VWF
VWF,即血管性血友病因子,別名包括vWF。它是一種由第12號染色體的短臂所編碼的糖蛋白,主要在內皮細胞合成,也由巨核細胞生成。VWF的作用機制包括與血小板膜GPⅠb-Ⅸ復合物及內皮下膠原結合,介導血小板在血管損傷部位的黏附,同時與因子Ⅷ結合,作為載體具有穩定因子Ⅷ的作用。VWF在止血過程中發揮關鍵作用,其缺乏或功能異常會導致血管性血友病(VWD),是一種常見的先天性出血性疾病。此外,VWF還在調節機體炎性過程中扮演重要角色,與一系列心血管疾病如動脈粥樣硬化、急性冠狀動脈綜合征、心房顫動等均關系密切。
熱銷產品
驗證數據
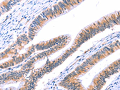
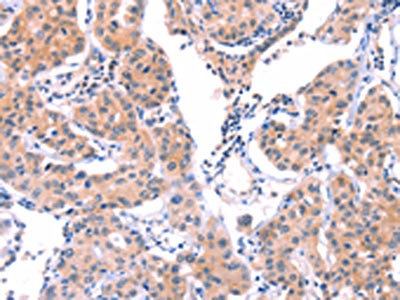
The image on the left is immunohistochemistry of paraffin-embedded Human colon cancer tissue using CSB-PA292051(VWF Antibody) at dilution 1/50, on the right is treated with fusion protein. (Original magnification: ×200)
The image on the left is immunohistochemistry of paraffin-embedded Human lung cancer tissue using CSB-PA292051(VWF Antibody) at dilution 1/50, on the right is treated with fusion protein. (Original magnification: ×200)
VWF Antibodies
VWF for Homo sapiens (Human)
| 產品貨號 | 產品名稱 | 種屬反應性 | 應用類型 |
|---|---|---|---|
| CSB-PA025960GA01HU | VWF Antibody | Human,Mouse,Rat | ELISA,WB,IHC |
| CSB-PA12779A0Rb | VWF Antibody | Human | ELISA, IHC |
| CSB-PA12779B0Rb | VWF Antibody, HRP conjugated | Human | ELISA |
| CSB-PA12779C0Rb | VWF Antibody, FITC conjugated | Human | |
| CSB-PA12779D0Rb | VWF Antibody, Biotin conjugated | Human | ELISA |
| CSB-PA292051 | VWF Antibody | Human | ELISA,IHC |
| CSB-PA195869 | VWF Antibody | Human | ELISA,IHC |
VWF Proteins
VWF Proteins for Bos taurus (Bovine)
| 產品貨號 | 產品名稱 | 來源 |
|---|---|---|
| CSB-YP025960BO CSB-EP025960BO CSB-BP025960BO CSB-MP025960BO CSB-EP025960BO-B |
Recombinant Bovine von Willebrand factor (VWF), partial | Yeast E.coli Baculovirus Mammalian cell In Vivo Biotinylation in E.coli |
VWF Proteins for Rattus norvegicus (Rat)
| 產品貨號 | 產品名稱 | 來源 |
|---|---|---|
| CSB-YP025960RA CSB-EP025960RA CSB-BP025960RA CSB-MP025960RA CSB-EP025960RA-B |
Recombinant Rat von Willebrand factor (Vwf) | Yeast E.coli Baculovirus Mammalian cell In Vivo Biotinylation in E.coli |
VWF Proteins for Mus musculus (Mouse)
| 產品貨號 | 產品名稱 | 來源 |
|---|---|---|
| CSB-YP025960MO | Recombinant Mouse von Willebrand factor (Vwf), partial | Yeast |
| CSB-EP025960MO | Recombinant Mouse von Willebrand factor (Vwf), partial | E.coli |
| CSB-BP025960MO CSB-MP025960MO CSB-EP025960MO-B |
Recombinant Mouse von Willebrand factor (Vwf), partial | Baculovirus Mammalian cell In Vivo Biotinylation in E.coli |
VWF Proteins for Canis familiaris (Dog) (Canis lupus familiaris)
| 產品貨號 | 產品名稱 | 來源 |
|---|---|---|
| CSB-YP025960DO CSB-EP025960DO CSB-BP025960DO CSB-MP025960DO CSB-EP025960DO-B |
Recombinant Dog von Willebrand factor (VWF), partial | Yeast E.coli Baculovirus Mammalian cell In Vivo Biotinylation in E.coli |
VWF Proteins for Sus scrofa (Pig)
| 產品貨號 | 產品名稱 | 來源 |
|---|---|---|
| CSB-YP025960PI CSB-BP025960PI CSB-MP025960PI CSB-EP025960PI-B |
Recombinant Pig von Willebrand factor (VWF), partial | Yeast Baculovirus Mammalian cell In Vivo Biotinylation in E.coli |
VWF ELISA Kit
VWF ELISA Kit for Canis lupus familiaris (Dog) (Canis familiaris)
| 產品貨號 | 產品名稱 | 樣本類型 | 靈敏度 |
|---|---|---|---|
| CSB-E12759c | Dog von Willebrand Factor,vWF ELISA Kit | serum, plasma, tissue homogenates | 0.32 ng/mL |
VWF ELISA Kit for Homo sapiens (Human)
| 產品貨號 | 產品名稱 | 樣本類型 | 靈敏度 |
|---|---|---|---|
| CSB-E08437h | Human von Willebrand Factor,vWF ELISA Kit | serum, plasma, tissue homogenates. | 1.56 ng/ml. |
VWF ELISA Kit for Mus musculus (Mouse)
| 產品貨號 | 產品名稱 | 樣本類型 | 靈敏度 |
|---|---|---|---|
| CSB-E08439m | Mouse von Willebrand Factor,vWF ELISA Kit | serum, plasma, tissue homogenates | 0.195 ng/mL |
VWF ELISA Kit for Sus scrofa (Pig)
| 產品貨號 | 產品名稱 | 樣本類型 | 靈敏度 |
|---|---|---|---|
| CSB-E09395p | Pig von Willebrand Factor,vWF ELISA Kit | serum, plasma | 0.156 ng/mL |
VWF ELISA Kit for Rattus norvegicus (Rat)
| 產品貨號 | 產品名稱 | 樣本類型 | 靈敏度 |
|---|---|---|---|
| CSB-E08438r | Rat von Willebrand Factor,vWF ELISA Kit | serum, plasma, tissue homogenates | 0.078 ng/mL |






