SMOX
SMOX,全稱為精胺氧化酶,是一種參與多胺代謝的重要酶類。多胺是細胞內廣泛存在的聚陽離子烷基胺,包括精胺、亞精胺、腐胺和胍丁胺等,它們在細胞周期調節、清除活性氧、控制基因表達以及神經傳遞等方面發揮著重要作用。SMOX蛋白能夠催化精胺氧化為亞精胺,并產生少量過氧化氫。該蛋白的基因中存在多種轉錄變異體,其中一些在天然多胺底物上沒有顯示出顯著的氧化酶活性。不同同工酶具有獨特的生物化學特性和底物特異性,表明多胺代謝中存在額外的復雜層次。
SMOX蛋白與多種疾病的發生發展密切相關。例如,SMOX蛋白的活性異常可能與神經退行性疾病、心血管疾病和腫瘤等疾病相關。目前,針對SMOX蛋白相關疾病的治療研究正在積極開展中,包括開發新型藥物和基因療法等。例如,一些研究機構正在探索SMOX蛋白在神經退行性疾病中的作用,并嘗試開發針對SMOX蛋白的藥物,以改善患者的癥狀和提高生活質量。此外,SMOX蛋白在心血管疾病和腫瘤治療中的應用也備受關注,相關研究有望為這些疾病的治療提供新的思路和方法。
熱銷產品
SMOX Antibody (CSB-PA021844LA01HU)
驗證數據
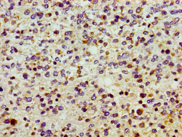
Immunohistochemistry of paraffin-embedded human glioma using CSB-PA021844LA01HU at dilution of 1:100
Immunofluorescent analysis of A549 cells using CSB-PA021844LA01HU at dilution of 1:100 and Alexa Fluor 488-congugated AffiniPure Goat Anti-Rabbit IgG(H+L)
SMOX Antibodies
SMOX for Homo sapiens (Human)
| 產品貨號 | 產品名稱 | 種屬反應性 | 應用類型 |
|---|---|---|---|
| CSB-PA021844GA01HU | SMOX Antibody | Human,Mouse,Rat | ELISA,WB,IHC |
| CSB-PA021844LA01HU | SMOX Antibody | Human | ELISA, IHC, IF |
| CSB-PA021844LB01HU | SMOX Antibody, HRP conjugated | Human | ELISA |
| CSB-PA021844LC01HU | SMOX Antibody, FITC conjugated | Human | |
| CSB-PA021844LD01HU | SMOX Antibody, Biotin conjugated | Human | ELISA |
SMOX Proteins
SMOX Proteins for Homo sapiens (Human)
| 產品貨號 | 產品名稱 | 來源 |
|---|---|---|
| CSB-YP021844HU CSB-EP021844HU CSB-BP021844HU CSB-MP021844HU CSB-EP021844HU-B |
Recombinant Human Spermine oxidase (SMOX) | Yeast E.coli Baculovirus Mammalian cell In Vivo Biotinylation in E.coli |






