PYY
PYY,即肽YY,別名PYY3-36(指其C末端的36個氨基酸片段)。它是一種由腸道L細胞分泌的多肽激素,屬于胰高血糖素樣肽(GLP)家族成員,與GLP-1具有高度同源性。PYY在人體中由PYY基因編碼,主要在腸道內分泌細胞產生,尤其是回腸和結腸。PYY的作用機制主要通過與其特異性G蛋白偶聯受體NPY Y2受體(Y2R)和NPY Y4受體(Y4R)結合來發揮作用。PYY3-36片段是PYY的活性形式,它在腸道分泌后進入血液循環,通過與Y2R結合,減緩胃排空速度,抑制食欲,從而減少食物攝入。此外,PYY還能通過影響腸道運動和分泌,參與調節腸道功能。PYY在生物學上的意義非常廣泛,它在能量平衡、體重調節、胰島素分泌和腸道穩態中發揮重要作用。PYY通過減緩胃排空,增強飽腹感,有助于減少食物攝入和控制體重。在糖尿病治療中,PYY3-36通過促進胰島素和抑制胰高血糖素的分泌,有助于改善血糖控制。此外,PYY還參與調節腸道屏障功能和炎癥反應,對腸道健康具有保護作用。因此,PYY是代謝和消化系統研究中的一個重要分子,也是治療肥胖癥和糖尿病的潛在靶點。
熱銷產品
Recombinant Human Peptide YY (PYY), partial (CSB-YP019128HU1)
驗證數據
(Tris-Glycine gel) Discontinuous SDS-PAGE (reduced) with 5% enrichment gel and 15% separation gel.
PYY Antibody (CSB-PA12214A0Rb)
驗證數據
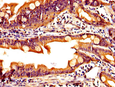
IHC image of CSB-PA12214A0Rb diluted at 1:200 and staining in paraffin-embedded human small intestine tissue performed on a Leica BondTM system. After dewaxing and hydration, antigen retrieval was mediated by high pressure in a citrate buffer (pH 6.0). Section was blocked with 10% normal goat serum 30min at RT. Then primary antibody (1% BSA) was incubated at 4°C overnight. The primary is detected by a biotinylated secondary antibody and visualized using an HRP conjugated SP system.
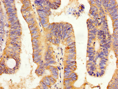
IHC image of CSB-PA12214A0Rb diluted at 1:200 and staining in paraffin-embedded human colon cancer performed on a Leica BondTM system. After dewaxing and hydration, antigen retrieval was mediated by high pressure in a citrate buffer (pH 6.0). Section was blocked with 10% normal goat serum 30min at RT. Then primary antibody (1% BSA) was incubated at 4°C overnight. The primary is detected by a biotinylated secondary antibody and visualized using an HRP conjugated SP system.
Rat Polypeptide YY(PYY)ELISA Kit (CSB-E13432r)
驗證數據
貨號:CSB-E13432r
規格:96T/48T
靈敏度:1.95 pg/mL
檢測范圍:7.8 pg/mL-500 pg/mL
These standard curves are provided for demonstration only. A standard curve should be generated for each set of samples assayed.
PYY Antibodies
PYY for Homo sapiens (Human)
| 產品貨號 | 產品名稱 | 種屬反應性 | 應用類型 |
|---|---|---|---|
| CSB-PA12214A0Rb | PYY Antibody | Human | ELISA, IHC |
| CSB-PA12214B0Rb | PYY Antibody, HRP conjugated | Human | ELISA |
| CSB-PA274876 | PYY Antibody | Human,Mouse,Rat | ELISA,IHC |
| CSB-PA056057 | PYY Antibody | Human,Mouse,Rat | ELISA,IHC |
| CSB-PA831475 | PYY Antibody | Human,Mouse,Rat | ELISA,WB |
PYY Proteins
PYY Proteins for Homo sapiens (Human)
| 產品貨號 | 產品名稱 | 來源 |
|---|---|---|
| CSB-YP019128HU CSB-EP019128HU CSB-BP019128HU CSB-MP019128HU CSB-EP019128HU-B |
Recombinant Human Peptide YY (PYY), partial | Yeast E.coli Baculovirus Mammalian cell In Vivo Biotinylation in E.coli |
| CSB-EP019128HU1 | Recombinant Human Peptide YY protein (PYY), partial | E.coli |
| CSB-EP019128HU1a0 | Recombinant Human Peptide YY protein (PYY), partial | E.coli |
| CSB-YP019128HU1 | Recombinant Human Peptide YY (PYY), partial | Yeast |
PYY ELISA Kit
PYY ELISA Kit for Homo sapiens (Human)
| 產品貨號 | 產品名稱 | 樣本類型 | 靈敏度 |
|---|---|---|---|
| CSB-E09009h | Human Peptide YY ELISA Kit | serum, plasma, urine, tissue homogenates | 15.6 pg/mL |






