ABCF1 Antibody
-
中文名稱:ABCF1兔多克隆抗體
-
貨號:CSB-PA261772
-
規格:¥1100
-
圖片:
-
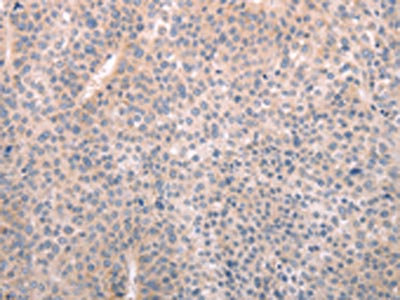
The image on the left is immunohistochemistry of paraffin-embedded Human cervical cancer tissue using CSB-PA261772(ABCF1 Antibody) at dilution 1/40, on the right is treated with fusion protein. (Original magnification: ×200)
-
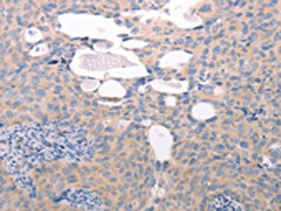
The image on the left is immunohistochemistry of paraffin-embedded Human liver cancer tissue using CSB-PA261772(ABCF1 Antibody) at dilution 1/40, on the right is treated with fusion protein. (Original magnification: ×200)
-
-
其他:
產品詳情
-
Uniprot No.:
-
基因名:ABCF1
-
別名:ABC27 antibody; ABC50 antibody; ABCF1 antibody; ABCF1_HUMAN antibody; ATP binding cassette 50 (TNF alpha stimulated) antibody; ATP binding cassette 50 antibody; ATP binding cassette sub family F member 1 antibody; ATP binding cassette; sub family F (GCN20); member 1 antibody; ATP-binding cassette 50 antibody; ATP-binding cassette sub-family F member 1 antibody; AU041969 antibody; D17Wsu166e antibody; EST123147 antibody; GCN20 antibody; TNF alpha stimulated ABC protein antibody; TNF-alpha-stimulated ABC protein antibody; TNFalpha inducible ATP binding protein antibody; wu:fb79c06 antibody; wu:fc39a05 antibody; wu:fj94a08 antibody; zgc:85667 antibody
-
宿主:Rabbit
-
反應種屬:Human,Mouse,Rat
-
免疫原:Fusion protein of Human ABCF1
-
免疫原種屬:Homo sapiens (Human)
-
標記方式:Non-conjugated
-
抗體亞型:IgG
-
純化方式:Antigen affinity purification
-
濃度:It differs from different batches. Please contact us to confirm it.
-
保存緩沖液:-20°C, pH7.4 PBS, 0.05% NaN3, 40% Glycerol
-
產品提供形式:Liquid
-
應用范圍:ELISA,IHC
-
推薦稀釋比:
Application Recommended Dilution ELISA 1:2000-1:10000 IHC 1:50-1:200 -
Protocols:
-
儲存條件:Upon receipt, store at -20°C or -80°C. Avoid repeated freeze.
-
貨期:Basically, we can dispatch the products out in 1-3 working days after receiving your orders. Delivery time maybe differs from different purchasing way or location, please kindly consult your local distributors for specific delivery time.
-
用途:For Research Use Only. Not for use in diagnostic or therapeutic procedures.
相關產品
靶點詳情
-
功能:Isoform 2 is required for efficient Cap- and IRES-mediated mRNA translation initiation. Isoform 2 is not involved in the ribosome biogenesis.
-
基因功能參考文獻:
- The high copy number variant in the ABCF1 gene was the strongest risk factor for gout. PMID: 28405828
- ABCF1 extrinsically regulates retinal pigment epithelial cell phagocytosis of shed photoreceptor outer segments. PMID: 25904329
- Elevated microRNA-23a Expression Enhances the Chemoresistance of Colorectal Cancer Cells with Microsatellite Instability to 5-Fluorouracil by Directly Targeting ABCF1 PMID: 25929864
- expression of ABC50 mutants, which cannot hydrolyse ATP, decreases general translation and relaxes the discrimination against the use of non-AUG codons at translation start sites. PMID: 25597744
- A rare copy number variation of the ABCF1 gene was detected among dengue patients from Malaysia. PMID: 24634119
- The results suggested that SNPs at PRR3 and ABCF1 genes and the haplotype composed by SNPs at GNL1 and PRR3 between the HLA-A and HLA-C genes tended to predict Graves ophthalmology in a gender-dependent manner in patients with Graves disease in Taiwan. PMID: 24908204
- ABCF1 showed a significant increase in expression after escitalopram treatment. PMID: 23719290
- ABCF1 is a critical protein that associates with viral double-stranded DNA. PMID: 23263557
- The two critical HLA regions for susceptibility to autoimmune pancreatitis are limited to the HLA-DRB1*0405-DQB1*0401 in the class II and the ABCF1in the class I regions. PMID: 17119950
- ABC50 N-terminal region interacts with eukaryotic initiation factor eIF2 and is a target for regulatory phosphorylation by CK2 PMID: 17894550
- ABC50 plays a key role in translation initiation and has functions that are distinct from those of other non-membrane ABC proteins. PMID: 19570978
顯示更多
收起更多
-
亞細胞定位:[Isoform 2]: Cytoplasm. Nucleus, nucleoplasm. Nucleus envelope.
-
蛋白家族:ABC transporter superfamily, ABCF family, EF3 subfamily
-
組織特異性:Ubiquitous.
-
數據庫鏈接:
Most popular with customers
-
-
YWHAB Recombinant Monoclonal Antibody
Applications: ELISA, WB, IHC, IF, FC
Species Reactivity: Human, Mouse, Rat
-
Phospho-YAP1 (S127) Recombinant Monoclonal Antibody
Applications: ELISA, WB, IHC
Species Reactivity: Human
-
-
-
-
-















