VTCN1
VTCN1,即V結構域含T細胞激活抑制因子1,是一種屬于B7家族的膜結合蛋白。它在多種細胞類型中表達,包括腫瘤細胞和免疫細胞。VTCN1的作用機制涉及調節T細胞的激活和增殖,可能通過與B7家族其他成員相互作用影響T細胞受體(TCR)介導的信號通路。此外,VTCN1在腫瘤微環境中可能促進腫瘤細胞的侵襲和轉移,以及腫瘤血管生成。VTCN1的表達在多種腫瘤中異常升高,并與患者的不良預后顯著相關。它在腫瘤免疫逃逸、轉移中可能發揮重要作用,因此被認為是腫瘤治療的潛在靶點。同時,VTCN1的表達水平也被用作檢測腫瘤患者病情和治療效果的生物標志物,具有重要的臨床應用前景。
熱銷產品
VTCN1 Antibody (CSB-PA13005A0Rb)
驗證數據
Immunofluorescence staining of Hela cells with CSB-PA13005A0Rb at 1:66, counter-stained with DAPI. The cells were fixed in 4% formaldehyde, permeabilized using 0.2% Triton X-100 and blocked in 10% normal Goat Serum. The cells were then incubated with the antibody overnight at 4°C. The secondary antibody was Alexa Fluor 488-congugated AffiniPure Goat Anti-Rabbit IgG(H+L).
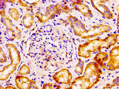
IHC image of CSB-PA13005A0Rb diluted at 1:100 and staining in paraffin-embedded human kidney tissue performed on a Leica BondTM system. After dewaxing and hydration, antigen retrieval was mediated by high pressure in a citrate buffer (pH 6.0). Section was blocked with 10% normal goat serum 30min at RT. Then primary antibody (1% BSA) was incubated at 4°C overnight. The primary is detected by a biotinylated secondary antibody and visualized using an HRP conjugated SP system.
VTCN1 Antibodies
VTCN1 for Homo sapiens (Human)
| 產品貨號 | 產品名稱 | 種屬反應性 | 應用類型 |
|---|---|---|---|
| CSB-PA13005A0Rb | VTCN1 Antibody | Human | ELISA, IHC, IF |
| CSB-PA594088 | VTCN1 Antibody | Human,Mouse,Rat | ELISA,IHC |
| CSB-PA350067 | VTCN1 Antibody | Human,Mouse,Rat | ELISA,IHC |
| CSB-PA017573 | VTCN1 Antibody | Human,Mouse,Rat | ELISA,IHC |
VTCN1 Proteins
VTCN1 Proteins for Homo sapiens (Human)
| 產品貨號 | 產品名稱 | 來源 |
|---|---|---|
| CSB-EP801822HUe0 | Recombinant Human V-set domain-containing T-cell activation inhibitor 1 (B7H4), partial | E.coli |
| CSB-YP801822HU CSB-BP801822HU CSB-MP801822HU CSB-EP801822HU-B |
Recombinant Human V-set domain-containing T-cell activation inhibitor 1 (VTCN1), partial | Yeast Baculovirus Mammalian cell In Vivo Biotinylation in E.coli |
| CSB-EP801822HU | Recombinant Human V-set domain-containing T-cell activation inhibitor 1 (B7H4), partial | E.coli |
VTCN1 Proteins for Rattus norvegicus (Rat)
| 產品貨號 | 產品名稱 | 來源 |
|---|---|---|
| CSB-YP700510RA CSB-EP700510RA CSB-BP700510RA CSB-MP700510RA CSB-EP700510RA-B |
Recombinant Rat V-set domain-containing T-cell activation inhibitor 1 (Vtcn1) | Yeast E.coli Baculovirus Mammalian cell In Vivo Biotinylation in E.coli |
VTCN1 Proteins for Mus musculus (Mouse)
| 產品貨號 | 產品名稱 | 來源 |
|---|---|---|
| CSB-YP742524MO CSB-EP742524MO CSB-BP742524MO CSB-EP742524MO-B |
Recombinant Mouse V-set domain containing T-cell activation inhibitor 1 (Vtcn1) | Yeast E.coli Baculovirus In Vivo Biotinylation in E.coli |
VTCN1 ELISA Kit
VTCN1 ELISA Kit for Homo sapiens (Human)
| 產品貨號 | 產品名稱 | 樣本類型 | 靈敏度 |
|---|---|---|---|
| CSB-E15013h | Human B7-H4 ELISA Kit | serum, plasma, cell culture supernates, tissue homogenates | 1.95 ng/mL |






