ABCB9 Antibody
-
中文名稱:ABCB9兔多克隆抗體
-
貨號:CSB-PA937099
-
規格:¥1100
-
圖片:
-
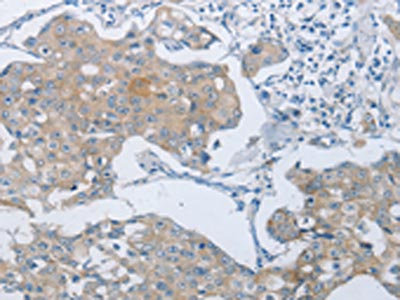
The image on the left is immunohistochemistry of paraffin-embedded Human gastic cancer tissue using CSB-PA937099(ABCB9 Antibody) at dilution 1/15, on the right is treated with synthetic peptide. (Original magnification: ×200)
-
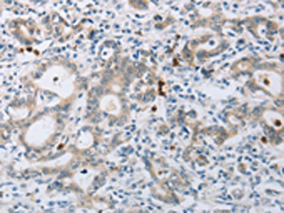
The image on the left is immunohistochemistry of paraffin-embedded Human breast cancer tissue using CSB-PA937099(ABCB9 Antibody) at dilution 1/15, on the right is treated with synthetic peptide. (Original magnification: ×200)
-
Gel: 8%SDS-PAGE, Lysate: 40 μg, Lane: Hela cells, Primary antibody: CSB-PA937099(ABCB9 Antibody) at dilution 1/250, Secondary antibody: Goat anti rabbit IgG at 1/8000 dilution, Exposure time: 1 minute
-
-
其他:
產品詳情
-
Uniprot No.:
-
基因名:ABCB9
-
別名:ABCB9 antibody; KIAA1520ATP-binding cassette sub-family B member 9 antibody; ATP-binding cassette transporter 9 antibody; ABC transporter 9 protein antibody; hABCB9 antibody; TAP-like protein antibody; TAPL antibody
-
宿主:Rabbit
-
反應種屬:Human
-
免疫原:Synthetic peptide of Human ABCB9
-
免疫原種屬:Homo sapiens (Human)
-
標記方式:Non-conjugated
-
抗體亞型:IgG
-
純化方式:Antigen affinity purification
-
濃度:It differs from different batches. Please contact us to confirm it.
-
保存緩沖液:-20°C, pH7.4 PBS, 0.05% NaN3, 40% Glycerol
-
產品提供形式:Liquid
-
應用范圍:ELISA,WB,IHC
-
推薦稀釋比:
Application Recommended Dilution ELISA 1:1000-1:2000 WB 1:200-1:1000 IHC 1:15-1:50 -
Protocols:
-
儲存條件:Upon receipt, store at -20°C or -80°C. Avoid repeated freeze.
-
貨期:Basically, we can dispatch the products out in 1-3 working days after receiving your orders. Delivery time maybe differs from different purchasing way or location, please kindly consult your local distributors for specific delivery time.
-
用途:For Research Use Only. Not for use in diagnostic or therapeutic procedures.
相關產品
靶點詳情
-
功能:ATP-dependent low-affinity peptide transporter which translocates a broad spectrum of peptides from the cytosol to the lysosomal lumen for degradation. Displays a broad peptide length specificity from 6-mer up to at least 59-mer peptides with an optimum of 23-mers. Binds and transports smaller and larger peptides with the same affinity. Favors positively charged, aromatic or hydrophobic residues in the N- and C-terminal positions whereas negatively charged residues as well as asparagine and methionine are not favored.
-
基因功能參考文獻:
- The structure of the unique domain of TAPL, is reported. PMID: 24013930
- LAMP proteins retain TAPL on the limiting membrane of endosomes and prevent its sorting to intraluminal vesicles. PMID: 22641697
- These results suggest that TAPL may be localized to the microdomains (lipid rafts) of lysosomal membranes enriched in cholesterol. PMID: 21212514
- By dissecting ABCB9, distinct functions were assigned to the core complex and the extra N-terminal transmembrane domain. PMID: 20377823
- is part of the peptide-loading complex in the classic route of antigen processing via major histocompatibility complex class I molecules PMID: 15863492
- These findings suggest that the transport activity of hTAPL is important for conferring high valinomycin-sensitive phenotype to yeast. PMID: 16554024
- the TAPL-specific translocation of peptides into isolated lysosomes strictly requires ATP hydrolysis PMID: 17977821
- The ATP-binding of TAPL required Mg(2+), and was observed at neutral pH. Chemical cross-linking experiments suggested that TAPL forms a homodimer in the membrane and under the solubilized conditions. PMID: 18175933
- analysis of lipid activation of the lysosomal transport complex ABCB9 PMID: 18434309
- These results suggest that the sorting signal for lysosomes is present within the amino-terminal transmembrane domain (Met(1)-Arg(141)) of the TAPL molecule. PMID: 18952056
顯示更多
收起更多
-
亞細胞定位:Lysosome membrane; Multi-pass membrane protein.
-
蛋白家族:ABC transporter superfamily, ABCB family, MHC peptide exporter (TC 3.A.1.209) subfamily
-
組織特異性:Highly expressed in testis, and at moderate levels in brain, spinal cord, and thyroid. Not expressed in monocytes but strongly expressed during differentiation of monocytes to dendritic cells and macrophages.
-
數據庫鏈接:
Most popular with customers
-
-
YWHAB Recombinant Monoclonal Antibody
Applications: ELISA, WB, IHC, IF, FC
Species Reactivity: Human, Mouse, Rat
-
Phospho-YAP1 (S127) Recombinant Monoclonal Antibody
Applications: ELISA, WB, IHC
Species Reactivity: Human
-
-
-
-
-















