QSOX1
QSOX1,全稱為Quiescin Sulfhydryl Oxidase 1,常見別名包括thiol oxidase 1。該蛋白在多種組織中廣泛表達,尤其在胰腺、乳腺和免疫細胞等分泌旺盛的細胞中活性較高。QSOX1參與蛋白質的正確折疊,幫助新生蛋白質形成正確的二硫鍵結構,維持蛋白質的穩定性和功能。此外,QSOX1還涉及細胞外基質的重塑、細胞遷移和粘附等過程。
QSOX1的異常表達與多種疾病相關,包括癌癥、神經退行性疾病和纖維化疾病。在腫瘤中,QSOX1常出現過表達,促進腫瘤細胞的侵襲和轉移。QSOX1的表達水平異常也與某些癌癥的耐藥性相關。相反,QSOX1表達降低可能導致蛋白質折疊異常,引發內質網應激,甚至細胞凋亡。QSOX1的突變可能影響其酶活性,導致二硫鍵形成障礙,進而影響依賴其功能的蛋白質的穩定性。QSOX1在維持蛋白質穩態和細胞功能中起關鍵作用,其表達水平的異常與多種病理過程密切相關,使其成為潛在的疾病治療靶點。目前,針對QSOX1的藥物研發正在積極進行中,以期找到治療癌癥、神經退行性疾病等疾病的新方法。
熱銷產品
Recombinant Human Sulfhydryl oxidase 1 (QSOX1), partial (CSB-EP019144HU1)
驗證數據
(Tris-Glycine gel) Discontinuous SDS-PAGE (reduced) with 5% enrichment gel and 15% separation gel.
QSOX1 Antibody (CSB-PA019144LA01HU)
驗證數據
Western Blot
Positive WB detected in: Hela whole cell lysate, Rat heart tissue
All lanes: QSOX1 antibody at 5.6μg/ml
Secondary
Goat polyclonal to rabbit IgG at 1/50000 dilution
Predicted band size: 83 kDa
Observed band size: 83 kDa
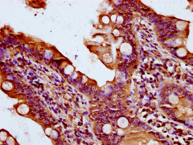
IHC image of CSB-PA019144LA01HU diluted at 1:400 and staining in paraffin-embedded human small intestine tissue performed on a Leica BondTM system. After dewaxing and hydration, antigen retrieval was mediated by high pressure in a citrate buffer (pH 6.0). Section was blocked with 10% normal goat serum 30min at RT. Then primary antibody (1% BSA) was incubated at 4°C overnight. The primary is detected by a biotinylated secondary antibody and visualized using an HRP conjugated SP system.
IHC image of CSB-PA019144LA01HU diluted at 1:400 and staining in paraffin-embedded human endometrial cancer performed on a Leica BondTM system. After dewaxing and hydration, antigen retrieval was mediated by high pressure in a citrate buffer (pH 6.0). Section was blocked with 10% normal goat serum 30min at RT. Then primary antibody (1% BSA) was incubated at 4°C overnight. The primary is detected by a biotinylated secondary antibody and visualized using an HRP conjugated SP system.
Human Sulfhydryl oxidase 1(QSOX1) ELISA kit (CSB-EL019144HU)
驗證數據
貨號:CSB-EL019144HU
規格:96T/48T
靈敏度:3.9 pg/mL
檢測范圍:15.6 pg/mL-1000 pg/mL
These standard curves are provided for demonstration only. A standard curve should be generated for each set of samples assayed.
QSOX1 Antibodies
QSOX1 for Homo sapiens (Human)
| 產品貨號 | 產品名稱 | 種屬反應性 | 應用類型 |
|---|---|---|---|
| CSB-PA019144GA01HU | QSOX1 Antibody | Human,Mouse,Rat | ELISA,WB |
| CSB-PA019144LA01HU | QSOX1 Antibody | Human, Rat | ELISA, WB, IHC |
| CSB-PA019144LB01HU | QSOX1 Antibody, HRP conjugated | Human | ELISA |
| CSB-PA019144LC01HU | QSOX1 Antibody, FITC conjugated | Human | |
| CSB-PA019144LD01HU | QSOX1 Antibody, Biotin conjugated | Human | ELISA |
QSOX1 Proteins
QSOX1 Proteins for Homo sapiens (Human)
| 產品貨號 | 產品名稱 | 來源 |
|---|---|---|
| CSB-YP019144HU1 CSB-BP019144HU1 CSB-MP019144HU1 CSB-EP019144HU1-B |
Recombinant Human Sulfhydryl oxidase 1 (QSOX1), partial | Yeast Baculovirus Mammalian cell In Vivo Biotinylation in E.coli |
| CSB-CF019144HU | Recombinant Human Sulfhydryl oxidase 1 (QSOX1) | in vitro E.coli expression system |
| CSB-EP019144HU1 | Recombinant Human Sulfhydryl oxidase 1 (QSOX1), partial | E.coli |
QSOX1 ELISA Kit
QSOX1 ELISA Kit for Homo sapiens (Human)
| 產品貨號 | 產品名稱 | 樣本類型 | 靈敏度 |
|---|---|---|---|
| CSB-EL019144HU | Human Sulfhydryl oxidase 1(QSOX1) ELISA kit | serum, plasma, cell culture supernates, tissue homogenates | 3.9 pg/mL |






