PTDSS1
PTDSS1(磷脂酰絲氨酸合成酶1)是細胞內磷脂代謝的關鍵酶,也被稱為PSS1或PTDSS。該蛋白通過催化絲氨酸與CDP-二酰基甘油的結合反應,在內質網中合成磷脂酰絲氨酸(PS),后者是細胞膜的重要組分。PS不僅參與膜結構的動態平衡,還在凋亡細胞表面暴露時觸發免疫清除信號,并與凝血因子活化、突觸可塑性等生理過程相關。近年來研究發現,PTDSS1基因突變與遺傳性小腦共濟失調2型(SCA2)及Lenz-Majewski綜合征相關,其表達異??赡苡绊懮窠浖毎し€定性。在腫瘤領域,PTDSS1過表達被證實通過改變細胞膜磷脂組成促進肝癌、乳腺癌侵襲轉移。針對該靶點的藥物研發尚處早期,已有研究嘗試利用小分子抑制劑干擾PS合成通路,或通過調控PTDSS1表達增強化療藥物敏感性。2021年《自然·化學生物學》報道了首個選擇性靶向PTDSS1的化合物探針,為相關疾病治療提供了新思路。
熱銷產品
Recombinant Human Phosphatidylserine synthase 1 (PTDSS1), partial (CSB-RP043054h)
驗證數據
(Tris-Glycine gel) Discontinuous SDS-PAGE (reduced) with 5% enrichment gel and 15% separation gel.
PTDSS1 Antibody (CSB-PA04305A0Rb)
驗證數據
Western Blot
Positive WB detected in: 293T whole cell lysate(20μg), K562 whole cell lysate(20μg), HepG2 whole cell lysate(20μg), MCF7 whole cell lysate(20μg
All lanes: PTDSS1 antibody at 1:1000
Secondary
Goat polyclonal to rabbit IgG at 1/20000 dilution
Predicted band size: 56,39,35 kDa
Observed band size: 35 kDa
Exposure time: 60s
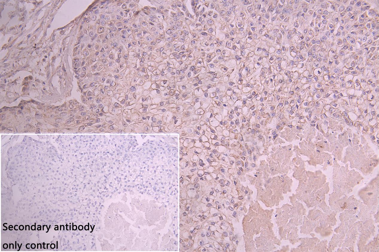
IHC image of CSB-PA04305A0Rb diluted at 1:150 and staining in paraffin-embedded humanpancreatic cancer performed on a Leica BondTM system. After dewaxing and hydration, antigen retrieval was mediated by high pressure in a citrate buffer (pH 6.0). Section was blocked with 10% normal goat serum 30min at RT. Then primary antibody (1% BSA) was incubated at 4°C overnight. The primary is detected by a Goat anti-rabbit polymer IgG labeled by HRP and visualized using 0.05% DAB. Secondary antibody only control: uses 1% BSA instead of primary antibody
PTDSS1 Antibodies
PTDSS1 for Homo sapiens (Human)
| 產品貨號 | 產品名稱 | 種屬反應性 | 應用類型 |
|---|---|---|---|
| CSB-PA04305A0Rb | PTDSS1 Antibody | Human | ELISA,WB, IHC |
PTDSS1 Proteins
PTDSS1 Proteins for Homo sapiens (Human)
| 產品貨號 | 產品名稱 | 來源 |
|---|---|---|
| CSB-YP018962HU CSB-EP018962HU CSB-BP018962HU CSB-MP018962HU CSB-EP018962HU-B |
Recombinant Human Phosphatidylserine synthase 1 (PTDSS1), partial | Yeast E.coli Baculovirus Mammalian cell In Vivo Biotinylation in E.coli |
| CSB-RP043054h | Recombinant Human Phosphatidylserine synthase 1 (PTDSS1), partial | E.coli |






