population variation in pharyngeal S. aureus colonization. PMID: 22664149
- The minor allele of rs505922 and the resulting non-O blood types are not associated with increased risk or less favorable tumor characteristics or prognosis in breast cancer. PMID: 22642827
- A common variant of the ABO gene protects against hypertension in a Spanish population. PMID: 22258027
- Genetic variations at the ABO locus are associated with circulating levels of ICAM1, P-selectin, and E-selectin. PMID: 22010135
顯示更多
收起更多
-
亞細胞定位:Golgi apparatus, Golgi stack membrane; Single-pass type II membrane protein. Secreted. Note=Membrane-bound form in trans cisternae of Golgi. Secreted into the body fluid.
-
蛋白家族:Glycosyltransferase 6 family
-
數據庫鏈接:
Most popular with customers
-
-
YWHAB Recombinant Monoclonal Antibody
Applications: ELISA, WB, IHC, IF, FC
Species Reactivity: Human, Mouse, Rat
-
-
-
-
-
-















