PDPN
PDPN全稱為平足蛋白(Podoplanin),又名Aggrus、T1-alpha,是一種跨膜糖蛋白。PDPN通過與血小板C型凝集素樣受體CLEC-2結合,在腫瘤微環境中誘導血小板活化,促進癌細胞轉移和血管生成。其在膠質母細胞瘤、肺癌及頭頸部鱗癌中高表達,通過激活PI3K/Akt通路增強腫瘤細胞侵襲性,同時參與調控淋巴管發育異常相關的疾病。臨床數據顯示,PDPN過表達與患者預后不良密切相關,其介導的血小板聚集作用可能增加術后血栓風險。
近年針對PDPN的抗體藥物開發進展顯著,日本學者開發的NZ-1單抗已在動物實驗中成功抑制腫瘤轉移,CAR-T療法針對膠質瘤的臨床前研究也顯示出靶向潛力。然而,由于PDPN在正常組織如肺泡細胞中的基礎表達,藥物研發需重點解決靶向毒性問題。目前國際上有多個雙特異性抗體項目進入Ⅰ期臨床,試圖通過精確調控抗體親和力平衡療效與安全性。
熱銷產品
PDPN Recombinant Monoclonal Antibody (CSB-RA017739MA1HU)
驗證數據
Western Blot
Positive WB detected in: PC-3 whole cell lysate, SY5Y whole cell lysate, U251 whole cell lysate, HepG2 whole cell lysate
All lanes: PDPN antibody at 1:1000
Secondary
Goat polyclonal to mouse IgG at 1/50000 dilution
Predicted band size: 17 kDa
Observed band size: 17 kDa
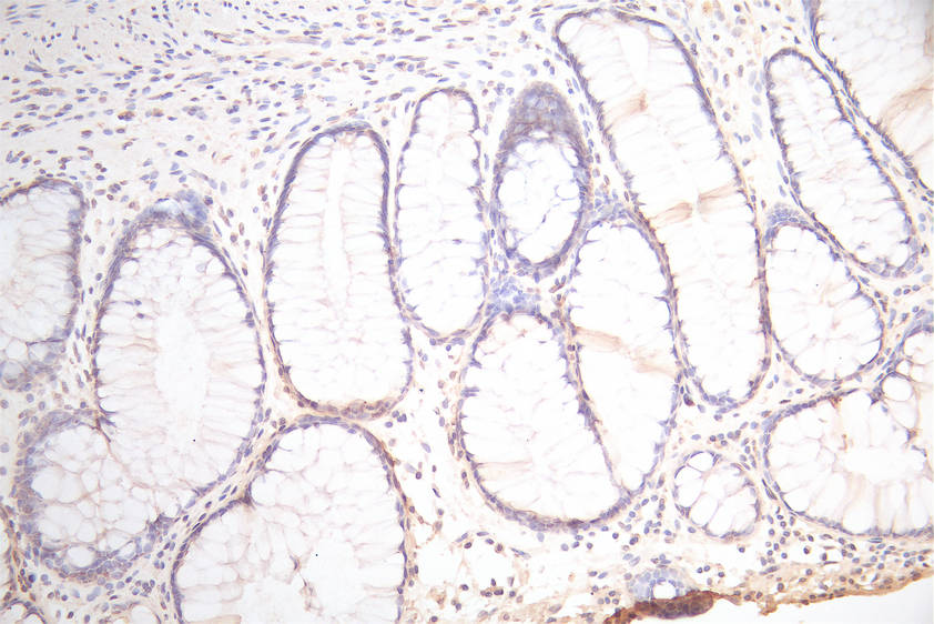
IHC image of CSB-RA017739MA1HU diluted at 1:300 and staining in paraffin-embedded human colorectal cancer performed on a Leica BondTM system. After dewaxing and hydration, antigen retrieval was mediated by high pressure in a citrate buffer (pH 6.0). Section was blocked with 10% normal goat serum 30min at RT. Then primary antibody (1% BSA) was incubated at 4°C overnight. The primary is detected by a Goat anti-Mouse IgG labeled by HRP and visualized using 0.05% DAB.
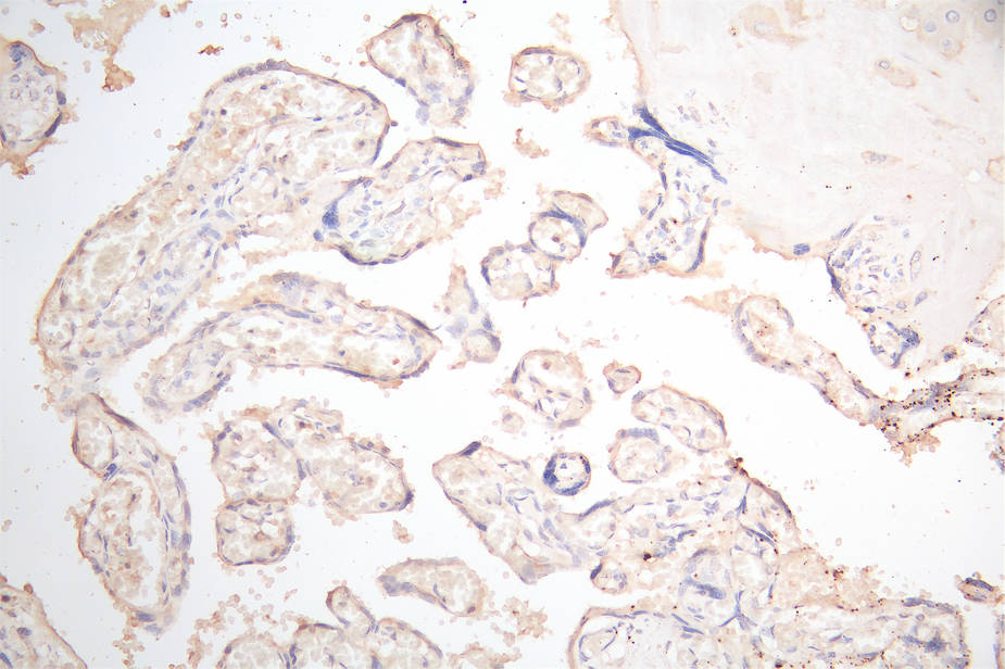
IHC image of CSB-RA017739MA1HU diluted at 1:300 and staining in paraffin-embedded human placenta tissue performed on a Leica BondTM system. After dewaxing and hydration, antigen retrieval was mediated by high pressure in a citrate buffer (pH 6.0). Section was blocked with 10% normal goat serum 30min at RT. Then primary antibody (1% BSA) was incubated at 4°C overnight. The primary is detected by a Goat anti-Mouse IgG labeled by HRP and visualized using 0.05% DAB.
Overlay Peak curve showing 293 cells stained with CSB-RA017739MA1HU (red line) at 1:100. The cells were fixed in 4% formaldehyde (15min) and permeated by 0.2% TritonX-100 for 10min. Then 10% normal goat serum to block non-specific protein-protein interactions followed by the antibody (1ug/1*106cells) for 45min at 4℃. The secondary antibody used was FITC-conjugated Goat Anti-Mouse IgG(H+L) at 1/200 dilution for 35 min at 4°C. Isotype control antibody (green line) was mouse IgG1 (1μg/1*106cells) used under the same conditions. Acquisition of >10,026 events was performed.
Human Podoplanin(PDPN) ELISA kit (CSB-EL017739HU)
驗證數據
貨號:CSB-EL017739HU
規格:96T/48T
靈敏度:6.25 pg/mL
檢測范圍:25 pg/mL-1600 pg/mL
These standard curves are provided for demonstration only. A standard curve should be generated for each set of samples assayed.
PDPN Antibodies
PDPN for Homo sapiens (Human)
| 產品貨號 | 產品名稱 | 種屬反應性 | 應用類型 |
|---|---|---|---|
| CSB-PA017739GA01HU | PDPN Antibody | Human | ELISA,IHC |
| CSB-RA017739A0HU | PDPN Recombinant Monoclonal Antibody | Human | ELISA |
| CSB-RA017739MA1HU | PDPN Recombinant Monoclonal Antibody | Human, Mouse | ELISA, WB, IHC, FC |
PDPN Proteins
PDPN Proteins for Mus musculus (Mouse)
| 產品貨號 | 產品名稱 | 來源 |
|---|---|---|
| CSB-YP017739MO CSB-EP017739MO CSB-BP017739MO CSB-MP017739MO CSB-EP017739MO-B |
Recombinant Mouse Podoplanin (Pdpn), partial | Yeast E.coli Baculovirus Mammalian cell In Vivo Biotinylation in E.coli |
| CSB-CF017739MO(A4) | Recombinant Mouse Podoplanin (Pdpn) | in vitro E.coli expression system |
PDPN Proteins for Rattus norvegicus (Rat)
| 產品貨號 | 產品名稱 | 來源 |
|---|---|---|
| CSB-YP017739RA CSB-EP017739RA CSB-BP017739RA CSB-MP017739RA CSB-EP017739RA-B |
Recombinant Rat Podoplanin (Pdpn), partial | Yeast E.coli Baculovirus Mammalian cell In Vivo Biotinylation in E.coli |
| CSB-CF017739RA | Recombinant Rat Podoplanin (Pdpn) | in vitro E.coli expression system |
PDPN Proteins for Homo sapiens (Human)
| 產品貨號 | 產品名稱 | 來源 |
|---|---|---|
| CSB-YP017739HU CSB-EP017739HU CSB-BP017739HU CSB-MP017739HU CSB-EP017739HU-B |
Recombinant Human Podoplanin (PDPN), partial | Yeast E.coli Baculovirus Mammalian cell In Vivo Biotinylation in E.coli |
| CSB-CF017739HU(A4) | Recombinant Human Podoplanin (PDPN) | in vitro E.coli expression system |
PDPN Proteins for Canis familiaris (Dog) (Canis lupus familiaris)
| 產品貨號 | 產品名稱 | 來源 |
|---|---|---|
| CSB-YP017739DO1 CSB-EP017739DO1 CSB-BP017739DO1 CSB-MP017739DO1 CSB-EP017739DO1-B |
Recombinant Dog Podoplanin (PDPN), partial | Yeast E.coli Baculovirus Mammalian cell In Vivo Biotinylation in E.coli |
PDPN Proteins for Canis lupus familiaris (Dog) (Canis familiaris)
| 產品貨號 | 產品名稱 | 來源 |
|---|---|---|
| CSB-CF017739DO | Recombinant Dog Podoplanin (PDPN) | in vitro E.coli expression system |
PDPN ELISA Kit
PDPN ELISA Kit for Homo sapiens (Human)
| 產品貨號 | 產品名稱 | 樣本類型 | 靈敏度 |
|---|---|---|---|
| CSB-EL017739HU | Human Podoplanin(PDPN) ELISA kit | serum, plasma, tissue homogenates | 6.25 pg/mL |






