GBP2 Monoclonal Antibody
-
中文名稱:GBP2鼠單克隆抗體
-
貨號:CSB-MA009298A0m
-
規格:¥1320
-
圖片:
-
Immunofluorescence staining of U87 cells with CSB-MA009298A0m at 1:100, counter-stained with DAPI. The cells were fixed in 4% formaldehyde and blocked in 10% normal Goat Serum. The cells were incubated with the antibody overnight at 4°C. Nuclear DNA was labeled in blue with DAPI. The secondary antibody was FITC-conjugated AffiniPure Goat Anti-Mouse IgG (H+L).
-
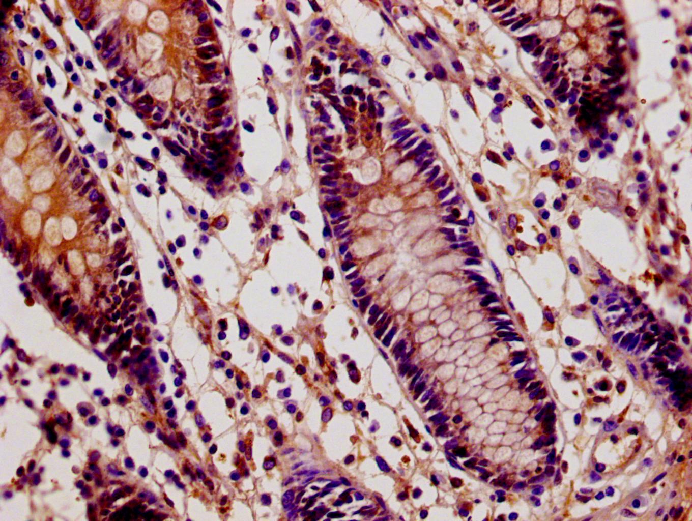
IHC image of CSB-MA009298A0m diluted at 1:100 and staining in paraffin-embedded human colon tissue performed on a Leica BondTM system. After dewaxing and hydration, antigen retrieval was mediated by high pressure in a citrate buffer (pH 6.0). Section was blocked with 10% normal goat serum 30min at RT. Then primary antibody (1% BSA) was incubated at 4°C overnight. The primary is detected by a biotinylated secondary antibody and visualized using an HRP conjugated SP system.
-
-
其他:
產品詳情
-
產品描述:CUSABIO貨號:CSB-MA009298A0m人源GBP2單克隆抗體是針對干擾素誘導蛋白GBP2(Guanylate-binding protein 2)研發的高特異性科研試劑。GBP2作為鳥苷酸結合蛋白家族成員,在先天免疫應答中發揮重要作用,參與宿主防御病毒與胞內病原體感染過程,其表達受干擾素-γ信號通路調控。該單克隆抗體采用雜交瘤技術制備,適用于ELISA酶聯免疫吸附、IHC免疫組化及IF免疫熒光三大實驗平臺,能夠精準識別人類GBP2蛋白的特定表位,為研究宿主免疫反應機制、病原體感染調控網絡及炎癥性疾病模型構建提供可靠工具。在腫瘤微環境分析、自身免疫疾病機制探索及抗病毒藥物研發等科研領域,本產品可有效應用于細胞定位觀察、組織切片染色及蛋白質定量檢測等實驗場景。嚴謹的質量控制體系確保抗體批次穩定性,滿足各類復雜實驗設計需求,是免疫學、細胞生物學及感染性疾病研究領域的優選試劑。
-
產品名稱:Mouse anti-Homo sapiens (Human) GBP2 Monoclonal Antibody antibody
-
Uniprot No.:
-
基因名:
-
別名:GBP2Guanylate-binding protein 2 antibody; EC 3.6.5.- antibody; GTP-binding protein 2 antibody; GBP-2 antibody; HuGBP-2 antibody; Guanine nucleotide-binding protein 2 antibody; Interferon-induced guanylate-binding protein 2 antibody
-
宿主:Mouse
-
反應種屬:Human
-
免疫原:Recombinant Human Guanylate-binding protein 2 protein (100-259AA)
-
免疫原種屬:Homo sapiens (Human)
-
標記方式:Non-conjugated
-
克隆類型:Monoclonal Antibody
-
抗體亞型:IgG2b
-
純化方式:>95%, Protein A purified
-
克隆號:1H6F9
-
濃度:It differs from different batches. Please contact us to confirm it.
-
保存緩沖液:Preservative: 0.03% Proclin 300
Constituents: 50% Glycerol, 0.01M PBS, PH 7.4 -
產品提供形式:Liquid
-
應用范圍:ELISA, IF,IHC
-
推薦稀釋比:
Application Recommended Dilution IF 1:50-1:200;IHC:1:50-1:200 -
Protocols:
-
儲存條件:Upon receipt, store at -20°C or -80°C. Avoid repeated freeze.
-
貨期:Basically, we can dispatch the products out in 1-3 working days after receiving your orders. Delivery time maybe differs from different purchasing way or location, please kindly consult your local distributors for specific delivery time.
-
用途:For Research Use Only. Not for use in diagnostic or therapeutic procedures.
相關產品
靶點詳情
-
功能:Hydrolyzes GTP to GMP in 2 consecutive cleavage reactions, but the major reaction product is GDP. Exhibits antiviral activity against influenza virus. Promotes oxidative killing and delivers antimicrobial peptides to autophagolysosomes, providing broad host protection against different pathogen classes.
-
基因功能參考文獻:
- Study presents the first demonstration that GBP2 inhibits mitochondrial fission and cell metastasis in breast cancer cells both in vitro and in vivo. PMID: 29072687
- Low GBP2 expression is associated with metastasis in breast cancer. PMID: 23001506
- Downregulation of MIR-433 is associated with myeloproliferative neoplasms. PMID: 22864358
- The in vivo localization of GBP-2 at cellular membranes is regulated by isoprenylation and dimerization. PMID: 21151871
- Guanylate-binding protein 2 mRNA in peripheral blood leukocytes may have a role in acute cellular rejection after liver transplantation PMID: 19912588
- Sky1p utilizes the same docking groove to bind yeast SR-like protein Gbp2p and phosphorylates all three serines present in a contiguous RS dipeptide stretch PMID: 17517895
- GBP-2 is regulated by p53 and may have a role in esophageal squamous cell carcinomas PMID: 19003964
顯示更多
收起更多
-
亞細胞定位:Cytoplasm. Cytoplasm, perinuclear region. Golgi apparatus membrane. Membrane; Lipid-anchor.
-
蛋白家族:TRAFAC class dynamin-like GTPase superfamily, GB1/RHD3-type GTPase family, GB1 subfamily
-
數據庫鏈接:
Most popular with customers
-
-
YWHAB Recombinant Monoclonal Antibody
Applications: ELISA, WB, IHC, IF, FC
Species Reactivity: Human, Mouse, Rat
-
Phospho-YAP1 (S127) Recombinant Monoclonal Antibody
Applications: ELISA, WB, IHC
Species Reactivity: Human
-
-
-
-
-















