TFR2
TFR2,即轉鐵蛋白受體2,別名HFE3、TFRC2。它是一種單跨膜蛋白,屬于轉鐵蛋白受體樣家族的成員,主要在肝臟和腸道細胞中表達。TFR2的作用機制涉及調節細胞對結合轉鐵蛋白的鐵的攝取,可能參與鐵代謝、肝細胞功能和紅細胞分化。TFR2在鐵穩態調節中發揮重要作用,其表達水平不受細胞內鐵狀況的調節,且在肝細胞、紅系前體細胞、K562細胞和HepG2細胞中高水平表達。TFR2的突變可導致遺傳性血色病III型的發生,這表明它在鐵代謝中的重要性。TFR2還可能在紅系前體細胞的分化發育中發揮作用,是紅系前體細胞的一種分子標志。
熱銷產品
TFR2 Antibody (CSB-PA14729A0Rb)
驗證數據
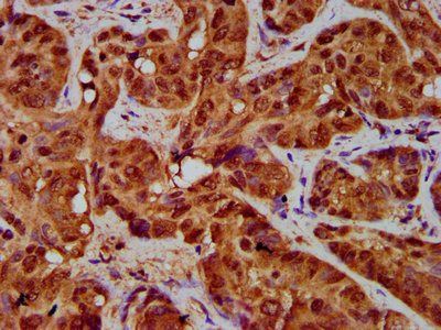
IHC image of CSB-PA14729A0Rb diluted at 1:200 and staining in paraffin-embedded human liver cancer performed on a Leica BondTM system. After dewaxing and hydration, antigen retrieval was mediated by high pressure in a citrate buffer (pH 6.0). Section was blocked with 10% normal goat serum 30min at RT. Then primary antibody (1% BSA) was incubated at 4°C overnight. The primary is detected by a biotinylated secondary antibody and visualized using an HRP conjugated SP system.
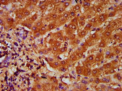
IHC image of CSB-PA14729A0Rb diluted at 1:200 and staining in paraffin-embedded human liver tissue performed on a Leica BondTM system. After dewaxing and hydration, antigen retrieval was mediated by high pressure in a citrate buffer (pH 6.0). Section was blocked with 10% normal goat serum 30min at RT. Then primary antibody (1% BSA) was incubated at 4°C overnight. The primary is detected by a biotinylated secondary antibody and visualized using an HRP conjugated SP system.
Immunofluorescence staining of MCF-7 cells with CSB-PA14729A0Rb at 1:66, counter-stained with DAPI. The cells were fixed in 4% formaldehyde, permeabilized using 0.2% Triton X-100 and blocked in 10% normal Goat Serum. The cells were then incubated with the antibody overnight at 4°C. The secondary antibody was Alexa Fluor 488-congugated AffiniPure Goat Anti-Rabbit IgG(H+L).
TFR2 Antibodies
TFR2 for Homo sapiens (Human)
| 產品貨號 | 產品名稱 | 種屬反應性 | 應用類型 |
|---|---|---|---|
| CSB-PA14729A0Rb | TFR2 Antibody | Human | ELISA, IHC, IF |
| CSB-PA14729B0Rb | TFR2 Antibody, HRP conjugated | Human | ELISA |
| CSB-PA14729C0Rb | TFR2 Antibody, FITC conjugated | Human | |
| CSB-PA14729D0Rb | TFR2 Antibody, Biotin conjugated | Human | ELISA |
TFR2 Proteins
TFR2 Proteins for Homo sapiens (Human)
| 產品貨號 | 產品名稱 | 來源 |
|---|---|---|
| CSB-YP891794HU CSB-EP891794HU CSB-BP891794HU CSB-EP891794HU-B |
Recombinant Human Transferrin receptor protein 2 (TFR2), partial | Yeast E.coli Baculovirus In Vivo Biotinylation in E.coli |






