SLC2A2
SLC2A2,即溶質載體家族2成員2,別名GLUT2。SLC2A2由人類SLC2A2基因編碼,該基因位于3號染色體的q26.1-q26.2區域。SLC2A2蛋白是一種質膜糖蛋白,主要在肝臟、胰島β細胞、腸道和腎臟上皮中表達。這種蛋白質介導了促進雙向葡萄糖轉運的過程,因其對葡萄糖的親和力較低,被認為是葡萄糖的感應器。SLC2A2的突變與包括Fanconi-Bickel綜合征和非胰島素依賴型糖尿病在內的疾病相關。SLC2A2在調節葡萄糖穩態中扮演著重要角色,參與腸道葡萄糖的攝取、腎臟的重吸收、胰島β細胞的感應,以及肝臟葡萄糖的攝取和釋放過程。
熱銷產品
SLC2A2 Recombinant Monoclonal Antibody (CSB-RA438622A0HU)
驗證數據
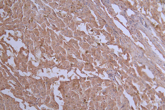
IHC image of CSB-RA438622A0HU diluted at 1:50 and staining in paraffin-embedded human liver cancer performed on a Leica BondTM system. After dewaxing and hydration, antigen retrieval was mediated by high pressure in a citrate buffer (pH 6.0). Section was blocked with 10% normal goat serum 30min at RT. Then primary antibody (1% BSA) was incubated at 4°C overnight. The primary is detected by a Goat anti-rabbit polymer IgG labeled by HRP and visualized using 0.20% DAB.
Immunofluorescence staining of HepG2 with CSB-RA438622A0HU at 1:25, counter-stained with DAPI. The cells were fixed in 4% formaldehyde and blocked in 10% normal Goat Serum. The cells were then incubated with the antibody overnight at 4°C. The secondary antibody was Alexa Fluor 495-congugated AffiniPure Goat Anti-Rabbit IgG(H+L).
Overlay Peak curve showing HepG2 cells surface stained with CSB-RA438622A0HU (red line) at 1:50. Then 10% normal goat serum to block non-specific protein-protein interactions followed by the antibody (1μg/1*106cells) for 45min at 4℃. The secondary antibody used was FITC-conjugated Goat Anti-rabbit IgG(H+L) at 1:200 dilution for 35min at 4℃.Control antibody (green line) was rabbit IgG (1μg/1*106cells) used under the same conditions. Acquisition of >10,000 events was performed.
SLC2A2 Antibodies
SLC2A2 for Homo sapiens (Human)
| 產品貨號 | 產品名稱 | 種屬反應性 | 應用類型 |
|---|---|---|---|
| CSB-PA054783 | SLC2A2 Antibody | Human | ELISA,IHC |
| CSB-PA13329A0Rb | SLC2A2 Antibody | Human | ELISA, IF |
| CSB-PA13329B0Rb | SLC2A2 Antibody, HRP conjugated | Human | ELISA |
| CSB-PA13329C0Rb | SLC2A2 Antibody, FITC conjugated | Human | |
| CSB-PA13329D0Rb | SLC2A2 Antibody, Biotin conjugated | Human | ELISA |
| CSB-RA438622A0HU | SLC2A2 Recombinant Monoclonal Antibody | Human | ELISA, IHC, IF, FC |
SLC2A2 Proteins
SLC2A2 Proteins for Rattus norvegicus (Rat)
| 產品貨號 | 產品名稱 | 來源 |
|---|---|---|
| CSB-YP021552RA CSB-EP021552RA CSB-BP021552RA CSB-MP021552RA CSB-EP021552RA-B |
Recombinant Rat Solute carrier family 2, facilitated glucose transporter member 2 (Slc2a2), partial | Yeast E.coli Baculovirus Mammalian cell In Vivo Biotinylation in E.coli |
SLC2A2 Proteins for Homo sapiens (Human)
| 產品貨號 | 產品名稱 | 來源 |
|---|---|---|
| CSB-YP021552HU CSB-EP021552HU CSB-BP021552HU CSB-MP021552HU CSB-EP021552HU-B |
Recombinant Human Solute carrier family 2, facilitated glucose transporter member 2 (SLC2A2), partial | Yeast E.coli Baculovirus Mammalian cell In Vivo Biotinylation in E.coli |
SLC2A2 Proteins for Mus musculus (Mouse)
| 產品貨號 | 產品名稱 | 來源 |
|---|---|---|
| CSB-YP021552MO CSB-EP021552MO CSB-BP021552MO CSB-MP021552MO CSB-EP021552MO-B |
Recombinant Mouse Solute carrier family 2, facilitated glucose transporter member 2 (Slc2a2), partial | Yeast E.coli Baculovirus Mammalian cell In Vivo Biotinylation in E.coli |
SLC2A2 Proteins for Bos taurus (Bovine)
| 產品貨號 | 產品名稱 | 來源 |
|---|---|---|
| CSB-YP021552BO CSB-EP021552BO CSB-BP021552BO CSB-MP021552BO CSB-EP021552BO-B |
Recombinant Bovine Solute carrier family 2, facilitated glucose transporter member 2 (SLC2A2), partial | Yeast E.coli Baculovirus Mammalian cell In Vivo Biotinylation in E.coli |
SLC2A2 Proteins for Sus scrofa (Pig)
| 產品貨號 | 產品名稱 | 來源 |
|---|---|---|
| CSB-YP021552PI1 CSB-EP021552PI1 CSB-BP021552PI1 CSB-MP021552PI1 CSB-EP021552PI1-B |
Recombinant Pig Solute carrier family 2, facilitated glucose transporter member 2 (SLC2A2), partial | Yeast E.coli Baculovirus Mammalian cell In Vivo Biotinylation in E.coli |
| CSB-CF021552PI | Recombinant Pig Solute carrier family 2, facilitated glucose transporter member 2 (SLC2A2) | in vitro E.coli expression system |
SLC2A2 Proteins for Gallus gallus (Chicken)
| 產品貨號 | 產品名稱 | 來源 |
|---|---|---|
| CSB-YP852662CH CSB-EP852662CH CSB-BP852662CH CSB-MP852662CH CSB-EP852662CH-B |
Recombinant Chicken Solute carrier family 2, facilitated glucose transporter member 2 (SLC2A2), partial | Yeast E.coli Baculovirus Mammalian cell In Vivo Biotinylation in E.coli |






