TOMM20
TOMM20,全稱為線粒體外膜轉位酶20,是一種參與線粒體蛋白轉運的關鍵蛋白。別名包括MAS20、MOM19和TOM20。TOMM20蛋白通過與線粒體靶向信號結合,促進蛋白質從細胞質轉位到線粒體,在線粒體外膜上發揮重要作用。研究表明,TOMM20蛋白的表達與多種癌癥密切相關,其過表達可促進腫瘤細胞的高氧化磷酸化和低糖酵解,而下調則可通過線粒體外膜通透性和細胞色素c釋放誘導細胞凋亡。此外,TOMM20蛋白還與帕金森病等神經退行性疾病有關。目前,針對TOMM20蛋白的藥物研發正在積極進行中,包括抗體藥物和靶向抑制劑等,以期通過調控TOMM20蛋白的表達和功能,治療相關疾病。
熱銷產品
TOMM20 Antibody (CSB-PA618983ESR2HU)
驗證數據
Western blot
All lanes: Mitochondrial import receptor subunit TOM20 homolog antibody at 3μg/ml
Lane 1: Mouse brain tissue
Lane 2: Hela whole cell lysate
Lane 3: Mouse liver tissue
Secondary
Goat polyclonal to rabbit IgG at 1/10000 dilution
Predicted band size: 16 kDa
Observed band size: 16 kDa
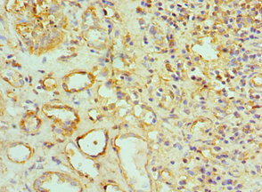
Immunohistochemistry of paraffin-embedded human kidney tissue using CSB-PA618983ESR2HU at dilution of 1:100
Immunofluorescent analysis of HepG2 cells using CSB-PA618983ESR2HU at dilution of 1:100 and Alexa Fluor 488-congugated AffiniPure Goat Anti-Rabbit IgG(H+L)
TOMM20 Antibodies
TOMM20 for Homo sapiens (Human)
| 產品貨號 | 產品名稱 | 種屬反應性 | 應用類型 |
|---|---|---|---|
| CSB-PA024046GA01HU | TOMM20 Antibody | Human,Mouse,Rat | ELISA,WB,IHC |
| CSB-PA618983ESR2HU | TOMM20 Antibody | Human, Mouse | ELISA, WB, IHC, IF |
| CSB-PA167518 | TOMM20 Antibody | Human | ELISA,WB |
| CSB-PA004315 | TOMM20 Antibody | Human,Mouse,Rat | WB, ELISA |
TOMM20 Proteins
TOMM20 Proteins for Homo sapiens (Human)
| 產品貨號 | 產品名稱 | 來源 |
|---|---|---|
| CSB-YP618983HU CSB-EP618983HU CSB-BP618983HU CSB-MP618983HU CSB-EP618983HU-B |
Recombinant Human Mitochondrial import receptor subunit TOM20 homolog (TOMM20), partial | Yeast E.coli Baculovirus Mammalian cell In Vivo Biotinylation in E.coli |






