XIAP
XIAP,即X染色體連鎖的凋亡抑制蛋白,別名HILP、IAP 3。它是一種由XIAP基因編碼的蛋白質,屬于凋亡抑制蛋白家族成員,在多種細胞類型中表達。XIAP的作用機制主要通過直接抑制凋亡蛋白酶,如caspase-3、-7、-9,從而阻斷細胞凋亡的效應階段。XIAP還能通過與Smurf1、Tolloid等蛋白相互作用,參與細胞周期調控和發育過程。XIAP的意義非常廣泛,它參與了細胞存活、免疫調節、細胞凋亡等多種生理和病理過程。XIAP的異常表達與某些癌癥的發生發展密切相關,使其成為抗腫瘤藥物開發的潛在靶點。
熱銷產品
Recombinant Human E3 ubiquitin-protein ligase XIAP (XIAP) (CSB-EP026193HU)
驗證數據
(Tris-Glycine gel) Discontinuous SDS-PAGE (reduced) with 5% enrichment gel and 15% separation gel.
XIAP Antibody (CSB-PA026193LA01HU)
驗證數據
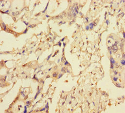
Immunohistochemistry of paraffin-embedded human pancreatic cancer using CSB-PA026193LA01HU at dilution of 1:100
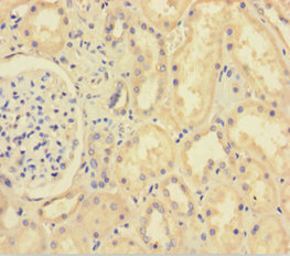
Immunohistochemistry of paraffin-embedded human kidney tissue using CSB-PA026193LA01HU at dilution of 1:100
XIAP Antibodies
XIAP for Homo sapiens (Human)
| 產品貨號 | 產品名稱 | 種屬反應性 | 應用類型 |
|---|---|---|---|
| CSB-PA026193GA01HU | XIAP Antibody | Human,Mouse,Rat | ELISA,WB,IHC,IF |
| CSB-PA026193ESR2HU | XIAP Antibody | Human | ELISA, WB, IHC |
| CSB-PA026193LA01HU | XIAP Antibody | Human | ELISA, IHC |
| CSB-PA026193LB01HU | XIAP Antibody, HRP conjugated | Human | ELISA |
| CSB-PA026193LC01HU | XIAP Antibody, FITC conjugated | Human | |
| CSB-PA548634 | Phospho-XIAP (Ser87) Antibody | Human,Mouse,Rat | ELISA,WB |
| CSB-PA004519 | XIAP Antibody | Human,Mouse,Rat | WB, IHC, ELISA |
| CSB-PA009303 | Phospho-XIAP (S87) Antibody | Human,Mouse,Rat | WB, IHC, ELISA |
| CSB-PA968176 | XIAP Antibody | Human,Mouse,Rat | ELISA,WB |
XIAP Proteins
XIAP Proteins for Homo sapiens (Human)
| 產品貨號 | 產品名稱 | 來源 |
|---|---|---|
| CSB-YP026193HU CSB-BP026193HU CSB-MP026193HU CSB-EP026193HU-B |
Recombinant Human E3 ubiquitin-protein ligase XIAP (XIAP) | Yeast Baculovirus Mammalian cell In Vivo Biotinylation in E.coli |
| CSB-EP026193HU | Recombinant Human E3 ubiquitin-protein ligase XIAP (XIAP) | E.coli |
| CSB-EP026193HU(M) | Recombinant Human E3 ubiquitin-protein ligase XIAP (XIAP) (1-1:M→MM) | E.coli |
| CSB-EP026193HU(M1) | Recombinant Human E3 ubiquitin-protein ligase XIAP (XIAP)(E134D) | E.coli |
XIAP Proteins for Xenopus laevis (African clawed frog)
| 產品貨號 | 產品名稱 | 來源 |
|---|---|---|
| CSB-YP026193XBE CSB-EP026193XBE CSB-BP026193XBE CSB-MP026193XBE CSB-EP026193XBE-B |
Recombinant Xenopus laevis Baculoviral IAP repeat-containing protein 4 (xiap) | Yeast E.coli Baculovirus Mammalian cell In Vivo Biotinylation in E.coli |
XIAP Proteins for Xenopus tropicalis (Western clawed frog) (Silurana tropicalis)
| 產品貨號 | 產品名稱 | 來源 |
|---|---|---|
| CSB-YP710677XBF CSB-EP710677XBF CSB-BP710677XBF CSB-MP710677XBF CSB-EP710677XBF-B |
Recombinant Xenopus tropicalis E3 ubiquitin-protein ligase XIAP (xiap) | Yeast E.coli Baculovirus Mammalian cell In Vivo Biotinylation in E.coli |
XIAP Proteins for Mus musculus (Mouse)
| 產品貨號 | 產品名稱 | 來源 |
|---|---|---|
| CSB-YP726691MO CSB-EP726691MO CSB-BP726691MO CSB-MP726691MO CSB-EP726691MO-B |
Recombinant Mouse E3 ubiquitin-protein ligase XIAP (Xiap) | Yeast E.coli Baculovirus Mammalian cell In Vivo Biotinylation in E.coli |
XIAP Proteins for Rattus norvegicus (Rat)
| 產品貨號 | 產品名稱 | 來源 |
|---|---|---|
| CSB-YP865627RA CSB-EP865627RA CSB-BP865627RA CSB-MP865627RA CSB-EP865627RA-B |
Recombinant Rat E3 ubiquitin-protein ligase XIAP (Xiap) | Yeast E.coli Baculovirus Mammalian cell In Vivo Biotinylation in E.coli |






