SLC25A5
SLC25A5,全稱為溶質載體家族25成員5(Solute Carrier Family 25 Member 5),也被稱為腺苷三磷酸轉運蛋白2(Adenine Nucleotide Translocator 2)。該蛋白主要存在于線粒體內膜,負責ADP和ATP在細胞質和線粒體基質之間的轉運,是能量代謝的關鍵環節。SLC25A5蛋白的表達受到多種因素的調控,其功能與細胞的能量狀態密切相關。研究表明,SLC25A5蛋白的表達水平與多種疾病的發生發展有關,如高血壓和短指癥(HTNB),以及結腸癌等。在HTNB中,SLC25A5基因的突變會導致線粒體功能異常,進而引發高血壓和骨骼發育異常。此外,SLC25A5蛋白的表達下調還與腫瘤細胞的生長和存活相關。
基于SLC25A5蛋白的功能和疾病關聯性,研究人員正在探索其作為藥物靶點的可能性,以期開發新的治療策略。目前,已有針對SLC25A5蛋白的藥物研發正在進行中,包括小分子抑制劑和基因治療等。這些研究有望為相關疾病的治療提供新的選擇。
熱銷產品
SLC25A5 Antibody (CSB-PA021518LA01HU)
驗證數據
Western Blot
Positive WB detected in: 293T whole cell lysate
All lanes: SLC25A5 antibody at 3.5μg/ml
Secondary
Goat polyclonal to rabbit IgG at 1/50000 dilution
Predicted band size: 33 kDa
Observed band size: 33 kDa
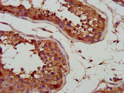
IHC image of CSB-PA021518LA01HU diluted at 1:700 and staining in paraffin-embedded human testis tissue performed on a Leica BondTM system. After dewaxing and hydration, antigen retrieval was mediated by high pressure in a citrate buffer (pH 6.0). Section was blocked with 10% normal goat serum 30min at RT. Then primary antibody (1% BSA) was incubated at 4°C overnight. The primary is detected by a biotinylated secondary antibody and visualized using an HRP conjugated SP system.
SLC25A5 Antibodies
SLC25A5 for Homo sapiens (Human)
| 產品貨號 | 產品名稱 | 種屬反應性 | 應用類型 |
|---|---|---|---|
| CSB-PA021518LA01HU | SLC25A5 Antibody | Human | ELISA, WB, IHC |
| CSB-PA021518LB01HU | SLC25A5 Antibody, HRP conjugated | Human | ELISA |
| CSB-PA021518LC01HU | SLC25A5 Antibody, FITC conjugated | Human |
SLC25A5 Proteins
SLC25A5 Proteins for Mus musculus (Mouse)
| 產品貨號 | 產品名稱 | 來源 |
|---|---|---|
| CSB-YP021518MO1 CSB-EP021518MO1 CSB-BP021518MO1 CSB-MP021518MO1 CSB-EP021518MO1-B |
Recombinant Mouse ADP/ATP translocase 2 (Slc25a5), partial | Yeast E.coli Baculovirus Mammalian cell In Vivo Biotinylation in E.coli |
| CSB-CF021518MO | Recombinant Mouse ADP/ATP translocase 2 (Slc25a5) | in vitro E.coli expression system |
SLC25A5 Proteins for Tachyglossus aculeatus aculeatus (Australian echidna)
| 產品貨號 | 產品名稱 | 來源 |
|---|---|---|
| CSB-YP021518TKU1 CSB-EP021518TKU1 CSB-BP021518TKU1 CSB-MP021518TKU1 CSB-EP021518TKU1-B |
Recombinant Tachyglossus aculeatus aculeatus ADP/ATP translocase 2 (SLC25A5), partial | Yeast E.coli Baculovirus Mammalian cell In Vivo Biotinylation in E.coli |
| CSB-CF021518TKU | Recombinant Tachyglossus aculeatus aculeatus ADP/ATP translocase 2 (SLC25A5) | in vitro E.coli expression system |
SLC25A5 Proteins for Homo sapiens (Human)
| 產品貨號 | 產品名稱 | 來源 |
|---|---|---|
| CSB-YP021518HU1 CSB-EP021518HU1 CSB-BP021518HU1 CSB-MP021518HU1 CSB-EP021518HU1-B |
Recombinant Human ADP/ATP translocase 2 (SLC25A5), partial | Yeast E.coli Baculovirus Mammalian cell In Vivo Biotinylation in E.coli |
| CSB-CF021518HU | Recombinant Human ADP/ATP translocase 2 (SLC25A5) | in vitro E.coli expression system |
SLC25A5 Proteins for Pongo abelii (Sumatran orangutan)
| 產品貨號 | 產品名稱 | 來源 |
|---|---|---|
| CSB-YP735671PYX1 CSB-EP735671PYX1 CSB-BP735671PYX1 CSB-MP735671PYX1 CSB-EP735671PYX1-B |
Recombinant Pongo abelii ADP/ATP translocase 2 (SLC25A5), partial | Yeast E.coli Baculovirus Mammalian cell In Vivo Biotinylation in E.coli |
| CSB-CF735671PYX | Recombinant Pongo abelii ADP/ATP translocase 2 (SLC25A5) | in vitro E.coli expression system |
SLC25A5 Proteins for Bos taurus (Bovine)
| 產品貨號 | 產品名稱 | 來源 |
|---|---|---|
| CSB-YP823367BO1 CSB-EP823367BO1 CSB-BP823367BO1 CSB-MP823367BO1 CSB-EP823367BO1-B |
Recombinant Bovine ADP/ATP translocase 2 (SLC25A5), partial | Yeast E.coli Baculovirus Mammalian cell In Vivo Biotinylation in E.coli |
| CSB-CF823367BO | Recombinant Bovine ADP/ATP translocase 2 (SLC25A5) | in vitro E.coli expression system |






