CD14 Monoclonal Antibody
-
中文名稱:CD14鼠單克隆抗體
-
貨號:CSB-MA792948
-
規格:¥1320
-
圖片:
-
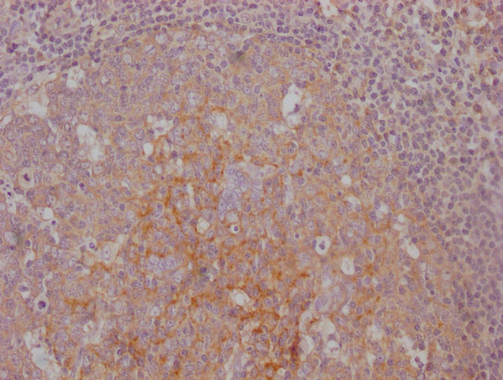
IHC image of CSB-MA792948 diluted at 1:100 and staining in paraffin-embedded human tonsil tissue performed on a Leica BondTM system. After dewaxing and hydration, antigen retrieval was mediated by high pressure in a citrate buffer (pH 6.0). Section was blocked with 10% normal goat serum 30min at RT. Then primary antibody (1% BSA) was incubated at 4°C overnight. The primary is detected by a Goat anti-mouse IgG polymer labeled by HRP and visualized using 0.05% DAB.
-
-
其他:
產品詳情
-
產品描述:CD14單克隆抗體(CUSABIO貨號:CSB-MA792948)是專為先天免疫研究開發的高特異性科研試劑,靶向人類CD14抗原分子。CD14作為模式識別受體家族成員,主要表達于單核細胞和巨噬細胞表面,通過與脂多糖結合蛋白復合物相互作用,在病原相關分子模式識別及炎癥信號轉導中發揮關鍵作用,是研究感染免疫與炎癥反應的重要生物標志物。本產品經嚴格驗證適用于ELISA和免疫組化(IHC)兩種實驗平臺,能夠精準識別天然構象的人源CD14蛋白,為科研人員提供可靠的實驗工具。在先天免疫機制探索、感染性疾病模型構建、單核/巨噬細胞功能研究中,該抗體可有效用于體外樣本檢測,特別適用于病原體誘導的免疫應答研究、炎癥微環境分析等前沿領域。其優異的人種屬特異性使其成為研究人類免疫細胞分化及功能調控的理想選擇,為探索膿毒癥、動脈粥樣硬化等與CD14相關疾病的分子機制提供重要技術支持。
-
產品名稱:Mouse anti-Homo sapiens (Human) CD14 Monoclonal antibody
-
Uniprot No.:
-
基因名:
-
別名:CD 14 antibody; CD_antigen=CD14 antibody; CD14 antibody; CD14 antigen antibody; CD14 molecule antibody; CD14_HUMAN antibody; LPS-R antibody; Mo2 antibody; Monocyte differentiation antigen CD14 antibody; Monocyte differentiation antigen CD14 urinary form antibody; Monocyte differentiation antigen CD14; membrane-bound form antibody; Myeloid cell specific leucine rich glycoprotein antibody; Myeloid cell-specific leucine-rich glycoprotein antibody
-
宿主:Mouse
-
反應種屬:Human
-
免疫原:Synthesized peptide derived from human CD14
-
免疫原種屬:Homo sapiens (Human)
-
標記方式:Non-conjugated
-
克隆類型:Monoclonal
-
抗體亞型:IgG2b, Kappa
-
純化方式:The antibody was affinity-purified from mouse ascites by affinity-chromatography using specific immunogen.
-
克隆號:8H2
-
濃度:It differs from different batches. Please contact us to confirm it.
-
保存緩沖液:Liquid in PBS containing 50% glycerol, 0.5% BSA and 0.02% sodium azide.
-
產品提供形式:Liquid
-
應用范圍:ELISA, IHC
-
推薦稀釋比:
Application Recommended Dilution IHC 1:20-1:200 -
Protocols:
-
儲存條件:Upon receipt, store at -20°C or -80°C. Avoid repeated freeze.
-
貨期:Basically, we can dispatch the products out in 1-3 working days after receiving your orders. Delivery time maybe differs from different purchasing way or location, please kindly consult your local distributors for specific delivery time.
-
用途:For Research Use Only. Not for use in diagnostic or therapeutic procedures.
相關產品
靶點詳情
-
功能:Coreceptor for bacterial lipopolysaccharide. In concert with LBP, binds to monomeric lipopolysaccharide and delivers it to the LY96/TLR4 complex, thereby mediating the innate immune response to bacterial lipopolysaccharide (LPS). Acts via MyD88, TIRAP and TRAF6, leading to NF-kappa-B activation, cytokine secretion and the inflammatory response. Acts as a coreceptor for TLR2:TLR6 heterodimer in response to diacylated lipopeptides and for TLR2:TLR1 heterodimer in response to triacylated lipopeptides, these clusters trigger signaling from the cell surface and subsequently are targeted to the Golgi in a lipid-raft dependent pathway. Binds electronegative LDL (LDL(-)) and mediates the cytokine release induced by LDL(-).
-
基因功能參考文獻:
- high plasma levels of sCD14 is associated with measles virus infection. PMID: 29795672
- a considerable connection of DEFB1 and TCF7L2 gene polymorphisms with nephrolithiasis PMID: 29959006
- CD14 C-(260)T polymorphism is not associated with incidence of acute myocardial infarction in Egyptians who showed elevated serum CD14 levels in PMID: 29874995
- This study provides better understanding of the mechanisms and disease susceptibility for MIF and CD14 genetic variants and inflammatory miRNAs networks involved in ankylosing spondylitis and polyarthralgia. PMID: 29863307
- Childhood-onset and adult-onset of asthma showed significant difference in allergen sensitivity as well as genetic background with respect to CD14 polymorphism. PMID: 29937881
- Renal transplant recipients carrying the CD14-159 TT genotype have significantly higher risk of acute rejection and reduced transplant survival rate than patients with heterozygous or wild-type genotypes. PMID: 28411360
- The accumulating evidence does not support an association of CD14 SNP rs2569190 with AR risk. [meta-analysis] PMID: 29687183
- It seems that CD14 gene polymorphism might be associated with the risk of CAD, whereas COL4A1 gene polymorphism was not found to confer any risk of CAD PMID: 29299748
- higher sCD14 levels in HIV-positive women were associated with a more compromised maternal immunological status and to a lower neonatal birthweight, but not to poorer clinical outcomes in the HIV-exposed children PMID: 29323435
- The -221G>C polymorphism of MBL2, the -159C>T polymorphism of CD14 and the TNF-857 polymorphism of TNF-a are risk factors for spinal spinal tuberculosis (TB) and may be involved in the development of spinal TB in the Chinese population. These factors are indicators of susceptibility to spinal TB and require clinical attention. PMID: 29298876
- genetic variation of CD14, rs5744455, is related to the susceptibility to laryngeal cancer, providing a theoretical basis for the study of the pathogenesis of laryngeal PMID: 29077168
- Calcitriol regulates immune genes CD14 and CD180 to modulate LPS responses in human trophoblasts. PMID: 29089453
- The findings suggest that smoking and the presence of TNFalpha-308 GA/AA genotypes may increase the risk for peri-implantitis, while CD14-159 polymorphic CT/TT genotypes decrease the risk. PMID: 28906511
- Our results demonstrate that the expression of CD163 and CD206 in monocytes is modulated by LPS in vitro; LPS induces CD163 expression and downregulates the spontaneously increased expression of CD206 PMID: 25914252
- may be a simple and easy approach to assess by RT-FCM the reaction between NO and superoxide ion in whole blood monocytes..The no-wash, no-lyse staining protocol with CD45-KO and CD14-PB allows to differentiate clearly and to gate in the monocyte population in near-physiological conditions PMID: 25758468
- Association of polymorphic markers of chemokine genes, their receptors, and CD14 gene with coronary atherosclerosis PMID: 29369549
- data confirm that engineered human cells expressing TLR4, MD2 and CD14 can respond to CMP with NF-kappaB activation and the response can be influenced by variations in CMP-mannosylation PMID: 29281684
- hypothesize that CD14(-159C/T) polymorphic variants might be one of genetic components in the response to attenuated M. bovis BCG bacilli PMID: 29281719
- Higher sCD14 levels were found in twins with schizophrenia or bipolar disorder compared to their not affected co-twins, and higher sCD14-levels were associated with psychotic symptoms. PMID: 28039552
- novel observation that sCD14 compared with lipopolysaccharide binding protein, offers a preferred target to ameliorate TLR especially TLR4-induced inflammation and insulin resistance in human obesity and metabolic syndrome PMID: 26880233
- For asthma, there was suggestive evidence of a gene-by-environment interaction for the CD14 variant rs2569190 (Interaction P = 0.16) but not for the TLR4 variants rs4986790 and rs4986791. PMID: 27977294
- the simultaneous detection of both plasma sCD14 and IL-6 is a promising diagnostic approach to identify active pulmonary tuberculosis, and further, measurement of TNF-alpha and sCD163 can identify the most severe cases of tuberculosis. PMID: 27591510
- the methylation levels in the promoter region of CD14 gene were higher in the Finnish compared to Russian Karelian children PMID: 27434019
- Anti-apoA-1 IgG are independent predictors of nonfatal incident coronary artery disease in the general population. The strength of this association is dependent on a functional polymorphism of the CD14 receptor gene, a finding suggesting a gene-autoantibody interaction for the development of CAD. PMID: 29074586
- CD14 haplotypes and sCD14 are important mediators of lung function among those with COPD in this occupationally-exposed population. PMID: 28302109
- IL-1beta-primed dendritic cells express high levels of CD14 that mediate IL-17 production through direct interaction with T cells. PMID: 27550748
- The distribution of the CD14 rs2569190 genotypes and allele frequencies showed significant differences between the test and control groups. Prevalence of the polymorphic TT genotype and T allele of the CD14 rs2569190 were significantly increased in GCP patients when compared with healthy controls PMID: 28829191
- Presepsin is significantly higher in preterm infants with early-onset sepsis compared with uninfected infants. PMID: 27925621
- Neovascularized atherosclerotic lesions selectively associate with lower blood levels of CD14+ and CD14(high)CD16- monocytes independently of systemic inflammatory activity. PMID: 27751505
- CXCR7 mediates CD14(+)CD16(+) monocyte transmigration across the blood brain barrier, and is a potential therapeutic target for neuro AIDS. PMID: 28754798
- META-ANALYSIS: association between the -159C/T polymorphism in the promoter region of the CD14 gene and sepsis PMID: 28122493
- In LPS-stimulated HEK293 cells with low CD14 and high TLR4, no accumulation of PI(4,5)P2 occurred. With an increasing amount of CD14 and decrease of TLR4, 2 peaks of PI(4,5)P2 appeared, approaching those found in LPS-stimulated cells expressing CD14 alone. This suggests that LPS-induced accumulation of PI(4,5)P2 that maximizes TLR4 signaling is controlled by CD14, whereas TLR4 can fine tune this via PI(4,5)P2 turnover. PMID: 27418354
- Intermediate CD14++CD16+monocytes might be closely related to the pathogenesis of atrial fibrillation and reflect functional remodelling of the left atrium. PMID: 26826137
- In 121 primary sclerosing cholangitis patients, the CD14 -260C>T genotype was associated with development of dominant bile duct strictures (P = 0.02). In 365 liver transplantation patients, TT carriers (4.1%) were protected against the formation of nonanastomotic biliary strictures versus CC/CT patients (12.6%; P = 0.01). PMID: 26970220
- response of hPdLSCs to bacterial LPS is strongly augmented by sCD14 PMID: 27504628
- analysis of plasma CXCL10, sCD163 and sCD14 in virological suppression and risk of cardiovascular disease PMID: 27355513
- TGM2 has a role in macrophage differentiation via mechanisms involving CD14 and SR-AI receptors. PMID: 27378395
- we found that higher percentages of circulating CD14+CD204+, CD14+CD163+CD204+ M2-like monocytes were significantly associated with TNM stage, lymph node metastasis, and histological differentiation. PMID: 28639912
- these results indicate that CD14 is a co-receptor of TLR4 in the S100A9-induced cytokine response. PMID: 27228163
- our data showed the contribution on the TLR4+896A/G and CD14-159C/T polymorphism-related immune dysfunction including increased non-classical (inflammatory) monocyte proportion-related LPS hyper-inflammatory response and decreased classical (phagocytic) monocyte proportion-related impaired phagocytosis in febrile acute de-compensated cirrhotic patients complicated with severe sepsis. PMID: 27861595
- Plasma presepsin concentrations are associated with the severity of sepsis and its outcome. PMID: 28099244
- Presepsin is a valuable new biomarker for defining severe infections in cirrhosis, proving same efficacy as procalcitonin. However, it is not a useful marker of short-term mortality. PMID: 27895404
- Patients with CD14 C (-159) T gene polymorphism, a co-receptor of TLR4, have an increased risk of NAFLD development. PMID: 27895422
- Single nucleotide polymorphism CD14-159 C/T was linked to greater Atopic dermatitis risk at 2 to 3 years of age. PMID: 27274543
- While there was no association with any respiratory phenotype (as determined by symptoms), the CD14 CT/TT genotype appeared to be protective to increased exposure to NO2 and NO PMID: 27142357
- CD14 expression is significantly upregulated in human masticatory mucosa during wound healing PMID: 28005267
- we report that exogenous CnB is taken up by cells in a time- and concentration-dependent manner via clathrin-dependent receptor-mediated internalization. Our findings further confirm that uptake is mediated by the TLR4/MD2 complex together with the co-receptor CD14 PMID: 27090571
- Cord blood sCD14 may be a useful biomarker for predicting infant wheeze and prolonged cough by 1 year of age. PMID: 27144407
- Presepsin is a valuable biomarker to detect patients with acute pyelonephritis PMID: 27889429
- diagnostic accuracy of presepsin (sCD14-ST) as a biomarker of infection and sepsis PMID: 27823951
顯示更多
收起更多
-
亞細胞定位:Cell membrane; Lipid-anchor, GPI-anchor. Secreted. Membrane raft. Golgi apparatus.
-
組織特異性:Detected on macrophages (at protein level). Expressed strongly on the surface of monocytes and weakly on the surface of granulocytes; also expressed by most tissue macrophages.
-
數據庫鏈接:
Most popular with customers
-
-
YWHAB Recombinant Monoclonal Antibody
Applications: ELISA, WB, IHC, IF, FC
Species Reactivity: Human, Mouse, Rat
-
Phospho-YAP1 (S127) Recombinant Monoclonal Antibody
Applications: ELISA, WB, IHC
Species Reactivity: Human
-
-
-
-
-















