SIGLEC6
SIGLEC6,也稱為唾液酸結合免疫球蛋白樣凝集素-6,是一種在免疫系統中發揮重要作用的蛋白。它有多種別名,如CD327、CD33L等。SIGLEC6蛋白主要參與細胞間的相互作用,特別是在免疫調節中發揮關鍵作用。目前,SIGLEC6蛋白與多種疾病相關,包括自身免疫性疾病和癌癥。在藥物研發方面,針對SIGLEC6的抗體藥物正在研發中,有望為相關疾病的治療提供新的策略。
熱銷產品
SIGLEC6 Antibody (CSB-PA021300LA01HU)
驗證數據
Western blot
All lanes: SIGLEC6 antibody at 6µg/ml
Lane 1: Human high value serum
Lane 2: A549 whole cell lysate
Lane 3: Caco-2 whole cell lysate
Secondary
Goat polyclonal to rabbit IgG at 1/10000 dilution
Predicted band size: 50, 39, 49, 38, 43, 45 kDa
Observed band size: 50 kDa
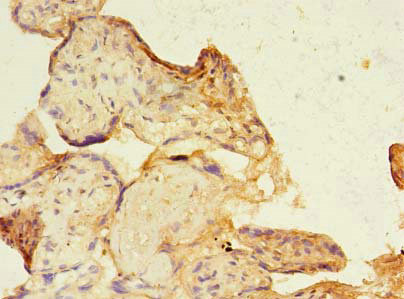
Immunohistochemistry of paraffin-embedded human placenta tissue using CSB-PA021300LA01HU at dilution of 1:100
SIGLEC6 Antibodies
SIGLEC6 for Homo sapiens (Human)
| 產品貨號 | 產品名稱 | 種屬反應性 | 應用類型 |
|---|---|---|---|
| CSB-PA021300GA01HU | SIGLEC6 Antibody | Human | ELISA,WB |
| CSB-PA984002 | SIGLEC6 Antibody | Human | ELISA,WB,IHC |
| CSB-PA244590 | SIGLEC6 Antibody | Human | ELISA,IHC |
| CSB-PA021300LA01HU | SIGLEC6 Antibody | Human | ELISA, WB, IHC |
| CSB-PA021300LD01HU | SIGLEC6 Antibody, Biotin conjugated | Human | ELISA |
| CSB-PA021300LC01HU | SIGLEC6 Antibody, FITC conjugated | Human |
SIGLEC6 Proteins
SIGLEC6 Proteins for Homo sapiens (Human)
| 產品貨號 | 產品名稱 | 來源 |
|---|---|---|
| CSB-YP021300HU1 CSB-EP021300HU1 CSB-BP021300HU1 CSB-MP021300HU1 CSB-EP021300HU1-B |
Recombinant Human Sialic acid-binding Ig-like lectin 6 (SIGLEC6), partial | Yeast E.coli Baculovirus Mammalian cell In Vivo Biotinylation in E.coli |
| CSB-CF021300HU | Recombinant Human Sialic acid-binding Ig-like lectin 6 (SIGLEC6) | in vitro E.coli expression system |






