S100A8
S100A8,全稱為鈣結合蛋白S100A8,是一種重要的多功能蛋白,屬于S100蛋白家族。該蛋白家族廣泛存在于人體組織中,參與多種生理和病理過程。S100A8蛋白也被稱為鈣衛蛋白A或L1輕鏈抗原,在炎癥和免疫反應中發揮著關鍵作用。它通常與S100A9蛋白形成異二聚體,即鈣衛蛋白,參與細胞骨架重排、花生四烯酸代謝等過程。S100A8蛋白的表達水平在炎癥反應中會顯著升高,并與多種炎癥性疾病密切相關,如類風濕性關節炎、炎癥性腸病、系統性紅斑狼瘡和銀屑病等。此外,S100A8蛋白還與某些癌癥的發生發展有關,如腎細胞癌、黑色素瘤和乳腺癌等。目前,針對S100A8蛋白的藥物研發主要集中在抗炎和抗癌領域。例如,有研究開發出S100A8/A9蛋白抑制劑,如Tepotinib和Unc0631,用于治療炎癥性疾病和癌癥。此外,還有研究探索S100A8蛋白在炎癥和癌癥中的作用機制,以期為開發新的治療藥物提供更多線索。
熱銷產品
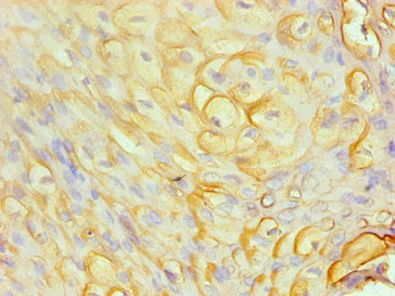
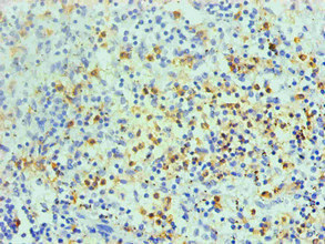
S100A8 Monoclonal Antibody (CSB-MA0206411A0m)
驗證數據
Immunohistochemical of paraffin-embedded human cervical cancer using CSB-MA0206411A0m at dilution of 1:200
Immunohistochemical of paraffin-embedded human spleen using CSB-MA0206411A0m at dilution of 1:200
Human S100 calcium binding protein A8/calgranulin A,S100A8 ELISA Kit (CSB-E11833h)
驗證數據
貨號:CSB-E11833h
規格:96T/48T
靈敏度:0.31 ng/mL
檢測范圍:1.25 ng/mL-80 ng/mL
These standard curves are provided for demonstration only. A standard curve should be generated for each set of samples assayed.
S100A8 Antibodies
S100A8 for Homo sapiens (Human)
| 產品貨號 | 產品名稱 | 種屬反應性 | 應用類型 |
|---|---|---|---|
| CSB-PA020641HA01HU | S100A8 Antibody | Human | ELISA, IHC |
| CSB-PA020641HB01HU | S100A8 Antibody, HRP conjugated | Human | ELISA |
| CSB-PA020641HD01HU | S100A8 Antibody, Biotin conjugated | Human | ELISA |
| CSB-MA0206411A0m | S100A8 Monoclonal Antibody | Human | ELISA,IHC |
| CSB-PA020641GA01HU | S100A8 Antibody | Human,Mouse,Rat | ELISA,WB,IHC |
S100A8 for Mus musculus (Mouse)
| 產品貨號 | 產品名稱 | 種屬反應性 | 應用類型 |
|---|---|---|---|
| CSB-PA020641DA01MO | S100a8 Antibody | Mouse | ELISA, WB |
| CSB-PA020641DC01MO | S100a8 Antibody, FITC conjugated | Mouse | |
| CSB-PA020641DD01MO | S100a8 Antibody, Biotin conjugated | Mouse | ELISA |
| CSB-PA020641HA01MO | S100a8 Antibody | Mouse | ELISA |
S100A8 for Rattus norvegicus (Rat)
| 產品貨號 | 產品名稱 | 種屬反應性 | 應用類型 |
|---|---|---|---|
| CSB-PA020641LA01RA | S100a8 Antibody | Rat | ELISA, WB |
| CSB-PA020641LD01RA | S100a8 Antibody, Biotin conjugated | Rat | ELISA |
S100A8 Proteins
S100A8 Proteins for Mus musculus (Mouse)
| 產品貨號 | 產品名稱 | 來源 |
|---|---|---|
| CSB-YP020641MO | Recombinant Mouse Protein S100-A8 (S100a8) | Yeast |
| CSB-EP020641MO | Recombinant Mouse Protein S100-A8 (S100a8) | E.coli |
| CSB-BP020641MO CSB-MP020641MO CSB-EP020641MO-B |
Recombinant Mouse Protein S100-A8 (S100a8) | Baculovirus Mammalian cell In Vivo Biotinylation in E.coli |
| CSB-EP020641MOe0 | Recombinant Mouse Protein S100-A8 (S100a8) | E.coli |
S100A8 Proteins for Bos taurus (Bovine)
| 產品貨號 | 產品名稱 | 來源 |
|---|---|---|
| CSB-YP020641BO CSB-EP020641BO CSB-BP020641BO CSB-MP020641BO CSB-EP020641BO-B |
Recombinant Bovine Protein S100-A8 (S100A8) | Yeast E.coli Baculovirus Mammalian cell In Vivo Biotinylation in E.coli |
S100A8 Proteins for Rattus norvegicus (Rat)
| 產品貨號 | 產品名稱 | 來源 |
|---|---|---|
| CSB-YP020641RA | Recombinant Rat Protein S100-A8 (S100a8) | Yeast |
| CSB-EP020641RA | Recombinant Rat Protein S100-A8 (S100a8) | E.coli |
| CSB-BP020641RA CSB-MP020641RA CSB-EP020641RA-B |
Recombinant Rat Protein S100-A8 (S100a8) | Baculovirus Mammalian cell In Vivo Biotinylation in E.coli |
S100A8 Proteins for Homo sapiens (Human)
| 產品貨號 | 產品名稱 | 來源 |
|---|---|---|
| CSB-YP020641HU CSB-EP020641HU CSB-BP020641HU CSB-MP020641HU CSB-EP020641HU-B |
Recombinant Human Protein S100-A8 (S100A8) | Yeast E.coli Baculovirus Mammalian cell In Vivo Biotinylation in E.coli |
S100A8 ELISA Kit
S100A8 ELISA Kit for Homo sapiens (Human)
| 產品貨號 | 產品名稱 | 樣本類型 | 靈敏度 |
|---|---|---|---|
| CSB-E11833h | Human S100 calcium binding protein A8/calgranulin A,S100A8 ELISA Kit | serum, plasma, tissue homogenates | 0.31 ng/mL |
S100A8 ELISA Kit for Mus musculus (Mouse)
| 產品貨號 | 產品名稱 | 樣本類型 | 靈敏度 |
|---|---|---|---|
| CSB-EL020641MO | Mouse S100 calcium binding protein A8 (S100A8) ELISA kit | serum, plasma, tissue homogenates. | 2.7 ng/ml. |
S100A8 ELISA Kit for Rattus norvegicus (Rat)
| 產品貨號 | 產品名稱 | 樣本類型 | 靈敏度 |
|---|---|---|---|
| CSB-EL020641RA | Rat Protein S100-A8(S100A8) ELISA kit | serum, plasma, tissue homogenates | 0.78 ng/mL |






