PTPN1
PTPN1,即蛋白酪氨酸磷酸酶1,別名PTP1B、PTPL1等。它是一種由PTPN1基因編碼的蛋白質,屬于蛋白酪氨酸磷酸酶家族成員,在多種組織中表達。PTPN1的作用機制涉及去除蛋白質酪氨酸殘基上的磷酸基團,從而調節多種信號通路,包括胰島素信號通路、免疫細胞受體信號通路等。PTPN1參與了細胞的多種生理過程,包括細胞生長、分化、遷移、凋亡和代謝等。PTPN1的功能異常與多種疾病有關,如糖尿病、肥胖、癌癥和自身免疫性疾病,是細胞生物學和疾病治療研究中的一個重要分子靶點。
熱銷產品
驗證數據
(Tris-Glycine gel) Discontinuous SDS-PAGE (reduced) with 5% enrichment gel and 15% separation gel.
PTPN1 Recombinant Monoclonal Antibody (CSB-RA272100A0HU)
驗證數據
Western Blot
Positive WB detected in: PC-3 whole cell lysate, THP-1 whole cell lysate, Hela whole cell lysate, Jurkat whole cell lysate, K562 whole cell lysate, U87 whole cell lysate
All lanes: PTPN1 antibody at 1:2000
Secondary
Goat polyclonal to rabbit IgG at 1/50000 dilution
Predicted band size: 50 kDa
Observed band size: 50 kDa
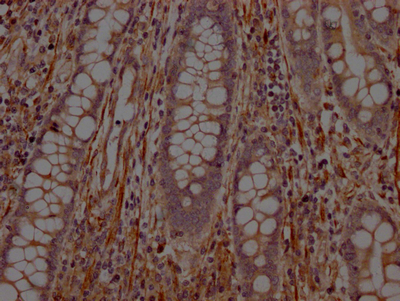
IHC image of CSB-RA272100A0HU diluted at 1:100 and staining in paraffin-embedded human colon cancer performed on a Leica BondTM system. After dewaxing and hydration, antigen retrieval was mediated by high pressure in a citrate buffer (pH 6.0). Section was blocked with 10% normal goat serum 30min at RT. Then primary antibody (1% BSA) was incubated at 4℃ overnight. The primary is detected by a Goat anti-rabbit IgG polymer labeled by HRP and visualized using 0.05% DAB.
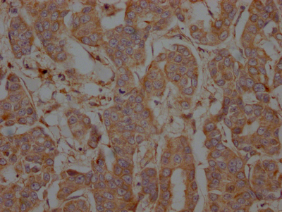
IHC image of CSB-RA272100A0HU diluted at 1:100 and staining in paraffin-embedded human breast cancer performed on a Leica BondTM system. After dewaxing and hydration, antigen retrieval was mediated by high pressure in a citrate buffer (pH 6.0). Section was blocked with 10% normal goat serum 30min at RT. Then primary antibody (1% BSA) was incubated at 4℃ overnight. The primary is detected by a Goat anti-rabbit IgG polymer labeled by HRP and visualized using 0.05% DAB.
PTPN1 Antibodies
PTPN1 for Homo sapiens (Human)
| 產品貨號 | 產品名稱 | 種屬反應性 | 應用類型 |
|---|---|---|---|
| CSB-PA019024GA01HU | PTPN1 Antibody | Human,Mouse,Rat | ELISA,WB,IHC |
| CSB-PA019024DSR1HU | PTPN1 Antibody | Human | ELISA, WB |
| CSB-PA129081 | Phospho-PTPN1 (Ser50) Antibody | Human,Mouse,Rat,Monkey | ELISA,WB |
| CSB-PA003883 | PTPN1 Antibody | Human,Mouse,Rat,Monkey | WB, IHC, ELISA |
| CSB-PA040100 | Phospho-PTPN1 (S50) Antibody | Human,Mouse,Rat,Monkey | WB, IHC, ELISA |
| CSB-RA272100A0HU | PTPN1 Recombinant Monoclonal Antibody | Human | ELISA, WB, IHC |
PTPN1 Proteins
PTPN1 Proteins for Rattus norvegicus (Rat)
| 產品貨號 | 產品名稱 | 來源 |
|---|---|---|
| CSB-YP019024RA CSB-EP019024RA CSB-BP019024RA CSB-MP019024RA CSB-EP019024RA-B |
Recombinant Rat Tyrosine-protein phosphatase non-receptor type 1 (Ptpn1) | Yeast E.coli Baculovirus Mammalian cell In Vivo Biotinylation in E.coli |
PTPN1 Proteins for Homo sapiens (Human)
| 產品貨號 | 產品名稱 | 來源 |
|---|---|---|
| CSB-YP019024HU CSB-EP019024HU CSB-BP019024HU CSB-MP019024HU CSB-EP019024HU-B |
Recombinant Human Tyrosine-protein phosphatase non-receptor type 1 (PTPN1) | Yeast E.coli Baculovirus Mammalian cell In Vivo Biotinylation in E.coli |
| CSB-EP019024HU1 | Recombinant Human Tyrosine-protein phosphatase non-receptor type 1 (PTPN1), partial | E.coli |
PTPN1 Proteins for Mus musculus (Mouse)
| 產品貨號 | 產品名稱 | 來源 |
|---|---|---|
| CSB-YP019024MO CSB-EP019024MO CSB-BP019024MO CSB-MP019024MO CSB-EP019024MO-B |
Recombinant Mouse Tyrosine-protein phosphatase non-receptor type 1 (Ptpn1) | Yeast E.coli Baculovirus Mammalian cell In Vivo Biotinylation in E.coli |
PTPN1 Proteins for Gallus gallus (Chicken)
| 產品貨號 | 產品名稱 | 來源 |
|---|---|---|
| CSB-YP019024CH CSB-EP019024CH CSB-BP019024CH CSB-MP019024CH CSB-EP019024CH-B |
Recombinant Chicken Tyrosine-protein phosphatase non-receptor type 1 (PTPN1) | Yeast E.coli Baculovirus Mammalian cell In Vivo Biotinylation in E.coli |






