TIMM23 Monoclonal Antibody
-
中文名稱:TIMM23 Monoclonal Antibody
-
貨號:CSB-MA903029
-
規格:¥1320
-
圖片:
-
Flow cytometric analysis of TIMM23 expression in HeLa cells using TIMM23 antibody. Green, isotype control; red, TIMM23.
-
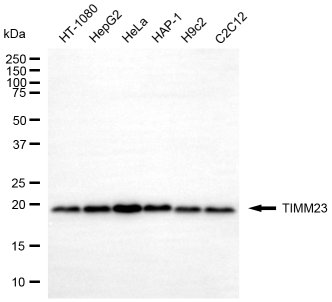
Western blotting analysis using TIMM23 antibody. Total cell lysates (20 μg) from various cell lines were loaded and separated by SDS-PAGE. The blot was incubated with TIMM23 antibody and HRP-conjugated goat anti-mouse secondary antibody respectively.
-
-
其他:
產品詳情
-
產品名稱:Mouse anti-Homo sapiens (Human) TIMM23 Monoclonal antibody
-
Uniprot No.:
-
基因名:TIMM23
-
別名:TIMM23; Translocase Of Inner Mitochondrial Membrane 23; TIM23; Mitochondrial Import Inner Membrane Translocase Subunit Tim23; Translocase Of Inner Mitochondrial Membrane 23 Homolog (Yeast); Translocase Of Inner Mitochondrial Membrane 23 Homolog; Translocase Of The Inner Mitochondrial Membrane
-
宿主:Mouse
-
反應種屬:Human, Mouse, Rat
-
免疫原:Recombinant Human TIMM23 protein
-
免疫原種屬:Homo sapiens (Human)
-
標記方式:Non-conjugated
-
克隆類型:Monoclonal
-
抗體亞型:Mouse IgG2b
-
純化方式:Affinity-chromatography
-
克隆號:13B11
-
濃度:It differs from different batches. Please contact us to confirm it.
-
保存緩沖液:PBS (pH 7.4) containing 50% glycerol, and 0.02% sodium azide.
-
產品提供形式:Liquid
-
應用范圍:ELISA, WB, FC
-
推薦稀釋比:
Application Recommended Dilution WB 1:500-1:2500 FC 1:200-1:2000 -
Protocols:
-
儲存條件:Upon receipt, store at -20°C or -80°C. Avoid repeated freeze.
-
貨期:Basically, we can dispatch the products out in 1-3 working days after receiving your orders. Delivery time maybe differs from different purchasing way or location, please kindly consult your local distributors for specific delivery time.
-
用途:For Research Use Only. Not for use in diagnostic or therapeutic procedures.
相關產品
靶點詳情
-
功能:Essential component of the TIM23 complex, a complex that mediates the translocation of transit peptide-containing proteins across the mitochondrial inner membrane.
-
基因功能參考文獻:
- Data indicate the essential role of the GABP transcription factor in activating translocase of inner mitochondrial membrane 23 TIMM23 and TIMM23B expression. PMID: 29413900
- The interaction of presequence peptides with Tim23 intermembrane space domain is weakened in presence of Ca2+ ion, which implicates that Ca2+ ion may play an important role in the protein import by TIM23 complex. PMID: 27178215
- Modulating the sorting of nuclear-encoded proteins into mitochondria, mediated by the TIM23 complex, proves therapeutic in both yeast and patient-derived cells exhibiting ATP synthase deficiency. PMID: 25519239
- Three distinct Tim23 complexes, namely, B1, B2, and A, are involved in the maintenance of normal mitochondrial function. PMID: 24636990
- GST pull-down experiments and tryptophan fluorescence indicated that there is no interaction between Tim23IMS and Tim50IMS PMID: 23811401
- MCJ functions as J co-chaperone of the human TIM23 pre-protein translocase. PMID: 23263864
- Study establishes an unexpected molecular link between the TIM23 transport machinery and assembly of respiratory-chain complexes that regulate mitochondrial protein synthesis in response to their assembly state. PMID: 23260140
- The non-bound hydrophilic domain of the human Tim23 is in a molten globule configuration with marginal stability, existing as a dimer. PMID: 22306744
顯示更多
收起更多
-
亞細胞定位:Mitochondrion inner membrane; Multi-pass membrane protein.
-
蛋白家族:Tim17/Tim22/Tim23 family
-
數據庫鏈接:
Most popular with customers
-
-
YWHAB Recombinant Monoclonal Antibody
Applications: ELISA, WB, IHC, IF, FC
Species Reactivity: Human, Mouse, Rat
-
Phospho-YAP1 (S127) Recombinant Monoclonal Antibody
Applications: ELISA, WB, IHC
Species Reactivity: Human
-
-
-
-
-















