ABCB6 Antibody
-
中文名稱:ABCB6兔多克隆抗體
-
貨號:CSB-PA976738
-
規格:¥1100
-
圖片:
-
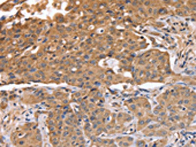
The image on the left is immunohistochemistry of paraffin-embedded Human colon cancer tissue using CSB-PA976738(ABCB6 Antibody) at dilution 1/15, on the right is treated with fusion protein. (Original magnification: ×200)
-
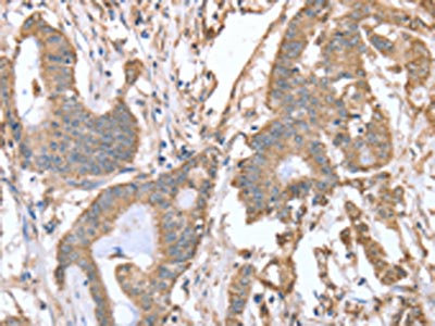
The image on the left is immunohistochemistry of paraffin-embedded Human lung cancer tissue using CSB-PA976738(ABCB6 Antibody) at dilution 1/15, on the right is treated with fusion protein. (Original magnification: ×200)
-
Gel: 8%SDS-PAGE, Lysate: 40 μg, Lane 1-2: Mouse liver tissue, SP20 cells, Primary antibody: CSB-PA976738(ABCB6 Antibody) at dilution 1/320, Secondary antibody: Goat anti rabbit IgG at 1/8000 dilution, Exposure time: 1 minute
-
-
其他:
產品詳情
-
Uniprot No.:
-
基因名:
-
別名:ABC antibody; ABC transporter umat antibody; ABC14 antibody; Abcb6 antibody; ABCB6_HUMAN antibody; ATP binding cassette sub family B member 6; mitochondrial precursor antibody; ATP binding cassette; sub family B (MDR/TAP); member 6 antibody; ATP-binding cassette half-transporter antibody; ATP-binding cassette sub-family B member 6 antibody; ATP-binding cassette sub-family B member 6; mitochondrial antibody; DUH3 antibody; LAN antibody; MCOPCB7 antibody; Mitochondrial ABC transporter 3 antibody; mitochondrial antibody; Mt ABC transporter 3 antibody; Mt-ABC transporter 3 antibody; MTABC3 antibody; P glycoprotein related protein antibody; P-glycoprotein-related protein antibody; PRP antibody; Ubiquitously expressed mammalian ABC half transporter antibody; Ubiquitously-expressed mammalian ABC half transporter antibody; UMAT antibody
-
宿主:Rabbit
-
反應種屬:Human,Mouse,Rat
-
免疫原:Fusion protein of Human ABCB6
-
免疫原種屬:Homo sapiens (Human)
-
標記方式:Non-conjugated
-
抗體亞型:IgG
-
純化方式:Antigen affinity purification
-
濃度:It differs from different batches. Please contact us to confirm it.
-
保存緩沖液:-20°C, pH7.4 PBS, 0.05% NaN3, 40% Glycerol
-
產品提供形式:Liquid
-
應用范圍:ELISA,WB,IHC
-
推薦稀釋比:
Application Recommended Dilution ELISA 1:1000-1:2000 WB 1:200-1:1000 IHC 1:25-1:100 -
Protocols:
-
儲存條件:Upon receipt, store at -20°C or -80°C. Avoid repeated freeze.
-
貨期:Basically, we can dispatch the products out in 1-3 working days after receiving your orders. Delivery time maybe differs from different purchasing way or location, please kindly consult your local distributors for specific delivery time.
-
用途:For Research Use Only. Not for use in diagnostic or therapeutic procedures.
相關產品
靶點詳情
-
功能:ATP-dependent transporter that catalyzes the transport of a broad-spectrum of porphyrins from the cytoplasm to the extracellular space through the plasma membrane or into the vesicle lumen. May also function as an ATP-dependent importer of porphyrins from the cytoplasm into the mitochondria, in turn may participate in the de novo heme biosynthesis regulation and in the coordination of heme and iron homeostasis during phenylhydrazine stress. May also play a key role in the early steps of melanogenesis producing PMEL amyloid fibrils. In vitro, it confers to cells a resistance to toxic metal such as arsenic and cadmium and against chemotherapeutics agent such as 5-fluorouracil, SN-38 and vincristin. In addition may play a role in the transition metal homeostasis.
-
基因功能參考文獻:
- Severely affected porphyria patients harbor variant alleles in the ABCB6 gene. PMID: 27507172
- ABCB6 missense mutations in red blood cells from subjects with familial pseudohyperkalemia show elevated potassium ion efflux. PMID: 27151991
- genetic variants linked to lower or absent cell surface expression of ABCB6/Langereis may be more common than previously thought. PMID: 25360778
- These data indicate that the expression of ABCB6 in plasma membrane is important for porphyrin accumulation after ALA administration, including hypoxic conditions. PMID: 25573285
- Identified two novel ABCB6 mutations in two Chinese families affected with dyschromatosis universalis hereditaria (DUH), underscoring the causative role of the ABCB6 mutations in the molecular pathogenesis of DUH. PMID: 25288164
- Data suggest N-terminal transmembrane domain of ABCB6 functions as independent folding unit and plays crucial role in lysosomal (rather than plasma membrane) targeting of ABCB6; this domain is dispensable for dimerization and ATP binding/hydrolysis. PMID: 25627919
- a heterozygous substitution Arg723Gln in the ATP-binding cassette, Subfamily B, Member 6 protein that segregated with FP in the Cardiff family and was also present in both blood donors. Arg723Gln is listed in human variation databases PMID: 24947683
- Data indicate ATP-binding cassette sub-family B member 6 (ABCB6) as the disease candidate gene by discovering a coding mutation (c.1358C>T; p.Ala453Val) that co-segregates with the dyschromatosis universalis hereditaria phenotype. PMID: 24498303
- Expression of ABCB6 is related to resistance to 5-FU, SN-38 and vincristine. PMID: 25202056
- We describe eight new mutations in ABCB6 of which seven, including three missense mutations, underlie the Lan- phenotype and determine that a complete gene deletion of ABCG2 or ABCB6 is not responsible for the Jr(a-) or Lan- phenotype, respectively. PMID: 24456066
- High expression levels of ABCB6 are associated with glioma. PMID: 22688660
- data add new variants to the repertoire of ABCB6 mutations with dyschromatosis universalis hereditaria. PMID: 24224009
- No significant associations were detected for the ABCB6 or ABCG1 gene. PMID: 24192121
- Data suggest that expression of ABCB6 varies widely in bone marrow and blood samples from patients with acute myeloid leukemia. [LETTER] PMID: 23793916
- To date, 19 ABCB6 alleles that encode Lan- or Lan+(w) /-, or Lan+(w) phenotypes have been described. PMID: 23763549
- p.Arg192Trp is the first ABCB6 missense mutation causing the Lan- blood type and appears to be a relatively frequent cause of this rare blood type. PMID: 22958180
- Aberrant mRNA and DNA methylation levels of ABCB6 may serve as useful predictive biomarkers for early intrahepatic recurrence of HCV-related hepatocellular carcinoma PMID: 23483087
- These findings suggest that ABCB6 may be a physiological factor for skin pigmentation. PMID: 23519333
- results suggest a direct interaction between mitochondrial ABCB6 and its transport substrates that is critical for the activity of the transporter PMID: 23792964
- the two missense mutations in residue 375 of the ABCB6 polypeptide found in affected individuals of families with chromosome 2-linked FP could contribute to the red cell K(+) leak characteristic of this condition. PMID: 23180570
- Polycyclic aromatic hydrocarbons (PAHs) mediate transcriptional activation of the ATP binding cassette transporter ABCB6 gene via the aryl hydrocarbon receptor (AhR) PMID: 22761424
- Knock-down studies demonstrate that ABCB6 function is not required for de novo heme biosynthesis in differentiating K562 cells, excluding this ABC transporter as a key regulator of porphyrin synthesis. PMID: 22655043
- ABCB6 plays a role in cell growth and proliferation by targeting the cell cycle. PMID: 21849266
- It was established that ABCB6 encodes a new blood group system (Langereis, Lan). Targeted sequencing of ABCB6 in 12 unrelated individuals of the Lan(-) blood type identified 10 different ABCB6 null mutations. PMID: 22246506
- The results demonstrated that ABCB6 mutations cause ocular coloboma. PMID: 22226084
- Conserved intramolecular disulfide bond is critical to trafficking and fate of ATP-binding cassette (ABC) transporters ABCB6 and sulfonylurea receptor 1 (SUR1)/ABCC8. PMID: 21199866
- overall structure of ABCB6 is L-shaped and consists of two lobes, consistent with other reported nucleotide-binding domain structures PMID: 20823549
- study of C-terminal nucleotide-binding domain of ABCB6 in nucleotide-free & ADP-bound states by NMR & homology modelling; results revealed localised dynamic cooperativity, which was proposed for a prokaryotic ABC MJ1267, also exists in a eukaryotic ABC PMID: 16791740
- ABCB6 is uniquely located in the outer mitochondrial membrane and is required for mitochondrial porphyrin uptake PMID: 17006453
- ABCB6 exists in two molecular weight forms, is localized to both the outer mitochondrial membrane and the plasma membrane, and plays a functional role in the plasma membrane. PMID: 17661442
- ather, it localized in the ER-derived and brefeldin A-sensitive perinuclear compartments, mainly in the Golgi apparatus. PMID: 18279659
顯示更多
收起更多
-
相關疾?。?/div>Microphthalmia, isolated, with coloboma, 7 (MCOPCB7); Dyschromatosis universalis hereditaria 3 (DUH3); Pseudohyperkalemia, familial, 2, due to red cell leak (PSHK2)亞細胞定位:Cell membrane; Multi-pass membrane protein. Mitochondrion outer membrane; Multi-pass membrane protein. Endoplasmic reticulum membrane; Multi-pass membrane protein. Golgi apparatus membrane; Multi-pass membrane protein. Endosome membrane; Multi-pass membrane protein. Lysosome membrane. Late endosome membrane. Early endosome membrane. Secreted, extracellular exosome. Mitochondrion. Endosome, multivesicular body membrane. Melanosome membrane.蛋白家族:ABC transporter superfamily, ABCB family, Heavy Metal importer (TC 3.A.1.210) subfamily組織特異性:Widely expressed. High expression is detected in the retinal epithelium. Expressed in mature erythrocytes.數據庫鏈接:
Most popular with customers
-
-
YWHAB Recombinant Monoclonal Antibody
Applications: ELISA, WB, IHC, IF, FC
Species Reactivity: Human, Mouse, Rat
-
-
-
-
-
-















