PLD4
PLD4蛋白全稱為磷脂酶D4,屬于磷脂酶D家族成員,因其在染色體2上的定位也被稱作Chr2-PLD4。該蛋白主要表達于免疫細胞的溶酶體膜,具有核酸外切酶活性,參與降解胞內DNA/RNA片段,可能在維持核酸代謝平衡中起關鍵作用。PLD4功能異常與系統性紅斑狼瘡、干燥綜合征等自身免疫病顯著相關,患者常出現PLD4基因多態性或表達水平異常。此外,阿爾茨海默病患者腦脊液中PLD4濃度升高,提示其與神經炎癥可能存在關聯。
針對PLD4的治療策略尚處早期階段。日本學者發現小分子化合物NC-001可抑制PLD4的核酸酶活性,在狼瘡小鼠模型中有效減少自身抗體產生。2023年跨國藥企公布的專利顯示,特異性單抗PLD4-X03已完成體外實驗,可阻斷異常核酸代謝產物釋放。但該靶點的雙重調控特性(兼具核酸清理與免疫激活)導致藥物設計難度較大,目前尚無進入臨床階段的項目。伴隨單細胞測序技術的應用,PLD4在特定免疫亞群中的調控機制逐漸清晰,為精準干預提供了新方向。
熱銷產品
Recombinant Human 5'-3' exonuclease PLD4 (PLD4), partial (CSB-EP839298HU)
驗證數據
(Tris-Glycine gel) Discontinuous SDS-PAGE (reduced) with 5% enrichment gel and 15% separation gel.
PLD4 Antibody (CSB-PA839298LA01HU)
驗證數據
Western blot
All lanes: PLD4 antibody at 4µg/ml
Lane 1: THP-1 whole cell lysate
Lane 2: Human placenta tissue
Secondary
Goat polyclonal to rabbit IgG at 1/10000 dilution
Predicted band size: 56 kDa
Observed band size: 56 kDa
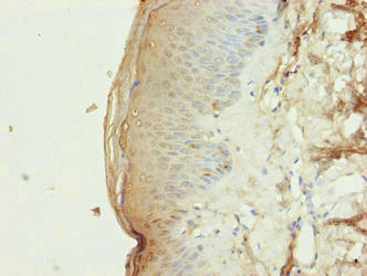
Immunohistochemistry of paraffin-embedded human skin tissue using CSB-PA839298LA01HU at dilution of 1:100
Immunofluorescent analysis of A549 cells using CSB-PA839298LA01HU at dilution of 1:100 and Alexa Fluor 488-congugated AffiniPure Goat Anti-Rabbit IgG(H+L)
PLD4 Antibodies
PLD4 for Homo sapiens (Human)
| 產品貨號 | 產品名稱 | 種屬反應性 | 應用類型 |
|---|---|---|---|
| CSB-PA839298LA01HU | PLD4 Antibody | Human | ELISA, WB, IHC, IF |
| CSB-PA219574 | PLD4 Antibody | Human,Mouse,Rat | ELISA,WB |
| CSB-PA006980 | PLD4 Antibody | Human,Mouse,Rat | WB, ELISA |
PLD4 Proteins
PLD4 Proteins for Homo sapiens (Human)
| 產品貨號 | 產品名稱 | 來源 |
|---|---|---|
| CSB-YP839298HU CSB-BP839298HU CSB-MP839298HU CSB-EP839298HU-B |
Recombinant Human 5'-3' exonuclease PLD4 (PLD4), partial | Yeast Baculovirus Mammalian cell In Vivo Biotinylation in E.coli |
| CSB-EP839298HU | Recombinant Human 5'-3' exonuclease PLD4 (PLD4), partial | E.coli |
| CSB-CF839298HU | Recombinant Human Phospholipase D4 (PLD4) | in vitro E.coli expression system |






