TLR3
Toll樣受體3(TLR3)也被稱為CD283,是人體先天免疫系統的重要成員。這類蛋白能夠特異性識別病毒入侵時釋放的雙鏈RNA成分,迅速啟動干擾素等抗病毒因子的生成,幫助清除病原體。TLR3的功能異常與病毒性腦炎、慢性乙型肝炎等感染性疾病密切相關,其基因突變可能削弱機體對皰疹病毒、流感病毒的防御能力。在腫瘤領域,TLR3的激活被發現可誘導某些癌細胞的凋亡,黑色素瘤、乳腺癌等惡性腫瘤組織中常伴隨該受體表達量的顯著變化。目前全球已有十余款TLR3靶向藥物進入臨床試驗,例如美國某生物公司開發的候選藥物通過鼻腔給藥增強呼吸道抗病毒能力,另一款小分子激動劑正在晚期實體瘤患者中評估療效。值得注意的是,過度激活TLR3可能誘發類風濕性關節炎等自身免疫反應,因此新型藥物的研發需精準平衡免疫激活與抑制的窗口。
熱銷產品
TLR3 Antibody (CSB-PA023602LA01HU)
驗證數據
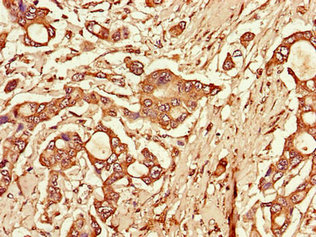
Immunohistochemistry of paraffin-embedded human pancreatic cancer using CSB-PA023602LA01HU at dilution of 1:100
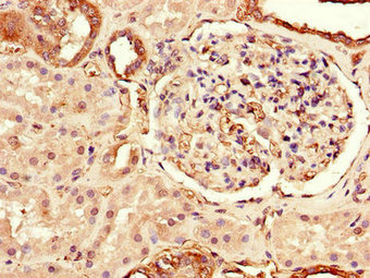
Immunohistochemistry of paraffin-embedded human kidney tissue using CSB-PA023602LA01HU at dilution of 1:100
Immunofluorescent analysis of Hela cells using CSB-PA023602LA01HU at dilution of 1:100 and Alexa Fluor 488-congugated AffiniPure Goat Anti-Rabbit IgG(H+L)
TLR3 Antibodies
TLR3 for Homo sapiens (Human)
| 產品貨號 | 產品名稱 | 種屬反應性 | 應用類型 |
|---|---|---|---|
| CSB-PA191967 | TLR3 Antibody | Human,Mouse | ELISA,WB |
| CSB-PA218546 | TLR3 Antibody | Human,Mouse | ELISA,WB,IHC |
| CSB-PA697913 | TLR3 Antibody | Human | ELISA,IHC |
| CSB-PA157170 | TLR3 Antibody | Human | ELISA,IHC |
| CSB-PA023602LA01HU | TLR3 Antibody | Human | ELISA, IHC, IF |
| CSB-PA023602LB01HU | TLR3 Antibody, HRP conjugated | Human | ELISA |
| CSB-PA023602LC01HU | TLR3 Antibody, FITC conjugated | Human | |
| CSB-PA023602LD01HU | TLR3 Antibody, Biotin conjugated | Human | ELISA |
TLR3 Proteins
TLR3 Proteins for Homo sapiens (Human)
| 產品貨號 | 產品名稱 | 來源 |
|---|---|---|
| CSB-YP023602HU CSB-EP023602HU CSB-BP023602HU CSB-MP023602HU CSB-EP023602HU-B |
Recombinant Human Toll-like receptor 3 (TLR3), partial | Yeast E.coli Baculovirus Mammalian cell In Vivo Biotinylation in E.coli |
TLR3 Proteins for Bos taurus (Bovine)
| 產品貨號 | 產品名稱 | 來源 |
|---|---|---|
| CSB-YP023602BO CSB-EP023602BO CSB-BP023602BO CSB-MP023602BO CSB-EP023602BO-B |
Recombinant Bovine Toll-like receptor 3 (TLR3), partial | Yeast E.coli Baculovirus Mammalian cell In Vivo Biotinylation in E.coli |
TLR3 Proteins for Mus musculus (Mouse)
| 產品貨號 | 產品名稱 | 來源 |
|---|---|---|
| CSB-YP023602MO CSB-EP023602MO CSB-BP023602MO CSB-MP023602MO CSB-EP023602MO-B |
Recombinant Mouse Toll-like receptor 3 (Tlr3), partial | Yeast E.coli Baculovirus Mammalian cell In Vivo Biotinylation in E.coli |
TLR3 Proteins for Boselaphus tragocamelus (Nilgai)
| 產品貨號 | 產品名稱 | 來源 |
|---|---|---|
| CSB-YP023602BUN CSB-EP023602BUN CSB-BP023602BUN CSB-MP023602BUN CSB-EP023602BUN-B |
Recombinant Boselaphus tragocamelus Toll-like receptor 3 (TLR3), partial | Yeast E.coli Baculovirus Mammalian cell In Vivo Biotinylation in E.coli |






