TPI1
TPI1,即三磷酸異構酶1,別名TPI、TIM。它是一種廣泛存在于糖酵解途徑中的酶,由TPI1基因編碼,在細胞質中發揮作用。TPI1的作用機制是催化二磷酸甘油酸(2-磷酸甘油酸)和三磷酸甘油酸(3-磷酸甘油酸)之間的相互轉化,這一反應在糖酵解過程中是可逆的,對維持細胞內磷酸鹽的平衡和能量供應至關重要。TPI1在調節細胞能量代謝中發揮關鍵作用,尤其是在肌肉細胞中,它有助于在肌肉收縮期間迅速提供能量。此外,TPI1的活性和表達水平在某些疾病狀態下可能會發生變化,例如癌癥,其在腫瘤代謝中可能扮演角色,因此也是醫學研究中的一個關注點。
熱銷產品
TPI1 Antibody (CSB-PA13499A0Rb)
驗證數據
Western Blot
Positive WB detected in: HL60 whole cell lysate, Mouse brain tissue
All lanes: TPI1 antibody at 2µg/ml
Secondary
Goat polyclonal to rabbit IgG at 1/50000 dilution
Predicted band size: 31, 27, 18 kDa
Observed band size: 31, 27 kDa
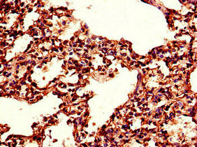
Immunohistochemistry of paraffin-embedded human lung tissue using CSB-PA13499A0Rb at dilution of 1:100
Human Triosephosphate isomerase(TPI1) ELISA kit (CSB-EL024102HU)
驗證數據
貨號:CSB-EL024102HU
規格:96T/48T
靈敏度:7 pg/mL
檢測范圍:28 pg/mL-1800 pg/mL
These standard curves are provided for demonstration only. A standard curve should be generated for each set of samples assayed.
TPI1 Antibodies
TPI1 for Homo sapiens (Human)
| 產品貨號 | 產品名稱 | 種屬反應性 | 應用類型 |
|---|---|---|---|
| CSB-PA024102GA01HU | TPI1 Antibody | Human,Mouse,Rat | ELISA,WB |
| CSB-PA13499A0Rb | TPI1 Antibody | Human, Mouse | ELISA, WB, IHC |
| CSB-PA13499B0Rb | TPI1 Antibody, HRP conjugated | Human | ELISA |
| CSB-PA13499C0Rb | TPI1 Antibody, FITC conjugated | Human | |
| CSB-PA13499D0Rb | TPI1 Antibody, Biotin conjugated | Human | ELISA |
TPI1 Proteins
TPI1 Proteins for Homo sapiens (Human)
| 產品貨號 | 產品名稱 | 來源 |
|---|---|---|
| CSB-YP024102HU CSB-EP024102HU CSB-BP024102HU CSB-MP024102HU CSB-EP024102HU-B |
Recombinant Human Triosephosphate isomerase (TPI1) | Yeast E.coli Baculovirus Mammalian cell In Vivo Biotinylation in E.coli |
TPI1 ELISA Kit
TPI1 ELISA Kit for Homo sapiens (Human)
| 產品貨號 | 產品名稱 | 樣本類型 | 靈敏度 |
|---|---|---|---|
| CSB-EL024102HU | Human Triosephosphate isomerase(TPI1) ELISA kit | serum, plasma, tissue homogenates, cell lysates | 7 pg/mL |






