RBBP7
RBBP7,全稱為RB結合蛋白7(Retinoblastoma-binding protein 7),是一種廣泛表達的核蛋白,屬于WD重復蛋白的高度保守亞家族。該蛋白存在于多種蛋白質復合物中,包括組蛋白脫乙酰酶復合物和參與染色質組裝的蛋白質復合物。RBBP7蛋白能夠與BRCA1腫瘤抑制基因相互作用,并在細胞增殖和分化的調節中發揮重要作用。該蛋白有兩個轉錄本變體,編碼不同的亞型。RBBP7蛋白與多種癌癥的發生和發展密切相關,如乳腺癌、卵巢癌和白血病等。研究表明,RBBP7蛋白在乳腺癌組織中過表達,與不良臨床結局相關,可能是一個重要的生物標志物。此外,RBBP7蛋白還與干性相關,能夠促進腫瘤細胞的增殖、遷移和侵襲能力。針對RBBP7蛋白的藥物研發正在積極進行中,例如開發LSD1特異性抑制劑等,以期為癌癥治療提供新的靶點和策略。
熱銷產品
Recombinant Human Histone-binding protein RBBP7 (RBBP7) (CSB-EP621959HU)
驗證數據
(Tris-Glycine gel) Discontinuous SDS-PAGE (reduced) with 5% enrichment gel and 15% separation gel.
RBBP7 Antibody (CSB-PA621959ESR2HU)
驗證數據
Western blot
All lanes: Histone-binding protein RBBP7 antibody at 10μg/ml
Lane 1: A431 whole cell lysate
Lane 2: NIH/3T3 whole cell lysate
Lane 3: HepG2 whole cell lysate
Secondary
Goat polyclonal to rabbit IgG at 1/10000 dilution
Predicted band size: 48, 53 kDa
Observed band size: 48 kDa
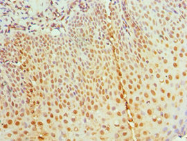
Immunohistochemistry of paraffin-embedded human endometrial cancer using CSB-PA621959ESR2HU at dilution of 1:100
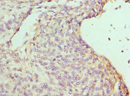
Immunohistochemistry of paraffin-embedded human tonsil tissue using CSB-PA621959ESR2HU at dilution of 1:100
RBBP7 Antibodies
RBBP7 for Homo sapiens (Human)
| 產品貨號 | 產品名稱 | 種屬反應性 | 應用類型 |
|---|---|---|---|
| CSB-PA019392GA01HU | RBBP7 Antibody | Human,Mouse,Rat | ELISA,WB,IHC |
| CSB-PA621959ESR2HU | RBBP7 Antibody | Human | ELISA, WB, IHC |
| CSB-PA621959LA01HU | RBBP7 Antibody | Human | ELISA, WB |
| CSB-PA621959LB01HU | RBBP7 Antibody, HRP conjugated | Human | ELISA |
RBBP7 Proteins
RBBP7 Proteins for Homo sapiens (Human)
| 產品貨號 | 產品名稱 | 來源 |
|---|---|---|
| CSB-YP621959HU CSB-BP621959HU CSB-MP621959HU CSB-EP621959HU-B |
Recombinant Human Histone-binding protein RBBP7 (RBBP7) | Yeast Baculovirus Mammalian cell In Vivo Biotinylation in E.coli |
| CSB-EP621959HU | Recombinant Human Histone-binding protein RBBP7 (RBBP7) | E.coli |






