SIRT1
SIRT1,即細胞衰老相關蛋白1,別名Sirtuin 1、NAD依賴性去乙?;?等。SIRT1是一種由SIRT1基因編碼的蛋白質,屬于Sirtuin家族成員之一,主要在細胞核中發揮作用。它是一種依賴于煙酰胺腺嘌呤二核苷酸(NAD+)的去乙?;福ㄟ^去除蛋白質上的乙?;鶊F來調控多種細胞過程,包括細胞代謝、應激反應、細胞周期和衰老。SIRT1的作用機制涉及到對多種底物蛋白的去乙?;揎棧@些底物包括但不限于組蛋白、轉錄因子、DNA修復蛋白和信號傳導分子。SIRT1在生物學上的意義非常廣泛,它參與調節多種細胞生理過程和代謝途徑。SIRT1通過去乙酰化作用參與調控細胞的能量代謝,促進細胞對應激的適應性,保護細胞免受氧化損傷。此外,SIRT1還參與調節細胞周期和細胞衰老過程,影響細胞的增殖和分化。SIRT1的功能異常與多種疾病的發生發展有關,包括代謝性疾病、神經退行性疾病、心血管疾病和癌癥。因此,SIRT1是藥物開發和疾病治療中的一個潛在靶點,其激動劑和抑制劑的研究正在積極進行中。
熱銷產品
Recombinant Human NAD-dependent protein deacetylase sirtuin-1 (SIRT1) (CSB-EP822202HU)
驗證數據
(Tris-Glycine gel) Discontinuous SDS-PAGE (reduced) with 5% enrichment gel and 15% separation gel.
SIRT1 Recombinant Monoclonal Antibody (CSB-RA556800A0HU)
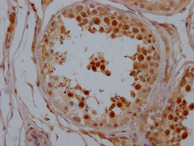
驗證數據
IHC image of CSB-RA556800A0HU diluted at 1:100 and staining in paraffin-embedded human testis tissue performed on a Leica BondTM system. After dewaxing and hydration, antigen retrieval was mediated by high pressure in a citrate buffer (pH 6.0). Section was blocked with 10% normal goat serum 30min at RT. Then primary antibody (1% BSA) was incubated at 4℃ overnight. The primary is detected by a Goat anti-rabbit IgG polymer labeled by HRP and visualized using 0.05% DAB.
Immunofluorescence staining of Hela Cells with CSB-RA556800A0HU at 1:50, counter-stained with DAPI. The cells were fixed in 4% formaldehyde, permeated by 0.2% TritonX-100, and blocked in 10% normal Goat Serum. The cells were then incubated with the antibody overnight at 4℃. Nuclear DNA was labeled in blue with DAPI. The secondary antibody was FITC-conjugated AffiniPure Goat Anti-Rabbit IgG (H+L).
SIRT1 Antibodies
SIRT1 for Homo sapiens (Human)
| 產品貨號 | 產品名稱 | 種屬反應性 | 應用類型 |
|---|---|---|---|
| CSB-PA021339GA01HU | SIRT1 Antibody | Human, Mouse | ELISA, WB, IHC, IF, IP |
| CSB-PA857953 | Phospho-SIRT1 (Ser47) Antibody | Human,Mouse | ELISA,WB |
| CSB-PA004095 | SIRT1 Antibody | Human,Mouse | WB, IHC, ELISA |
| CSB-PA008366 | Phospho-SIRT1 (S47) Antibody | Human,Mouse | WB, ELISA |
| CSB-PA252235 | SIRT1 Antibody | Human,Mouse | ELISA,WB |
| CSB-PA822202HA01HU | SIRT1 Antibody | Human | ELISA, IHC, IF |
| CSB-PA822202HB01HU | SIRT1 Antibody, HRP conjugated | Human | ELISA |
| CSB-PA822202HC01HU | SIRT1 Antibody, FITC conjugated | Human | |
| CSB-PA822202HD01HU | SIRT1 Antibody, Biotin conjugated | Human | ELISA |
| CSB-RA556800A0HU | SIRT1 Recombinant Monoclonal Antibody | Human | ELISA, IHC, IF |
SIRT1 Proteins
SIRT1 Proteins for Homo sapiens (Human)
| 產品貨號 | 產品名稱 | 來源 |
|---|---|---|
| CSB-YP822202HU CSB-BP822202HU CSB-EP822202HU-B |
Recombinant Human NAD-dependent protein deacetylase sirtuin-1 (SIRT1) | Yeast Baculovirus In Vivo Biotinylation in E.coli |
| CSB-EP822202HU | Recombinant Human NAD-dependent protein deacetylase sirtuin-1 (SIRT1) | E.coli |
| CSB-EP822202HUc7 | Recombinant Human NAD-dependent protein deacetylase sirtuin-1 (SIRT1) | E.coli |
| CSB-MP822202HU | Recombinant Human NAD-dependent protein deacetylase sirtuin-1 (SIRT1) | Mammalian cell |
SIRT1 Proteins for Mus musculus (Mouse)
| 產品貨號 | 產品名稱 | 來源 |
|---|---|---|
| CSB-YP846058MO CSB-EP846058MO CSB-BP846058MO CSB-MP846058MO CSB-EP846058MO-B |
Recombinant Mouse NAD-dependent protein deacetylase sirtuin-1 (Sirt1) | Yeast E.coli Baculovirus Mammalian cell In Vivo Biotinylation in E.coli |
SIRT1 ELISA Kit
SIRT1 ELISA Kit for Mus musculus (Mouse)
| 產品貨號 | 產品名稱 | 樣本類型 | 靈敏度 |
|---|---|---|---|
| CSB-E16187m | Mouse NAD-dependent deacetylase sirtuin-1(Sirt1)ELISA Kit | serum, plasma, tissue homogenates | 0.039 ng/mL |
SIRT1 ELISA Kit for Homo sapiens (Human)
| 產品貨號 | 產品名稱 | 樣本類型 | 靈敏度 |
|---|---|---|---|
| CSB-E15058h | Human NAD-dependent deacetylase sirtuin-1 (SIRT1/SIR2L1) ELISA kit | serum, plasma, cell culture supernates, tissue homogenates | 0.039 ng/mL |
| CSB-E15058h-IS | Human NAD-dependent deacetylase sirtuin-1 (SIRT1/SIR2L1) ELISA kit | serum, plasma, cell culture supernates, tissue homogenates | 0.156 ng/mL |






