ABCB1 Antibody
-
中文名稱:ABCB1兔多克隆抗體
-
貨號:CSB-PA598314
-
規格:¥1100
-
圖片:
-
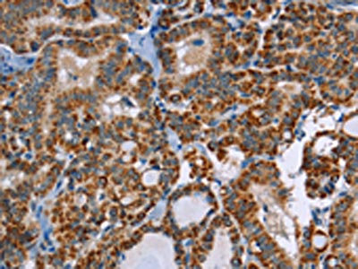
The image on the left is immunohistochemistry of paraffin-embedded Human thyroid cancer tissue using CSB-PA598314(ABCB1 Antibody) at dilution 1/30, on the right is treated with synthetic peptide. (Original magnification: ×200)
-
The image on the left is immunohistochemistry of paraffin-embedded Human brain tissue using CSB-PA598314(ABCB1 Antibody) at dilution 1/30, on the right is treated with synthetic peptide. (Original magnification: ×200)
-
-
其他:
產品詳情
-
Uniprot No.:
-
基因名:
-
別名:ABC20 antibody; ABCB1 antibody; ATP binding cassette, sub family B (MDR/TAP), member 1 antibody; ATP-binding cassette sub-family B member 1 antibody; CD243 antibody; CLCS antibody; Colchicin sensitivity antibody; Doxorubicin resistance antibody; GP170 antibody; MDR1 antibody; MDR1_HUMAN antibody; Multidrug resistance 1 antibody; Multidrug resistance protein 1 antibody; P glycoprotein 1 antibody; P gp antibody; P-glycoprotein 1 antibody; PGY1 antibody
-
宿主:Rabbit
-
反應種屬:Human
-
免疫原:Synthetic peptide of Human ABCB1
-
免疫原種屬:Homo sapiens (Human)
-
標記方式:Non-conjugated
-
抗體亞型:IgG
-
純化方式:Antigen affinity purification
-
濃度:It differs from different batches. Please contact us to confirm it.
-
保存緩沖液:-20°C, pH7.4 PBS, 0.05% NaN3, 40% Glycerol
-
產品提供形式:Liquid
-
應用范圍:ELISA,IHC
-
推薦稀釋比:
Application Recommended Dilution ELISA 1:2000-1:5000 IHC 1:50-1:200 -
Protocols:
-
儲存條件:Upon receipt, store at -20°C or -80°C. Avoid repeated freeze.
-
貨期:Basically, we can dispatch the products out in 1-3 working days after receiving your orders. Delivery time maybe differs from different purchasing way or location, please kindly consult your local distributors for specific delivery time.
-
用途:For Research Use Only. Not for use in diagnostic or therapeutic procedures.
相關產品
靶點詳情
-
功能:Translocates drugs and phospholipids across the membrane. Catalyzes the flop of phospholipids from the cytoplasmic to the exoplasmic leaflet of the apical membrane. Participates mainly to the flop of phosphatidylcholine, phosphatidylethanolamine, beta-D-glucosylceramides and sphingomyelins. Energy-dependent efflux pump responsible for decreased drug accumulation in multidrug-resistant cells.
-
基因功能參考文獻:
- Conformational dynamics of P-glycoprotein in lipid nanodiscs and detergent micelles reveal complex motions on a wide time scale. PMID: 29511086
- Study demonstrated that TWIST protein expression was elevated in liver cancer tissue specimens and was positively correlated with MDR1 expression. Knockdown of TWIST increased the sensitivity of RHepG2 cells to antineoplastic agents through a reduction in MDR1 expression and drug efflux ability. PMID: 30066890
- the over-expression of SLC7A11, or supplementation with sufficiently cystine, or treatment with N-acetylcysteine significantly decreased P-gp expression and activity. It was suggested that ROS and SLC7A11/cystine were the two relevant factors responsible for the expression and function of P-gp, and that SLC7A11 might be a potential target modulating ADR resistance. PMID: 28630426
- Data provide a mechanistic explanation for the differential effects of ABCB1 haplotypes on its promoter activity and underscore the importance of evaluating genetic variants in the context of haplotypes rather than individual SNPs when investigating their effects on gene/protein expression and disease risk. PMID: 30277801
- CYP3A5, ABCB1 and two POR genotypes were assessed by real-time PCR. PMID: 28094348
- ABCB1 C3435T polymorphism can affect the elimination of some antipsychotic/antidepressant drugs. PMID: 29723928
- High BCL11A and MDR1 expression was associated with a poor response to chemotherapy. PMID: 29469608
- The methylation/expression ratios of ABCB1 were unaffected by increasing BMI values. PMID: 27897267
- Neither the ABCB1 C3435T nor the SLCO1B1 T521C polymorphism affected edoxaban PK. PMID: 27897269
- Our results show that ABCB1 C3435T polymorphism may modulate serum THC levels in chronic heavy cannabis users. The exact mechanisms and roles that this may play in cannabis dependence genesis and evolution remain to be elucidated. These results should be controlled in a replication study using a larger population. PMID: 28917442
- MDR1 is not expressed on erythrocyte membrane. PMID: 29098941
- The genetic polymorphisms of the multi-drug resistance-1 (MDR-1) and human cytochrome P450 3A (CYP3A4 and CYP3A5) genes were analyzed and compared between steroid sensitive, steroid resistant and control groups. PMID: 30143489
- This meta-analysis suggests that the MDR1 C > T polymorphism was not associated with the risk of MM. To confirm these findings, further comprehensive and well-designed studies are needed. PMID: 29495954
- High MDR1 expression is associated with chemoresistance in ovarian cancer. PMID: 29956807
- 13-cis-retinoic acid, retinol and retinyl-acetate inhibited the Pgp and ABCG2 mediated substrate transport as well as the substrate stimulated ATPase activity of these transporters. PMID: 28145501
- Haplotype analysis of ABCB1 conducted in patients with bullous pemphigoid demonstrated that the 1236T-2677G-3435T haplotype may protect against development of disease. PMID: 29948283
- High ABCB1 expression is associated with Bendamustine-resistance in Mantle Cell Lymphoma. PMID: 29695404
- Data show that multidrug resistance gene 1 (MDR1) expression was associated with worsen survival of esophageal squamous cell carcinoma (ESCC) patients with cisplatin-based chemotherapy. PMID: 29107111
- ABCB1 variation affected myelosuppression, progression-free survival and overall survival in ovarian cancer patients who were treated with paclitaxel and carboplatin PMID: 29504705
- Our data showed that the expression of the MDR1 gene was significantly higher in malignant tissue than in the normal tissues of patients with STS. In addition, high MDR1 expression was significantly associated with local advances, as well as poor response to treatment. PMID: 29689707
- These results indicated that MG132 reversed the MDR of hypopharyngeal carcinoma by downregulating Pgp/Pgp, and the underlying mechanism may be associated with the activation the of the JNK signaling pathway PMID: 29901180
- P-glycoprotein on peripheral blood leukocytes of systemic lupus erythematosus (SLE) patients with lupus arthritis may have a role in clinical response to methotrexate PMID: 28616661
- This study elaborated a novel UCA1/miR-129/ABCB1 regulatory axis underlying paclitaxel resistance of ovarian cancer cells. PMID: 29777711
- ABCB1 3435C>T and ATIC 347C>G SNPs were associated with abnormal hepatic enzyme elevation by methotrexate treatment in patients with rheumatoid arthritis. PMID: 29252093
- The role of multidrug resistance 1 gene (MDR1 or ABCB1) polymorphism G2677T was studied in relation to paroxetine therapeutic efficacy and its side effects, as well as its association with selected demographic and clinical characteristics of patients with depressive disorder. PMID: 29754150
- alterations in latrophilin expression occur in AML cells expressing P-gp PMID: 29938681
- This study demonstrated that the The G2677T T and C3435T T alleles as well as the TT, CTT and TTT haplotypes seemed to be significantly associated with drug-resistance epilepsy in Tunisian epileptic population. PMID: 29198163
- Pharmacokinetics of aripiprazole is affected by sex and ABCB1 gene phenotype PMID: 29325225
- There were no significant differences in the bosutinib C0 between genotypes for ABCB1, ABCG2, and CYP3A4 polymorphisms. PMID: 29736778
- Studies show a connection between UDP-glucose ceramide glucosyltransferase (UGCG) and multidrug resistance protein 1 (MDR1) overexpression and multidrug resistance development [Review]. PMID: 29409484
- Due to the downregulation of MDR1 and MRP1, the intracellular accumulation of ADM was increased in the transfected cells compared with that in the parental K562/ADM cells..Our research revealed that protein expression of the ERK signaling pathway was inhibited by downregulating TRIB2, indicating that the ERK pathway was involved in cell drug resistance and proliferation. PMID: 29436678
- Asiatic Acid strongly inhibited P-GP expression by blocking MDR1 gene transcription and increased the intracellular accumulation of the P-GP substrate Rhodamine 123 in MDR1-overexpressing cisplatin (DDP)-resistant lung cancer cells, A549/DDP. PMID: 29768255
- Ceritinib enhanced the efficacy of substrate chemotherapeutic agent in ABCB1-overexpressing K562/adr leukemia cells both in vitro and in vivo models, but neither in sensitive parental K562 leukemia cells nor in ABCC1-overexpressing HL-60/adr leukemia cells. PMID: 29742496
- Polymorphism of ABCB1 rs1045642-T variant allele is associated with colorectal cancer. PMID: 29282011
- There is a certain correlation between the APC gene and ovarian tumors, and the APC gene mediates the apoptosis of tumor cells through the MDR-1/CLCX-1 signaling pathway. PMID: 29921377
- ABCB1/Pgp expression, activity, and single nucleotide polymorphisms (SNPs) in chronic myeloid leukemia. [review] PMID: 29316665
- High MDR1 expression is associated with primary myelodysplastic syndrome. PMID: 27605311
- analysis of the structure of zosuquidar and UIC2-bound human-mouse chimeric ABCB1 PMID: 29440498
- ABCB1 gene polymorphisms are not associated with response to chemotherapy in breast cancer. PMID: 29113667
- Patients prescribed with short-term low-dose atorvastatin and carrying ABCB1 (rs1128503) or ABCG2 (rs2231142) SNPs did not show differences in LDL-C response (P>.05). PMID: 28833323
- Genotypes of UGT1A and ABCB1 were significantly associated with changes in moxifloxacin pharmacokinetic parameters. PMID: 29210323
- G2677T/A polymorphism of MDR1 may play a significant role in the development of drug-resistant epilepsy in the Polish patients PMID: 28608314
- No association was found between the ABCB1 SNPs and Crohn's disease in the two populations PMID: 28759738
- icaritin (ICT) decreased the mRNA and protein levels of multidrug resistance protein 1 (MDR1) in MG-63 doxorubicin-resistant (MG-63/DOX) cells. PMID: 29425587
- We demonstrate for the first time that the effect of ABCB1 diplotype on tacrolimus disposition is dependent on both CYP3A5 and CYP3A4 genotype. PMID: 27378609
- these results address key concerns in the field, including that of cross-resistance between taxanes and highlighting a mechanism of cabazitaxel resistance involving ABCB1 PMID: 28698198
- CYP3A and ABCB1 SNPs were detected in 521 recipients. PMID: 28952408
- MDR-1 C3435T gene polymorphism was associated with right ventricular dysfunction in patients with chronic obstructive pulmonary disease. PMID: 29791609
- data suggested that hypomethylation agent decitabine restores drug sensitivity in the P-gp-induced MDR phenotype by depressing of P-gp activity as drug pump partly through MAPK signaling pathway. PMID: 28405849
- None of the genotypes in ABCB1 1236 C>T, 2677 G>T/A, 3435 C>T, and 4036 A>G correlated with plasma dolutegravir concentration..The speculated peak level of plasma dolutegravir concentration was significantly higher in ABCG2 genetic variant holders, probably, at least in part, because of low expression levels of efflux transporters in the intestines associated with these genetic variants. PMID: 28858994
顯示更多
收起更多
-
相關疾病:Inflammatory bowel disease 13 (IBD13)
-
亞細胞定位:Cell membrane; Multi-pass membrane protein. Apical cell membrane.
-
蛋白家族:ABC transporter superfamily, ABCB family, Multidrug resistance exporter (TC 3.A.1.201) subfamily
-
組織特異性:Expressed in liver, kidney, small intestine and brain.
-
數據庫鏈接:
Most popular with customers
-
-
YWHAB Recombinant Monoclonal Antibody
Applications: ELISA, WB, IHC, IF, FC
Species Reactivity: Human, Mouse, Rat
-
Phospho-YAP1 (S127) Recombinant Monoclonal Antibody
Applications: ELISA, WB, IHC
Species Reactivity: Human
-
-
-
-
-















