SLC30A1
SLC30A1,全稱為溶質載體家族30成員1,常見別名包括ZNT1、ZRC1等。該蛋白屬于鋅轉運蛋白家族,主要負責鋅離子的跨膜轉運,維持細胞內鋅離子穩態。SLC30A1蛋白主要表達于細胞膜上,特別是在腸道、腎臟和胎盤等組織中,其功能是將細胞內過多的鋅離子轉運到細胞外,防止鋅離子在細胞內積累達到毒性水平。SLC30A1蛋白的突變可能導致鋅轉運功能異常,進而引發鋅代謝紊亂。例如,功能喪失性突變可能導致細胞內鋅積累,造成細胞毒性;而功能增強性突變則可能導致鋅外排過多,引起鋅缺乏。鋅代謝異常與多種疾病相關,包括腸病性肢端皮炎、糖尿病、神經退行性疾病和某些癌癥。研究表明,SLC30A1蛋白的過表達可能降低細胞內鋅水平,影響鋅依賴性酶的活性,進而干擾細胞生長和凋亡過程;而SLC30A1蛋白表達降低則可能導致鋅在細胞內積累,增加氧化應激和細胞損傷的風險。SLC30A1蛋白功能的異常被發現可能與多種腫瘤與疾病的發生發展具有關聯,因此靶向SLC30A1蛋白或具有重要的治療意義。
熱銷產品
SLC30A1 Antibody (CSB-PA733704ESR1HU)
驗證數據
Western blot
All lanes: SLC30A1 antibody at 3.75μg/ml
Lane 1: A549 whole cell lysate
Lane 2: HepG2 whole cell lysate
Secondary
Goat polyclonal to rabbit IgG at 1/10000 dilution
Predicted band size: 55 kDa
Observed band size: 55 kDa
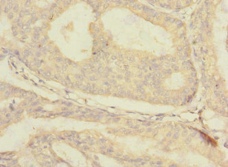
Immunohistochemistry of paraffin-embedded human endometrial cancer using CSB-PA733704ESR1HU at dilution of 1:100
SLC30A1 Antibodies
SLC30A1 for Homo sapiens (Human)
| 產品貨號 | 產品名稱 | 種屬反應性 | 應用類型 |
|---|---|---|---|
| CSB-PA100546 | SLC30A1 Antibody | Human | ELISA,WB |
| CSB-PA060118 | SLC30A1 Antibody | Human | WB, IHC, ELISA |
| CSB-PA733704ESR1HU | SLC30A1 Antibody | Human | ELISA, WB, IHC |
SLC30A1 Proteins
SLC30A1 Proteins for Homo sapiens (Human)
| 產品貨號 | 產品名稱 | 來源 |
|---|---|---|
| CSB-YP3518HU CSB-EP3518HU CSB-BP3518HU CSB-MP3518HU CSB-EP3518HU-B |
Recombinant Human Proton-coupled zinc antiporter SLC30A1 (SLC30A1), partial | Yeast E.coli Baculovirus Mammalian cell In Vivo Biotinylation in E.coli |






