SCARB2
SCARB2,即清道夫受體B類成員2,別名AMRF、EPM4、LGP85、CD36L2、HLGP85、LIMP-2、LIMPII、SR-BII等。SCARB2由人類SCARB2基因編碼,該基因位于4號染色體上。SCARB2是一種III型跨膜糖蛋白,主要位于溶酶體和內體的限制膜上。SCARB2參與膜運輸和內體/溶酶體腔室的重組,對于β-葡糖腦苷脂酶從內質網向溶酶體的轉運至關重要。SCARB2在多種生理和病理過程中發揮作用,包括參與細胞膜運輸過程、與手足口病的致病病毒如腸病毒71和柯薩奇病毒A16的感染相關,以及與自噬過程中溶酶體膽固醇的輸出有關。
熱銷產品
SCARB2 Antibody (CSB-PA619859LA01HU)
驗證數據
Western Blot
Positive WB detected in: HepG2 whole cell lysate, Mouse liver tissue
All lanes: SCARB2 antibody at 3µg/ml
Secondary
Goat polyclonal to rabbit IgG at 1/50000 dilution
Predicted band size: 55, 38 kDa
Observed band size: 55 kDa
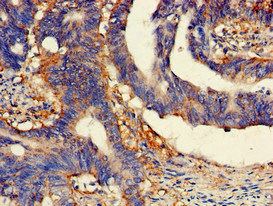
Immunohistochemistry of paraffin-embedded human colon cancer using CSB-PA619859LA01HU at dilution of 1:100
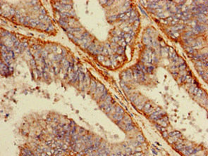
Immunohistochemistry of paraffin-embedded human endometrial cancer using CSB-PA619859LA01HU at dilution of 1:100
Immunofluorescent analysis of HepG2 cells using CSB-PA619859LA01HU at dilution of 1:100 and Alexa Fluor 488-congugated AffiniPure Goat Anti-Rabbit IgG(H+L)
SCARB2 Antibodies
SCARB2 for Homo sapiens (Human)
| 產品貨號 | 產品名稱 | 種屬反應性 | 應用類型 |
|---|---|---|---|
| CSB-PA619859LA01HU | SCARB2 Antibody | Human, Mouse | ELISA, WB, IHC, IF |
| CSB-PA619859LC01HU | SCARB2 Antibody, FITC conjugated | Human | |
| CSB-PA619859LD01HU | SCARB2 Antibody, Biotin conjugated | Human | ELISA |
SCARB2 Proteins
SCARB2 Proteins for Homo sapiens (Human)
| 產品貨號 | 產品名稱 | 來源 |
|---|---|---|
| CSB-YP619859HU CSB-EP619859HU CSB-BP619859HU CSB-MP619859HU CSB-EP619859HU-B |
Recombinant Human Lysosome membrane protein 2 (SCARB2), partial | Yeast E.coli Baculovirus Mammalian cell In Vivo Biotinylation in E.coli |






