YWHAZ Monoclonal Antibody
-
中文名稱:YWHAZ鼠單克隆抗體
-
貨號:CSB-MA026293A0m
-
規格:¥1320
-
圖片:
-
Western Blot
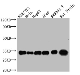
Positive WB detected in: NIH/3T3 whole cell lysate, Hela whole cell lysate, HepG2 whole cell lysate, A549 whole cell lysate, RAW264.7 whole cell lysate, Rat Brain tissue
All lanes YWHAZ antibody at 1:5000
Secondary
Goat polyclonal to mouse IgG at 1/50000 dilution
Predicted band size: 34 KDa
Observed band size: 34 KDa
Exposure time:1min -
Western Blot
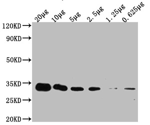
Positive WB detected in: Hela whole cell lysate at 20μg, 10μg, 5μg, 2.5μg, 1.25μg, 0.625μg
All lanes: YWHAZ antibody at 1:5000
Secondary
Goat polyclonal to mouse IgG at 1/50000 dilution
Predicted band size: 34 KDa
Observed band size: 34 KDa
Exposure time:5min -
Western Blot
Positive WB detected in: 20μg Hela whole cell lysate YWHAZ antibody at1:5000,1:10000,1:20000,1:40000,1:80000,1:160000
Secondary
Goat polyclonal to mouse IgG at 1/50000 dilution
Predicted band size: 34 KDa
Observed band size: 34 KDa
Exposure time:5min -
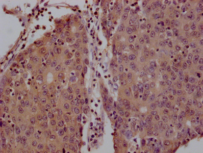
IHC image of CSB-MA026293A0m diluted at 1:200 and staining in paraffin-embedded human lung cancer tissue performed on a Leica BondTM system. After dewaxing and hydration, antigen retrieval was mediated by high pressure in a citrate buffer (pH 6.0). Section was blocked with 10% normal goat serum 30min at 37°C. Then primary antibody (1% BSA) was incubated at 4°C overnight. The primary is detected by a Goat anti-rabbit IgG labeled by HRP and visualized using 0.05% DAB.
-
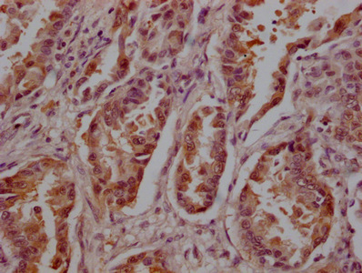
IHC image of CSB-MA026293A0m diluted at 1:200 and staining in paraffin-embedded human liver cancer tissue performed on a Leica BondTM system. After dewaxing and hydration, antigen retrieval was mediated by high pressure in a citrate buffer (pH 6.0). Section was blocked with 10% normal goat serum 30min at 37°C. Then primary antibody (1% BSA) was incubated at 4°C overnight. The primary is detected by a Goat anti-rabbit IgG labeled by HRP and visualized using 0.05% DAB.
-
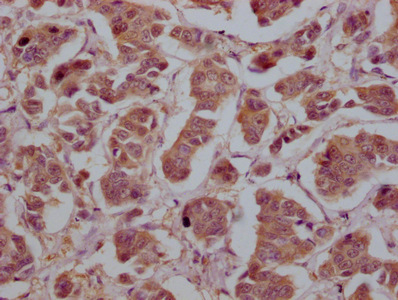
IHC image of CSB-MA026293A0m diluted at 1:200 and staining in paraffin-embedded human breast cancer tissue performed on a Leica BondTM system. After dewaxing and hydration, antigen retrieval was mediated by high pressure in a citrate buffer (pH 6.0). Section was blocked with 10% normal goat serum 30min at 37°C. Then primary antibody (1% BSA) was incubated at 4°C overnight. The primary is detected by a Goat anti-rabbit IgG labeled by HRP and visualized using 0.05% DAB.
-
Immunofluorescence staining of A549 cells with CSB-MA026293A0m at 1:50, counter-stained with DAPI. The cells were fixed in 4% formaldehyde and blocked in 10% normal Goat Serum. The cells were then incubated with the antibody overnight at 4°C. Nuclear DNA was labeled in blue with DAPI. The secondary antibody was FITC-conjugated AffiniPure Goat Anti-Mouse IgG (H+L).
-
Immunofluorescence staining of Hela cells with CSB-MA026293A0m at 1:50, counter-stained with DAPI. The cells were fixed in 4% formaldehyde and blocked in 10% normal Goat Serum. The cells were then incubated with the antibody overnight at 4°C. Nuclear DNA was labeled in blue with DAPI. The secondary antibody was FITC-conjugated AffiniPure Goat Anti-Mouse IgG (H+L).
-
Immunofluorescence staining of U251 cells with CSB-MA026293A0m at 1:50, counter-stained with DAPI. The cells were fixed in 4% formaldehyde and blocked in 10% normal Goat Serum. The cells were then incubated with the antibody overnight at 4°C. Nuclear DNA was labeled in blue with DAPI. The secondary antibody was FITC-conjugated AffiniPure Goat Anti-Mouse IgG (H+L).
-
Overlay histogram showing A549 cells stained with CSB-MA026293A0m (red line) at 1:100. The cells were fixed in 4% formaldehyde and permeated by 0.2% TritonX-100. Then 10% normal goat serum was Incubated to block non-specific protein-protein interactions followed by the antibody (1μg/1*106cells) for 1 h at 4°C. The secondary antibody used was FITC-conjugated Goat Anti-Mouse IgG(H+L) at 1/100 dilution for 30min at 4°C. Isotype control antibody (green line) was mouse IgG2b (1μg/1*106cells) used under the same conditions. Acquisition of >10,000 events was performed.
-
Overlay histogram showing Hela cells stained with CSB-MA026293A0m (red line) at 1:100. The cells were fixed in 4% formaldehyde and permeated by 0.2% TritonX-100. Then 10% normal goat serum was Incubated to block non-specific protein-protein interactions followed by the antibody (1μg/1*106cells) for 1 h at 4°C. The secondary antibody used was FITC-conjugated Goat Anti-Mouse IgG(H+L) at 1/100 dilution for 30min at 4°C. Isotype control antibody (green line) was mouse IgG2b (1μg/1*106cells) used under the same conditions. Acquisition of >10,000 events was performed.
-
Overlay histogram showing HepG2 cells stained with CSB-MA026293A0m (red line) at 1:100. The cells were fixed in 4% formaldehyde and permeated by 0.2% TritonX-100. Then 10% normal goat serum was Incubated to block non-specific protein-protein interactions followed by the antibody (1μg/1*106cells) for 1 h at 4°C. The secondary antibody used was FITC-conjugated Goat Anti-Mouse IgG(H+L) at 1/100 dilution for 30min at 4°C. Isotype control antibody (green line) was mouse IgG2b (1μg/1*106cells) used under the same conditions. Acquisition of >10,000 events was performed.
-
Immunoprecipitating YWHAZ in A549 whole cell lysate
Lane 1: Mouse control IgG2b instead of CSB-MA026293A0m in A549 whole cell lysate.
Lane 2: CSB-MA026293A0m (1μg) + A549 whole cell lysate (500μg)
Lane 3: A549 whole cell lysate (20μg)
For western blotting, the blot was detected with CSB-MA026293A0m at 1:2000, and a HRP-conjugated Protein G antibody was used as the secondary antibody at 1:50000 -
Immunoprecipitating YWHAZ in HepG2 whole cell lysate
Lane 1: Mouse control IgG2b instead of CSB-MA026293A0m in HepG2 whole cell lysate.
Lane 2: CSB-MA026293A0m (1μg) + HepG2 whole cell lysate (500μg)
Lane 3: HepG2 whole cell lysate (20μg)
For western blotting, the blot was detected with CSB-MA026293A0m at 1:2000, and a HRP-conjugated Protein G antibody was used as the secondary antibody at 1:50000
-
-
其他:
產品詳情
-
產品描述:CUSABIO貨號:CSB-MA026293A0m YWHAZ單克隆抗體是針對14-3-3ζ/YWHAZ蛋白研發的高特異性科研試劑,該蛋白作為14-3-3蛋白家族重要成員,通過結合磷酸化靶標參與細胞周期調控、凋亡抑制及致癌信號傳導,在腫瘤發生、神經退行性疾病等病理過程中發揮關鍵作用。本產品經嚴格驗證適用于人源、小鼠及大鼠樣本的多元化檢測場景,包括Western blot蛋白質印跡分析、免疫組織化學(IHC)組織定位、免疫熒光(IF)細胞成像以及流式細胞術(FC)表面標記檢測,同時兼容酶聯免疫吸附試驗(ELISA)平臺。其高親和力特性可精準識別內源性YWHAZ蛋白,為探索癌癥耐藥機制、神經元存活調控、PI3K/AKT/mTOR信號通路互作研究提供可靠工具,適用于蛋白質相互作用驗證、疾病生物標志物篩選等基礎研究。該單克隆抗體采用國際標準化的生產質控體系,批次穩定性優異,滿足各類實驗設計的重復性需求,是細胞生物學與分子病理學研究的優選試劑。
-
產品名稱:Mouse anti-Homo sapiens (Human) YWHAZ Monoclonal Antibody antibody
-
Uniprot No.:
-
基因名:
-
別名:14 3 3 delta antibody; 14 3 3 protein zeta/delta antibody; 14 3 3 protein/cytosolic phospholipase A2 antibody; 14 3 3 zeta antibody; 14-3-3 protein zeta/delta antibody; 1433Z_HUMAN antibody; Epididymis luminal protein 4 antibody; Epididymis secretory protein Li 3 antibody; HEL S 3 antibody; HEL4 antibody; KCIP-1 antibody; KCIP1 antibody; MGC111427 antibody; MGC126532 antibody; MGC138156 antibody; Phospholipase A2 antibody; Protein kinase C inhibitor protein 1 antibody; Tyrosine 3 monooxygenase/tryptophan 5 monooxygenase activation protein; delta polypeptide antibody; Tyrosine 3 monooxygenase/tryptophan 5 monooxygenase activation protein; zeta antibody; Tyrosine 3 monooxygenase/tryptophan 5 monooxygenase activation protein; zeta polypeptide antibody; Tyrosine 3/tryptophan 5 monooxygenase activation protein; zeta polypeptide antibody; YWHAD antibody; YWHAZ antibody
-
宿主:Mouse
-
反應種屬:Human, Mouse, Rat
-
免疫原:Recombinant Human 14-3-3 protein zeta/delta protein (133-212AA)
-
免疫原種屬:Homo sapiens (Human)
-
標記方式:Non-conjugated
-
克隆類型:Monoclonal Antibody
-
抗體亞型:IgG2b
-
純化方式:>95%, Protein A purified
-
克隆號:19G7E9
-
濃度:It differs from different batches. Please contact us to confirm it.
-
保存緩沖液:Preservative: 0.03% Proclin 300
Constituents: 50% Glycerol, 0.01M PBS, PH 7.4 -
產品提供形式:Liquid
-
應用范圍:ELISA, WB, IHC, IF, FC
-
推薦稀釋比:
Application Recommended Dilution WB WB:1:5000-160000 IHC 1:50-1:200 IF 1:50-1:200 FC 1:50-1:200 IP 1μl-4μl -
Protocols:
-
儲存條件:Upon receipt, store at -20°C or -80°C. Avoid repeated freeze.
-
貨期:Basically, we can dispatch the products out in 1-3 working days after receiving your orders. Delivery time maybe differs from different purchasing way or location, please kindly consult your local distributors for specific delivery time.
-
用途:For Research Use Only. Not for use in diagnostic or therapeutic procedures.
相關產品
靶點詳情
-
功能:Adapter protein implicated in the regulation of a large spectrum of both general and specialized signaling pathways. Binds to a large number of partners, usually by recognition of a phosphoserine or phosphothreonine motif. Binding generally results in the modulation of the activity of the binding partner. Induces ARHGEF7 activity on RAC1 as well as lamellipodia and membrane ruffle formation. In neurons, regulates spine maturation through the modulation of ARHGEF7 activity.
-
基因功能參考文獻:
- Amount of 14-3-3 proteins is decreased in pineal gland, blood platelets and ileum of patients with ASD. PMID: 28522826
- These results imply that disorder in the N-terminal helices of 14-3-3 zeta is a consequence of the dimer-monomer dynamics and may play a role in conferring chaperone function to 14-3-3 zeta protein. PMID: 29109150
- Knockdown of YWHAZ inhibited cell cycle progression, migration, and the expression of stem cell markers and tumorigenicity was suppressed in tumor-bearing BALB/c nude mice. The expression of YWHAZ was directly down-regulated by miR-30e in resistant ovarian cancer cells. PMID: 30134224
- our data suggest miR-204 and 14-3-3zeta as potential therapeutic targets in osteosarcoma PMID: 29441884
- evidence is lacking to conclude that 14-3-3zeta is a useful marker of tamoxifen resistance. PMID: 28643021
- TRIM21 positively regulated osteosarcoma cell proliferation. Overexpression of TRIM21 enhanced osteosarcoma cell tolerance toward various stresses. YWHAZ protein was identified as a novel interacting partner of TRIM21 and its expression levels were negatively regulated by TRIM21. PMID: 29673441
- several disordered regions of PI4KB become protected from proteolytical degradation upon 14-3-3 binding. PMID: 28864297
- Ectopic expression of miR-451 could inhibit the cell migration and invasion, promoted apoptosis, induced cell-cycle arrest Furthermore, tyrosine3-monooxygenase/tryptophan5-monooxygenase activation protein zeta (YWHAZ) was identified as a direct target of miR-451 PMID: 28981108
- Serum autoantibodies to YWHAZ are produced at substantially greater levels in gastric cancer patients as compared to controls. PMID: 28944820
- Dimerization of 14-3-3 zeta (14-3-3zeta) dimer was disrupted by a double mutant (L12E, M78K). PMID: 29203375
- Results identified YWHAZ as the direct target of miR-613 in hepatocellular carcinoma (HCC). Its overexpression reverses the tumor suppressing role of miR-613 in HCC cells. PMID: 29551505
- 14-3-3zetaoverexpression might be a potential prognostic biomarker for ovarian cancer. PMID: 29214776
- In AML patients, low level of miR-451 is negatively correlated with high levels of c-Myc and YWHAZ, while c-Myc level is positively related to YWHAZ expression. These results suggested that c-Myc dash, verticalmiR-451 dash, verticalYWHAZ/AKT cascade might play a crucial role during leukemogenesis, and reintroduction of miR-451 could be as a potential strategy for AML therapy. PMID: 27764807
- miR-22 exhibits tumor-suppressive effects in hepatocellular carcinoma cells by regulating YWHAZ/AKT/FOXO3a signaling. PMID: 27811373
- our data demonstrate that overexpression of 14-3-3zeta in early stage pre-cancerous breast epithelial cells may trigger an elevated glycolysis and transcriptionally up-regulating LDHA, thereby contributes to human breast cancer initiation. PMID: 27150057
- 14-3-3zeta can bind to the FOXO3a transcription factor to promote the export of the complex to the cytoplasm, leading to enhanced proliferation and migration of tongue cancer cells. PMID: 27080223
- Structure of the complex of phosphorylated liver kinase B1 and 14-3-3zeta has been reported. PMID: 28368277
- These results suggest that the hypoxia/14-3-3zeta/HIF-1alpha pathway plays an important role in portal vein tumor thrombus formation and hepatocellular carcinoma metastasis PMID: 26910835
- 14-3-3zeta recruited YAP and p-LATS to form a complex under high cells density status and 14-3-3zeta other than YAP or phospho-LATS was the key regulatory molecule of this complex. PMID: 27334574
- This study shows that human procaspase-2 interaction with 14-3-3 zeta is governed by phosphorylation at both S139 and S164. PMID: 28943433
- The results highlight a new role of TSC2 in protecting glioblastoma against photodynamic therapy-induced cell death, and TSC2 and YWHAZ as new RIP3 partners. PMID: 27984090
- These results suggest that 14-3-3-zeta is involved in the TLR3-TICAM-1 pathway in promoting multimerization of TICAM-1 for the formation of a TICAM-1 signalosome. PMID: 27058640
- The data indicate that microtubule-bound tau is resistant to 14-3-3zeta-induced tau aggregation and suggest that tau phosphorylation promotes tau aggregation in the brain by detaching tau from microtubules and thus making it accessible to 14-3-3zeta. PMID: 27548710
- Structural interface between LRRK2 and 14-3-3 delta protein has been presented. PMID: 28202711
- 14-3-3zeta-mediated invasion of cancer cells was found to upregulate Snail through the activation of atypical protein kinase C (aPKC). PMID: 27554601
- results have identified a novel mechanism by which 14-3-3sigma maintains the epithelial phenotype by inhibiting Epithelial to Mesenchymal Transition and suggest that this property of 14-3-3sigma might contribute to its function as a tumor suppressor gene. PMID: 27261462
- 14-3-3zeta regulates HIF-1alpha production in hepatocellular carcinoma cells by directly binding to HIF-1alpha and via PI3K/Akt/NF-small ka, CyrillicB signal transduction pathway. PMID: 26884855
- Results indicate that HuR induces 14-3-3zeta translation via interaction with its 3' UTR and that 14-3-3zeta is necessary for stimulation of intestinal epithelial cell migration after wounding. PMID: 27401462
- this study suggests that the down-regulation of 14-3-3 zeta leads to the inhibition of TGFb1- induced contraction by decreasing the expression of total RhoA in TM cells. PMID: 26906158
- loss of expression or even the down-regulation of c-abl, but not WYHAZ, is a fundamental event that leads to genesis and progression of tumors PMID: 26429164
- This study provides the molecular basis for C-Raf C-terminal-derived phosphopeptide interaction with 14-3-3zeta protein and gives structural insights responsible for phosphorylation-mediated protein binding. PMID: 26295714
- 14-3-3z may play an important role in signaling pathway in breast cancer. Also, a high 14-3-3z expression could positively regulate growth factor receptors and protein kinase pathways PMID: 25861752
- Studies show that 14-3-3zeta is overexpressed in oral squamous cell carcinoma and provide evidence that may regulate tumor inflammation and immune response through Stat3 signaling. PMID: 25556369
- Activation of PCTAIRE-1 is mediated through interaction with the phosphorylated form of cyclin Y in complex with 14-3-3. PMID: 26205494
- C-terminal domain of Pdc interacts with the outside surface of the 14-3-3 dimer. PMID: 25971962
- Our findings indicate that YWHAZ could serve as a promising prognostic biomarker in localized PCa to predict poor prognosis PMID: 25156059
- studyconfirmed the interaction of Ser9-phosphorylated GSK3beta with 14-3-3zeta; Ser9-phosphorylation of GSK3beta promoted by 14-3-3zeta is critical for the activation of NF-kappaB pathway PMID: 25138042
- A detailed analysis of the interaction between singly or doubly phosphorylated human tyrosine hydroxylase isoform 1(1-50) peptides and 14-3-3zeta PMID: 25418103
- BIS targeting induces cellular senescence through the regulation of 14-3-3 zeta/STAT3/SKP2/p27 in glioblastoma cells. PMID: 25412315
- Aberrant upregulation of 14-3-3sigma and EZH2 expression serves as an inferior prognostic biomarker for hepatocellular carcinoma. PMID: 25226601
- The 14-3-3zeta-driven contextual changes of Smad partners from p53 to Gli2 may serve as biomarkers and therapeutic targets of TGF-b-mediated cancer progression. PMID: 25670079
- Among the genes found disrupted in this study, there is evidence suggesting that YWHAZ and also the X-linked DRP2 may be considered as novel autism candidate genes. PMID: 23999528
- Data found that the interaction between 14-3-3 zeta and Atg9A is mediated by phosphorylation at Ser761. PMID: 25266655
- miR-375-mediated regulation of 14-3-3zeta contributes to decrease telomerase activity by altering nuclear translocation of TERT. PMID: 24708873
- 14-3-3zeta regulates nuclear trafficking of PP1alpha in mammalian cells PMID: 24956593
- By preventing the inactivation of cofilin, metabolic stress-induced degradation of 14-3-3zeta promotes the conversion of blood monocytes into a hypermigratory, proatherogenic phenotype. PMID: 24812321
- Compared to HL-60 cells, multidrug-resistant HL-60/VCR cells had increased 14-3-3zeta mRNA and protein expression.Silencing of 14-3-3zeta increased the sensitivity of both sensitive and resistant HL-60 cells to TPT-induced apoptosis. PMID: 24603438
- 14-3-3zeta causes synaptic loss by destabilizing microtubules, leading to proteosomal degradation of synaptophysin in the neurons of patients suffering from Alzheimer's disease. PMID: 24367683
- Data suggest that the combined expression of 14-3-3zeta and Hsp27 may be a biomarker for predicting survival in patients with NSCLC, and this combination may have potential as a therapeutic target for NSCLC. PMID: 24804299
- Somatic copy number alterations by whole-exome sequencing implicates YWHAZ and PTK2 in castration-resistant prostate cancer. PMID: 24114522
顯示更多
收起更多
-
亞細胞定位:Cytoplasm. Melanosome. Note=Located to stage I to stage IV melanosomes.
-
蛋白家族:14-3-3 family
-
數據庫鏈接:
Most popular with customers
-
-
YWHAB Recombinant Monoclonal Antibody
Applications: ELISA, WB, IHC, IF, FC
Species Reactivity: Human, Mouse, Rat
-
Phospho-YAP1 (S127) Recombinant Monoclonal Antibody
Applications: ELISA, WB, IHC
Species Reactivity: Human
-
-
-
-
-















