PAK4
PAK4蛋白,全稱為p21蛋白(Cdc42/Rac)-激活的激酶4,也被稱為KIAA1142。它是一種絲氨酸/蘇氨酸激酶,在多種信號通路中發揮作用,影響細胞骨架調節、細胞遷移、生長、增殖和細胞存活。PAK4蛋白在細胞形態、細胞骨架組織和細胞增殖遷移中起關鍵作用,并且可以作為抗凋亡蛋白。PAK4蛋白與多種疾病相關,如腫瘤,其過表達在胰腺癌、胃癌和卵巢癌等多種腫瘤中較為常見。在藥物研發方面,針對PAK4蛋白的抗體和抑制劑正在研究,以用于治療相關疾病。
熱銷產品
Recombinant Human Serine/threonine-protein kinase PAK 4 (PAK4) (CSB-EP017408HU)
驗證數據
(Tris-Glycine gel) Discontinuous SDS-PAGE (reduced) with 5% enrichment gel and 15% separation gel.
PAK4 Antibody (CSB-PA05437A0Rb)
驗證數據
Western Blot
Positive WB detected in: Rat lung tissue
All lanes: PAK4 antibody at 3.2µg/ml
Secondary
Goat polyclonal to rabbit IgG at 1/50000 dilution
Predicted band size: 65, 48, 49, 55 kDa
Observed band size: 65 kDa
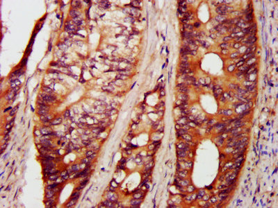
IHC image of CSB-PA05437A0Rb diluted at 1:800 and staining in paraffin-embedded human colon cancer performed on a Leica BondTM system. After dewaxing and hydration, antigen retrieval was mediated by high pressure in a citrate buffer (pH 6.0). Section was blocked with 10% normal goat serum 30min at RT. Then primary antibody (1% BSA) was incubated at 4°C overnight. The primary is detected by a biotinylated secondary antibody and visualized using an HRP conjugated SP system.
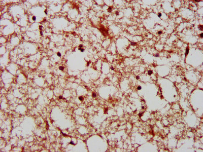
IHC image of CSB-PA05437A0Rb diluted at 1:800 and staining in paraffin-embedded human brain tissue performed on a Leica BondTM system. After dewaxing and hydration, antigen retrieval was mediated by high pressure in a citrate buffer (pH 6.0). Section was blocked with 10% normal goat serum 30min at RT. Then primary antibody (1% BSA) was incubated at 4°C overnight. The primary is detected by a biotinylated secondary antibody and visualized using an HRP conjugated SP system.
Immunofluorescence staining of Hela cells with CSB-PA05437A0Rb at 1:266, counter-stained with DAPI. The cells were fixed in 4% formaldehyde, permeabilized using 0.2% Triton X-100 and blocked in 10% normal Goat Serum. The cells were then incubated with the antibody overnight at 4°C. The secondary antibody was Alexa Fluor 488-congugated AffiniPure Goat Anti-Rabbit IgG(H+L).
PAK4 Antibodies
PAK4 for Homo sapiens (Human)
| 產品貨號 | 產品名稱 | 種屬反應性 | 應用類型 |
|---|---|---|---|
| CSB-PA017408GA01HU | PAK4 Antibody | Human,Mouse,Rat | ELISA,WB,IHC,IF |
| CSB-PA05437A0Rb | PAK4 Antibody | Human, Rat | ELISA, WB, IHC, IF |
| CSB-PA006474 | Phospho-PAK4 (S474) Antibody | Human,Mouse,Rat | WB, IHC, ELISA |
| CSB-PA006475 | PAK4 Antibody | Human,Mouse,Rat | WB, ELISA |
| CSB-PA038167 | PAK4 Antibody | Human,Mouse | ELISA,WB,IHC |
PAK4 Proteins
PAK4 Proteins for Homo sapiens (Human)
| 產品貨號 | 產品名稱 | 來源 |
|---|---|---|
| CSB-YP017408HU CSB-BP017408HU CSB-MP017408HU CSB-EP017408HU-B |
Recombinant Human Serine/threonine-protein kinase PAK 4 (PAK4) | Yeast Baculovirus Mammalian cell In Vivo Biotinylation in E.coli |
| CSB-EP017408HU | Recombinant Human Serine/threonine-protein kinase PAK 4 (PAK4) | E.coli |
PAK4 Proteins for Mus musculus (Mouse)
| 產品貨號 | 產品名稱 | 來源 |
|---|---|---|
| CSB-YP804855MO CSB-EP804855MO CSB-BP804855MO CSB-MP804855MO CSB-EP804855MO-B |
Recombinant Mouse Serine/threonine-protein kinase PAK 4 (Pak4) | Yeast E.coli Baculovirus Mammalian cell In Vivo Biotinylation in E.coli |






