PIK3C3
PIK3C3,即磷脂酰肌醇3-激酶催化亞基3型,別名VPS34、Vps34、hVps34。PIK3C3是磷脂酰肌醇3-激酶(PI3K)家族的成員,能夠磷酸化磷脂酰肌醇(PtdIns)生成磷脂酰肌醇3-磷酸(PI3P),這是自噬過程中的一個中心磷脂質。PIK3C3在早期內體到晚期內體的轉運和細胞質分裂的調節中發揮作用,位于自溶酶體、晚期內體和中體。PIK3C3對于自噬的形成至關重要,自噬是細胞在環境變化時維持生存的機制,也幫助腫瘤細胞抵抗代謝應激和癌癥治療。PIK3C3通過不依賴自噬的機制誘導腫瘤細胞的轉化和增強腫瘤細胞的增殖、生長和侵襲。PIK3C3在多種人類腫瘤中的表達模式和在腫瘤發生中的潛在機制,以及在癌癥生物學、患者預后預測和癌癥治療中的意義被廣泛研究。
熱銷產品
PIK3C3 Antibody (CSB-PA854108LA01HU)
驗證數據
Western Blot
Positive WB detected in: Hela whole cell lysate
All lanes: PIK3C3 antibody at 3.4μg/ml
Secondary
Goat polyclonal to rabbit IgG at 1/50000 dilution
Predicted band size: 102 kDa
Observed band size: 102 kDa
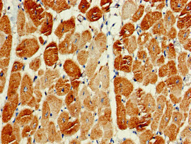
Immunohistochemistry of paraffin-embedded human heart tissue using CSB-PA854108LA01HU at dilution of 1:100
Immunohistochemistry of paraffin-embedded human skeletal muscle tissue using CSB-PA854108LA01HU at dilution of 1:100
PIK3C3 Antibodies
PIK3C3 for Homo sapiens (Human)
| 產品貨號 | 產品名稱 | 種屬反應性 | 應用類型 |
|---|---|---|---|
| CSB-PA017997GA01HU | PIK3C3 Antibody | Human,Mouse,Rat | ELISA,WB |
| CSB-PA909570 | PIK3C3 Antibody | Human,Mouse,Rat | ELISA,IHC |
| CSB-PA381950 | PIK3C3 Antibody | Human,Mouse,Rat,Cow | WB,ELISA |
| CSB-PA854108LA01HU | PIK3C3 Antibody | Human | ELISA, WB, IHC |
| CSB-PA854108LB01HU | PIK3C3 Antibody, HRP conjugated | Human | ELISA |
| CSB-PA854108LC01HU | PIK3C3 Antibody, FITC conjugated | Human | |
| CSB-PA854108LD01HU | PIK3C3 Antibody, Biotin conjugated | Human | ELISA |
PIK3C3 Proteins
PIK3C3 Proteins for Rattus norvegicus (Rat)
| 產品貨號 | 產品名稱 | 來源 |
|---|---|---|
| CSB-YP017997RA CSB-EP017997RA CSB-BP017997RA CSB-MP017997RA CSB-EP017997RA-B |
Recombinant Rat Phosphatidylinositol 3-kinase catalytic subunit type 3 (Pik3c3), partial | Yeast E.coli Baculovirus Mammalian cell In Vivo Biotinylation in E.coli |
PIK3C3 Proteins for Sus scrofa (Pig)
| 產品貨號 | 產品名稱 | 來源 |
|---|---|---|
| CSB-YP707708PI CSB-EP707708PI CSB-BP707708PI CSB-MP707708PI CSB-EP707708PI-B |
Recombinant Pig Phosphatidylinositol 3-kinase catalytic subunit type 3 (PIK3C3), partial | Yeast E.coli Baculovirus Mammalian cell In Vivo Biotinylation in E.coli |
PIK3C3 Proteins for Xenopus laevis (African clawed frog)
| 產品貨號 | 產品名稱 | 來源 |
|---|---|---|
| CSB-YP731839XBE CSB-EP731839XBE CSB-BP731839XBE CSB-MP731839XBE CSB-EP731839XBE-B |
Recombinant Xenopus laevis Phosphatidylinositol 3-kinase catalytic subunit type 3 (pik3c3), partial | Yeast E.coli Baculovirus Mammalian cell In Vivo Biotinylation in E.coli |
PIK3C3 Proteins for Mus musculus (Mouse)
| 產品貨號 | 產品名稱 | 來源 |
|---|---|---|
| CSB-YP754257MO CSB-EP754257MO CSB-BP754257MO CSB-MP754257MO CSB-EP754257MO-B |
Recombinant Mouse Phosphatidylinositol 3-kinase catalytic subunit type 3 (Pik3c3), partial | Yeast E.coli Baculovirus Mammalian cell In Vivo Biotinylation in E.coli |
PIK3C3 Proteins for Homo sapiens (Human)
| 產品貨號 | 產品名稱 | 來源 |
|---|---|---|
| CSB-YP854108HU CSB-EP854108HU CSB-BP854108HU CSB-MP854108HU CSB-EP854108HU-B |
Recombinant Human Phosphatidylinositol 3-kinase catalytic subunit type 3 (PIK3C3), partial | Yeast E.coli Baculovirus Mammalian cell In Vivo Biotinylation in E.coli |






