PDCD1LG2
PDCD1LG2,即程序性細胞死亡1配體2,別名PD-L2、Btdc、PDL2、CD273等。它是由人類PDCD1LG2基因編碼的蛋白質,該基因位于9號染色體上。PDCD1LG2是免疫受體CD28家族的成員之一,主要通過與PD-1結合發揮免疫調節作用,從而參與抑制T細胞的激活和增殖,進而在免疫耐受和免疫逃逸中發揮作用。PD-L2在免疫細胞如樹突細胞和巨噬細胞以及非免疫細胞如腫瘤細胞中的表達,有助于調節免疫應答和促進腫瘤免疫逃逸。PDCD1LG2的生物學意義在于其在腫瘤免疫逃逸中的作用,是癌癥免疫治療的重要靶點,其表達水平與多種腫瘤的預后相關。
熱銷產品
Recombinant Human Programmed cell death 1 ligand 2 (PDCD1LG2), partial (CSB-EP017667HU)
驗證數據
(Tris-Glycine gel) Discontinuous SDS-PAGE (reduced) with 5% enrichment gel and 15% separation gel.
PDCD1LG2 Antibody (CSB-PA511971)
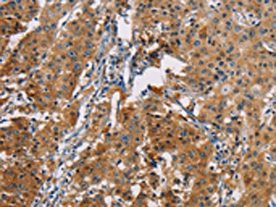
驗證數據
The image on the left is immunohistochemistry of paraffin-embedded Human gastric cancer tissue using CSB-PA511971(PDCD1LG2 Antibody) at dilution 1/50, on the right is treated with fusion protein. (Original magnification: ×200)
The image on the left is immunohistochemistry of paraffin-embedded Human thyroid cancer tissue using CSB-PA511971(PDCD1LG2 Antibody) at dilution 1/50, on the right is treated with fusion protein. (Original magnification: ×200)
PDCD1LG2 Antibodies
PDCD1LG2 for Homo sapiens (Human)
| 產品貨號 | 產品名稱 | 種屬反應性 | 應用類型 |
|---|---|---|---|
| CSB-PA944824 | PDCD1LG2 Antibody | Human | ELISA,IHC |
| CSB-PA511971 | PDCD1LG2 Antibody | Human | ELISA,IHC |
| CSB-PA017667EA01HU | PDCD1LG2 Antibody | Human | ELISA |
| CSB-PA017667EB01HU | PDCD1LG2 Antibody, HRP conjugated | Human | ELISA |
| CSB-PA017667EC01HU | PDCD1LG2 Antibody, FITC conjugated | Human | |
| CSB-PA017667ED01HU | PDCD1LG2 Antibody, Biotin conjugated | Human | ELISA |
| CSB-MA017667A0m | PD-L2 Monoclonal Antibody | Human | ELISA, WB, IHC, IF, FC, IP |
PDCD1LG2 Proteins
PDCD1LG2 Proteins for Homo sapiens (Human)
| 產品貨號 | 產品名稱 | 來源 |
|---|---|---|
| CSB-YP017667HU CSB-BP017667HU CSB-MP017667HU CSB-EP017667HU-B |
Recombinant Human Programmed cell death 1 ligand 2 (PDCD1LG2), partial | Yeast Baculovirus Mammalian cell In Vivo Biotinylation in E.coli |
| CSB-EP017667HU | Recombinant Human Programmed cell death 1 ligand 2 (PDCD1LG2), partial | E.coli |
| CSB-MP017667HU1 | Recombinant Human Programmed cell death 1 ligand 2 (PDCD1LG2), partial | Mammalian cell |
PDCD1LG2 Proteins for Mus musculus (Mouse)
| 產品貨號 | 產品名稱 | 來源 |
|---|---|---|
| CSB-YP017667MO CSB-EP017667MO CSB-BP017667MO CSB-MP017667MO CSB-EP017667MO-B |
Recombinant Mouse Programmed cell death 1 ligand 2 (Pdcd1lg2), partial | Yeast E.coli Baculovirus Mammalian cell In Vivo Biotinylation in E.coli |
PDCD1LG2 ELISA Kit
PDCD1LG2 ELISA Kit for Homo sapiens (Human)
| 產品貨號 | 產品名稱 | 樣本類型 | 靈敏度 |
|---|---|---|---|
| CSB-EL017667HU | Human Programmed cell death 1 ligand 2(PDCD1LG2) ELISA kit | serum, plasma, tissue homogenates. | 0.11 ng/ml |






