USP9X
USP9X,全名為泛素特異性肽酶9X,是一種去泛素化酶,常被稱為去泛素化酶FAF-X或Ubiquitin-specific protease 9。它在處理泛素前體和防止蛋白質降解中發揮著至關重要的作用。USP9X與多種生物學過程有關,包括腫瘤、神經退行性疾病和動脈粥樣硬化等。在藥物研發方面,USP9X的異常表達與口腔癌的發生發展密切相關,因此可能成為口腔癌的潛在治療靶點。此外,USP9X在維持中樞神經系統血管形成和屏障功能中也扮演著重要角色,其研究進展可能為中樞神經系統疾病的治療提供新的思路。
熱銷產品
USP9X Antibody (CSB-PA856610LA01HU)
驗證數據
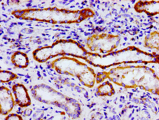
Immunohistochemistry of paraffin-embedded human kidney tissue using CSB-PA856610LA01HU at dilution of 1:100
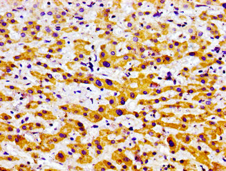
Immunohistochemistry of paraffin-embedded human liver cancer using CSB-PA856610LA01HU at dilution of 1:100
Immunofluorescence staining of Hela cells with CSB-PA856610LA01HU at 1:100, counter-stained with DAPI. The cells were fixed in 4% formaldehyde, permeabilized using 0.2% Triton X-100 and blocked in 10% normal Goat Serum. The cells were then incubated with the antibody overnight at 4°C. The secondary antibody was Alexa Fluor 488-congugated AffiniPure Goat Anti-Rabbit IgG(H+L).
USP9X Antibodies
USP9X for Homo sapiens (Human)
| 產品貨號 | 產品名稱 | 種屬反應性 | 應用類型 |
|---|---|---|---|
| CSB-PA025754GA01HU | USP9X Antibody | Human,Mouse,Rat | ELISA,WB |
| CSB-PA856610LA01HU | USP9X Antibody | Human | ELISA, IHC, IF |
| CSB-PA856610LB01HU | USP9X Antibody, HRP conjugated | Human | ELISA |
| CSB-PA856610LC01HU | USP9X Antibody, FITC conjugated | Human | |
| CSB-PA856610LD01HU | USP9X Antibody, Biotin conjugated | Human | ELISA |
USP9X Proteins
USP9X Proteins for Homo sapiens (Human)
| 產品貨號 | 產品名稱 | 來源 |
|---|---|---|
| CSB-YP856610HU CSB-EP856610HU CSB-BP856610HU CSB-MP856610HU CSB-EP856610HU-B |
Recombinant Human Probable ubiquitin carboxyl-terminal hydrolase FAF-X (USP9X), partial | Yeast E.coli Baculovirus Mammalian cell In Vivo Biotinylation in E.coli |






