TIMP1 Monoclonal Antibody
-
中文名稱:TIMP1鼠單克隆抗體
-
貨號:CSB-MA0235601A0m
-
規格:¥1320
-
圖片:
-
All lanes:Mouse anti-Human Timp1 monoclonal antibody at 1μg/ml
Lane 1: HepG-2 cell lysate
Predicted band size : 23 kDa
Observed band size : 23 kDa
Additional bands at:50KD -
All lanes: Mouse anti-Human Timp1 monoclonal antibody at 1μg/ml
Lane 1: TIMP1 transfected pichia Yeast cell lysate
Predicted band size : 23 kDa
Observed band size:23 kDa -
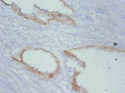
Immunohistochemistry of paraffin-embedded human prostate cancer using CSB-MA0235601A0m at dilution of 1:100
-
-
其他:
產品詳情
-
產品描述:CUSABIO貨號:CSB-MA0235601A0m TIMP1單克隆抗體是專為科研實驗設計的優質試劑,靶向組織金屬蛋白酶抑制劑1(TIMP1),該蛋白通過調控基質金屬蛋白酶活性參與細胞外基質穩態,在腫瘤微環境調控、組織修復及纖維化疾病發展中具有重要研究價值。本產品經嚴格驗證適用于ELISA、Western Blot及免疫組化(IHC)三大實驗平臺,可精準識別人類及小鼠來源的TIMP1蛋白,為跨物種比較研究提供可靠工具。其高特異性結合能力確保在復雜樣本中有效檢測目標蛋白表達水平,適用于癌癥轉移機制探索、纖維化疾病模型構建及細胞外基質相關信號通路研究。該抗體采用穩定工藝生產,批間一致性良好,滿足長期實驗的數據可比性需求,特別適合用于組織切片分析、蛋白質印跡定量及體外培養細胞的功能研究。科研人員可依托該產品深入探究TIMP1在腫瘤侵襲、肝肺纖維化及炎癥反應中的分子機制,為相關疾病的基礎研究提供關鍵實驗支持。
-
產品名稱:mouse anti-Homo sapiens (Human) TIMP1 monoclonal antibody
-
Uniprot No.:
-
基因名:
-
別名:Clgi antibody; Collagenase inhibitor antibody; Collagenase inhibitor; Human antibody; EPA antibody; EPO antibody; Erythroid Potentiating Activity antibody; Erythroid-potentiating activity antibody; Fibroblast collagenase inhibitor antibody; FLJ90373 antibody; HCI antibody; Human Collagenase Inhibitor antibody; Metalloproteinase inhibitor 1 antibody; Metalloproteinase inhibitor 1 precursor antibody; OTTHUMP00000023214 antibody; TIMP 1 antibody; TIMP antibody; TIMP metallopeptidase inhibitor 1 antibody; TIMP-1 antibody; Timp1 antibody; TIMP1 protein antibody; TIMP1_HUMAN antibody; Tissue Inhibitor of Metalloproteinase 1 antibody; Tissue inhibitor of metalloproteinases 1 antibody; Tissue inhibitor of metalloproteinases antibody; Ttissue inhibitor of metalloproteinase 1 erythroid potentiating activity collagenase inhibitor antibody
-
宿主:mouse
-
反應種屬:Human,Mouse
-
免疫原:Human Timp 1
-
免疫原種屬:Homo sapiens (Human)
-
標記方式:Non-conjugated
-
克隆類型:monoclonal
-
抗體亞型:IgG2a
-
純化方式:>95%, Protein G purified
-
克隆號:8B4E9
-
濃度:It differs from different batches. Please contact us to confirm it.
-
保存緩沖液:Preservative: 0.03% Proclin 300
Constituents: 50% Glycerol, 0.01M PBS, PH 7.4 -
產品提供形式:liquid
-
應用范圍:ELISA,WB,IHC
-
推薦稀釋比:
Application Recommended Dilution WB 1:500-1:5000 IHC 1:50-1:500 -
Protocols:
-
儲存條件:Upon receipt, store at -20°C or -80°C. Avoid repeated freeze.
-
貨期:Basically, we can dispatch the products out in 1-3 working days after receiving your orders. Delivery time maybe differs from different purchasing way or location, please kindly consult your local distributors for specific delivery time.
-
用途:For Research Use Only. Not for use in diagnostic or therapeutic procedures.
相關產品
靶點詳情
-
功能:Metalloproteinase inhibitor that functions by forming one to one complexes with target metalloproteinases, such as collagenases, and irreversibly inactivates them by binding to their catalytic zinc cofactor. Acts on MMP1, MMP2, MMP3, MMP7, MMP8, MMP9, MMP10, MMP11, MMP12, MMP13 and MMP16. Does not act on MMP14. Also functions as a growth factor that regulates cell differentiation, migration and cell death and activates cellular signaling cascades via CD63 and ITGB1. Plays a role in integrin signaling. Mediates erythropoiesis in vitro; but, unlike IL3, it is species-specific, stimulating the growth and differentiation of only human and murine erythroid progenitors.
-
基因功能參考文獻:
- significantly increased in the serum of type 2 diabetes mellitus patients with diabetic retinopathy PMID: 29752166
- Study evaluated for the first time the plasma levels and the diagnostic usefulness of VEGF, MMP-9, and TIMP-1 in cervical cancer (CC), not only independently but especially in combination with established cervical tumor markers. All tested parameters showed statistical significance when compared their concentrations in patients with CC to healthy women. PMID: 30037277
- In monocytes, incubation with psoriasis' sera increased the production of MMP-9 and TIMP-1 in comparison with both baseline and monocytes incubated with non-psoriatic sera PMID: 29979898
- no difference in the expression of MMP-7 and TIMP-1 in the endometrium in relation to hormone levels and menstrual cycle phases were observed PMID: 30187906
- Increased matrix metalloproteinase-9/tissue inhibitor of metalloproteinase-1 ratio in smokers with airway hyperresponsiveness is associated with accelerated lung function decline. PMID: 29692608
- MMP-9 and TIMP-1 levels are correlated with age, pathological grade, tumor size and lymph node metastasis of breast cancer patients. PMID: 30010105
- IL-33 can regulate deposition of ECM and promote the process of pulmonary fibrosis by inducing the imbalance between MMP-9 and TIMP-1. PMID: 29417309
- Study found that TIMP-1 accelerates cell proliferation through YAP/TAZ activation in cancer. PMID: 28925394
- that TLR2 is involved in IL29-stimulated TIMP1 expression in Raw264.7 cells and primary macrophages. PMID: 29658577
- Results found that CK18, MMP-9, and TIMP1 averages of those with positive clinical lymph nodes and those in clinical stage 3 were higher than the averages of those with negative clinical lymph nodes and those in clinical stage 2. PMID: 29651326
- High serum tissue inhibitor of metalloproteinase-1 level is associated with gastric cancer. PMID: 30192205
- Gal-3 gene and protein expression levels were also significantly higher in lung tissue from an allergic asthma murine model using TIMP-1 knockout. PMID: 28992358
- In dilation cardiomyopathy, expression of MMP-2, MMP-9, and TIMP-1 and their ratios in autopsy material and in cultures was elevated by 1.5-9 times. PMID: 29504111
- High Co-expression of TIMP-1 and CD63 is associated with glioblastoma. PMID: 29523123
- plasma levels of TIMP-1 are associated with pancreatic lesion-induced cachexia in patients without jaundice. PMID: 29394913
- the expressions of TIMP1 can predict prognosis in astrocytic tumors PMID: 27258564
- It is well established by now that progression of melanoma depends on ECM remodeling, TIMPs family being one of the most important regulators of this process. PMID: 29250646
- Authors observed a significant increase in the immunoexpression of collagen I and III in patients with DCM and a significant reduction in the immunoexpression of MMP-1 compared with the control group. Also, the collagen I and TIMP-1 expression indicated a positive linear correlation and respectively a negative linear relationship with collagen III and MMP-1. PMID: 29250654
- Low TIMP1 expression is associated with cervical cancer. PMID: 30052166
- In III-rd trimester of pregnancy parameters of Timp-1 and Survivin - anti-apoptotic substances concentration were similar in maternal and cord blood in both artery and vein. We found no increased activity of selected antiapoptotic factors. PMID: 28509321
- Reduced expression of types I and III collagen and TIMP-1 as well as the increased expression of MMP-1 and MMP-8 in the anterior vaginal wall tissues play important roles in the onset of pelvic organ prolapse. PMID: 29263043
- no significant difference was detected in the expression level of individual MMP9 and TIMP1 genes in SCZ patients versus healthy controls either in total numbers of subject or in sex based subgroups PMID: 28578515
- Significant differences in gene expression profiles were observed between patients with post-kidney transplant bladder tumors and those with conventional bladder tumors. TIMP-l expression was significantly higher in first group than in the second. PMID: 29038419
- the key role of TIMP-1 for the anti-angiogenic properties of stimulated MSC secretome already observed in mouse is confirmed in human. PMID: 28739509
- corticosteroid-resistant patients have higher basal MMP-9 levels and produce more MMP-9 levels in response to IL-1beta. PMID: 28696822
- Increased expression of TIMP1 (for both mRNA and protein) associated with poor ulcer healing in Diabetic Foot Ulcers with infection. PMID: 28682675
- female patients exhibited lower methylation levels of MMP-9 but higher methylation levels of TIMP-1 compared with male patients, and the methylation levels of TIMP-1 gradually decreased with age. PMID: 29298087
- miR-516a-5p may regulate MTHFR, MMP-2, and TIMP-1 expressions in vascular smooth muscle cells, possibly promoting the disruption of homocysteine metabolism and proteolytic degradation of elastin for abdominal aortic aneurysm formation. PMID: 28288890
- C-type natriuretic peptide (CNP)administration significantly decreased the secretion and expression of MMP-2 and MMP-9 in the cultured mesangial cells ; (2) the secretion and expression of TIMP-1 progressively elevated after treatment with CNP for 24 and 48 h, whereas declined at later time point; (3) CNP expression was negatively correlated with MMP-2 and MMP-9 expression. PMID: 28554303
- TIMP-1 modulates leukemic blasts survival, migration and function via CD63/PI3K/Akt/p21 signaling. As a "bad actor" in a "bad soil", TIMP-1 is a potential novel therapeutic target in leukemic bone marrow microenvironment. PMID: 27903985
- CD82 is a component of the promiscuous TIMP-1 interacting protein complex on cell surface of human pancreatic adenocarcinoma cells. CD82 directly binds to TIMP-1 N-terminal region through its large extracellular loop and co-localizes with TIMP-1. PMID: 28030805
- these results show here that EGFR signaling induces TIMP-1 expression in colorectal cancer cells, and that TIMP-1 promotes a more aggressive behavior, specifically in KRAS mutated cells PMID: 27509063
- Our results provided evidence that polymorphisms in TIMP1, DLX1 and DLX2 genes may be associated with DF phenotypes. PMID: 28131910
- The plasma levels of interleukin (IL)-1beta, tumor necrosis factor (TNF)-alpha, tissue inhibitor of metalloproteinases (TIMP)-1 are increased in myelofibrosis (MF) patients. PMID: 27304059
- The present study suggests that scoring of TIMP-1 immunoreactivity is a better choice than measuring of TIMP-1 plasma levels. PMID: 27619981
- Results show that TIMP1 expression is significantly upregulated in human colon cancer. Its suppression decreases proliferation, and metastasis but increases apoptosis by inducing TIMP1 specific regulated FAK-PI3K/AKT and MAPK pathway. These results suggest that TIMP1 may play an important role in promoting tumorigenesis and metastasis of human colon cancer. PMID: 27644693
- Tissue inhibitor of matrix metalloproteinases 1 (TIMP1) inhibition resensitized tumors to gemcitabine and radiotherapy. PMID: 28765154
- Suggest that IL-6 could promote the invasiveness of breast cancer cells by inducing secretion of TIMP-1 and -2, causing a disturbance in TIMP/MMP balance. PMID: 28375112
- This study indicates that in our population, the COL4A3 rs55703767 polymorphism decreased the risk of KC. However, the TIMP-1 rs6609533 polymorphism was associated with an increased risk of KC. PMID: 28197741
- Low MMP-8/TIMP-1 reflects left ventricle impairment in takotsubo cardiomyopathy and high TIMP-1 may help to differentiate it from acute coronary syndrome PMID: 28278213
- Data show that the mean values for TIMP1, TIMP2 and MMP2 were lower in survivors, MMP9 was higher in survivors. PMID: 28192449
- We conclude that in the resected esophageal cancer an increased mRNA expression of MMP-7, MMP-10 and TIMP-1 correlated with clinicopathologic features. We suggest that these genes may play a role during progression of the diseaseMMP-10, MMP-7, TIMP-1, TIMP-2 were overexpressed in 73%, 85%, 55% and 42% of esophageal cancer samples, respectively. PMID: 28510611
- plasma concentrations of MMP-7, MMP-8, -9 and TIMP-1 within 96 h from the onset of acute pancreatitis symptoms are elevated in acute pancreatitis patients compared with healthy controls PMID: 27561093
- TIMMP1 expression is a major factor in myocardial fibrosis. PMID: 27113051
- High TIMP1 expression is associated with hepatic fibrosis. PMID: 28098912
- TIMP-1 was highly expressed in TNBC patients and was associated with a poor prognosis. PMID: 27130446
- Results suggest a crucial role of MMP9 at the early stage of carcinogenesis in the large intestine. The increase in MMP9 and TIMP1 mRNA concentration and the decrease in MMP28 in the large intestinal tissue may be a confirmation of cancer. PMID: 28293015
- Expression of TIMP1 is increased in chronic pancreatitis, pancreatic intra-epithelial neoplasia, and pancreatic ductal adenocarcinoma tissues from patients. TIMP1 signaling via CD63 leads to activation of hepatic stellate cells, which create an environment in the liver that increases its susceptibility to pancreatic tumor cells. PMID: 27506299
- Our study provides information on the dynamic changes of MMP-9-TIMP-1 system and S100B in the perioperative period. Preoperative reduction of TIMP-1 might be predictive for shunt requirement but future studies are required for verification. PMID: 27121520
- Serum TIMP1 did not differ significantly between normal weight, overweight, and obese participants. PMID: 27296149
顯示更多
收起更多
-
亞細胞定位:Secreted.
-
蛋白家族:Protease inhibitor I35 (TIMP) family
-
組織特異性:Detected in rheumatoid synovial fluid (at protein level).
-
數據庫鏈接:
Most popular with customers
-
-
YWHAB Recombinant Monoclonal Antibody
Applications: ELISA, WB, IHC, IF, FC
Species Reactivity: Human, Mouse, Rat
-
Phospho-YAP1 (S127) Recombinant Monoclonal Antibody
Applications: ELISA, WB, IHC
Species Reactivity: Human
-
-
-
-
-















