RELN
RELN,全稱為Reelin,是一種細胞外基質糖蛋白,在大腦皮層和小腦神經元的分層組織中發揮著關鍵作用。它參與神經元的微管功能和神經元遷移,對神經系統的發育和功能至關重要。Reelin蛋白通過與其受體VLDLR和LRP8結合,在神經細胞膜上發揮作用,進而影響神經元的遷移和皮質結構的形成。研究發現,Reelin蛋白的表達水平與多種神經發育性疾病相關,如孤獨癥、無腦回畸形和顳葉外癲癇等。在孤獨癥患者中,Reelin蛋白的表達水平顯著降低,可能與語言發育障礙有關。此外,Reelin蛋白還與阿爾茨海默病等神經退行性疾病的發生發展相關。目前,針對Reelin蛋白的藥物研發主要集中在治療孤獨癥和阿爾茨海默病等方面,例如通過開發Reelin蛋白拮抗劑來調節其表達水平,以期改善患者的癥狀。
熱銷產品
Recombinant Human Reelin (RELN), partial (CSB-EP019557HU)
驗證數據
(Tris-Glycine gel) Discontinuous SDS-PAGE (reduced) with 5% enrichment gel and 15% separation gel.
RELN Antibody (CSB-PA019557LA01HU)
驗證數據
Immunohistochemistry of paraffin-embedded mouse liver tissue using CSB-PA019557LA01HU at dilution of 1:100
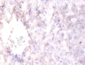
IHC image of CSB-PA019557LA01HU diluted at 1:200 and staining in paraffin-embedded human brain tissue performed on a Leica BondTM system. After dewaxing and hydration, antigen retrieval was mediated by high pressure in a citrate buffer (pH 6.0). Section was blocked with 10% normal goat serum 30min at RT. Then primary antibody (1% BSA) was incubated at 4°C overnight. The primary is detected by a biotinylated secondary antibody and visualized using an HRP conjugated SP system.
Human Reelin(RELN) ELISA kit (CSB-EL019557HU)
驗證數據
貨號:CSB-EL019557HU
規格:96T/48T
靈敏度:0.009 ng/ml
檢測范圍:0.009 ng/ml - 7 ng/ml
These standard curves are provided for demonstration only. A standard curve should be generated for each set of samples assayed.
RELN Antibodies
RELN for Homo sapiens (Human)
| 產品貨號 | 產品名稱 | 種屬反應性 | 應用類型 |
|---|---|---|---|
| CSB-PA019557LC01HU | RELN Antibody, FITC conjugated | Human | |
| CSB-PA019557LA01HU | RELN Antibody | Human | ELISA, IHC |
| CSB-PA019557LD01HU | RELN Antibody, Biotin conjugated | Human | ELISA |
| CSB-PA019557LB01HU | RELN Antibody, HRP conjugated | Human | ELISA |
RELN Proteins
RELN Proteins for Homo sapiens (Human)
| 產品貨號 | 產品名稱 | 來源 |
|---|---|---|
| CSB-YP019557HU | Recombinant Human Reelin (RELN), partial | Yeast |
| CSB-EP019557HU | Recombinant Human Reelin (RELN), partial | E.coli |
| CSB-BP019557HU CSB-MP019557HU CSB-EP019557HU-B |
Recombinant Human Reelin (RELN), partial | Baculovirus Mammalian cell In Vivo Biotinylation in E.coli |
RELN Proteins for Rattus norvegicus (Rat)
| 產品貨號 | 產品名稱 | 來源 |
|---|---|---|
| CSB-YP019557RA CSB-EP019557RA CSB-BP019557RA CSB-MP019557RA CSB-EP019557RA-B |
Recombinant Rat Reelin (Reln), partial | Yeast E.coli Baculovirus Mammalian cell In Vivo Biotinylation in E.coli |
RELN Proteins for Gallus gallus (Chicken)
| 產品貨號 | 產品名稱 | 來源 |
|---|---|---|
| CSB-YP019557CH CSB-EP019557CH CSB-BP019557CH CSB-MP019557CH CSB-EP019557CH-B |
Recombinant Chicken Reelin (RELN), partial | Yeast E.coli Baculovirus Mammalian cell In Vivo Biotinylation in E.coli |
RELN Proteins for Mus musculus (Mouse)
| 產品貨號 | 產品名稱 | 來源 |
|---|---|---|
| CSB-YP019557MO CSB-EP019557MO CSB-BP019557MO CSB-MP019557MO CSB-EP019557MO-B |
Recombinant Mouse Reelin (Reln), partial | Yeast E.coli Baculovirus Mammalian cell In Vivo Biotinylation in E.coli |
RELN Proteins for Bos taurus (Bovine)
| 產品貨號 | 產品名稱 | 來源 |
|---|---|---|
| CSB-YP019557BO CSB-EP019557BO CSB-BP019557BO CSB-MP019557BO CSB-EP019557BO-B |
Recombinant Bovine Reelin (RELN) | Yeast E.coli Baculovirus Mammalian cell In Vivo Biotinylation in E.coli |
RELN ELISA Kit
RELN ELISA Kit for Homo sapiens (Human)
| 產品貨號 | 產品名稱 | 樣本類型 | 靈敏度 |
|---|---|---|---|
| CSB-EL019557HU | Human Reelin(RELN) ELISA kit | serum, plasma, tissue homogenates | 0.009 ng/ml |
RELN ELISA Kit for Mus musculus (Mouse)
| 產品貨號 | 產品名稱 | 樣本類型 | 靈敏度 |
|---|---|---|---|
| CSB-EL019557MO | Mouse Reelin(RELN) ELISA kit | serum, plasma, tissue homogenates | 1.56 pg/mL |






