OSM
OSM,全稱為 Oncostatin M,是一種細胞因子,在調節炎癥和腫瘤等生理和病理功能中發揮重要作用。OSM蛋白主要由活化的巨噬細胞、腫瘤相關成纖維細胞、T細胞、樹突狀細胞和中性粒細胞等多種細胞合成和分泌。OSM蛋白通過與gp130細胞外細胞因子結合同源區結合,隨后招募LIFRβ形成I型受體復合物或OSMRβ形成II型受體復合物,激活多種信號通路,參與多種生理和病理功能,包括炎癥、腫瘤和肌肉萎縮等。OSM蛋白在肺部炎癥和腫瘤中發揮重要作用,例如在肺纖維化、哮喘和慢性阻塞性肺疾病中,OSM蛋白參與細胞外基質蛋白沉積或分解代謝、細胞增殖和細胞存活等過程的調控。此外,OSM蛋白還與肺癌和惡病質等疾病相關。目前,針對OSM蛋白通路藥物的臨床前研究取得了一定進展,例如抗OSM抗體和納米抗體等,顯示出良好的治療效果,但尚無藥物獲批用于臨床疾病的治療。未來,OSM蛋白通路藥物有望成為治療肺部疾病和腫瘤等疾病的新選擇。
熱銷產品
Recombinant Human Oncostatin-M (OSM), partial (Active) (CSB-MP017260HU1)
驗證數據
(Tris-Glycine gel) Discontinuous SDS-PAGE (reduced) with 5% enrichment gel and 15% separation gel.
Activity
Measured by its binding ability in a functional ELISA. Immobilized Human OSM at 2μg/mL can bind Anti-OSM recombinant antibody (CSB-RA017260MA1HU),the EC50 is 3.048-3.860 ng/mL.
OSM Recombinant Monoclonal Antibody (CSB-RA017260MA1HU) captured on Protein A Chip can bind Recombinant Human OSM protein with an affinity constant of 0.59 nM as detected by MetaSPR Assay (WeSPRTM 200).
Recombinant Human Oncostatin-M (OSM) (Active) (CSB-MP017260HU-WD)
驗證數據
(Tris-Glycine gel) Discontinuous SDS-PAGE (reduced) with 5% enrichment gel and 15% separation gel.
OSM Recombinant Monoclonal Antibody (CSB-RA017260MA1HU)
驗證數據
The Binding Activity of Human OSM with Anti-OSM Recombinant Antibody
Activity: Measured by its binding ability in a functional ELISA. Immobilized Human OSM (CSB-MP017260HU1) at 2 μg/mL can bind Anti-OSM recombinant antibody, the EC50 is 3.048-3.860 ng/mL.
OSM Antibody (CSB-PA09694A0Rb)
驗證數據
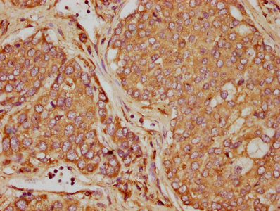
IHC image of CSB-PA09694A0Rb diluted at 1:90 and staining in paraffin-embedded human liver cancer performed on a Leica BondTM system. After dewaxing and hydration, antigen retrieval was mediated by high pressure in a citrate buffer (pH 6.0). Section was blocked with 10% normal goat serum 30min at RT. Then primary antibody (1% BSA) was incubated at 4°C overnight. The primary is detected by a biotinylated secondary antibody and visualized using an HRP conjugated SP system.
IHC image of CSB-PA09694A0Rb diluted at 1:90 and staining in paraffin-embedded human colon cancer performed on a Leica BondTM system. After dewaxing and hydration, antigen retrieval was mediated by high pressure in a citrate buffer (pH 6.0). Section was blocked with 10% normal goat serum 30min at RT. Then primary antibody (1% BSA) was incubated at 4°C overnight. The primary is detected by a biotinylated secondary antibody and visualized using an HRP conjugated SP system.
Human Oncostatin-M,OSM ELISA KIT (CSB-E04696h)
驗證數據
貨號:CSB-E04696h
規格:96T/48T
靈敏度:1.56 pg/mL
檢測范圍:6.25 pg/mL-400 pg/mL
These standard curves are provided for demonstration only. A standard curve should be generated for each set of samples assayed.
OSM Antibodies
OSM for Homo sapiens (Human)
| 產品貨號 | 產品名稱 | 種屬反應性 | 應用類型 |
|---|---|---|---|
| CSB-PA09694A0Rb | OSM Antibody | Human | ELISA, IHC |
| CSB-PA09694C0Rb | OSM Antibody, FITC conjugated | Human | |
| CSB-PA09694B0Rb | OSM Antibody, HRP conjugated | Human | ELISA |
| CSB-PA244255 | OSM Antibody | Human | ELISA,WB,IHC |
| CSB-PA934414 | OSM Antibody | Human | ELISA,IHC |
| CSB-RA017260MA1HU | OSM Recombinant Monoclonal Antibody | Human | ELISA |
OSM for Rattus norvegicus (Rat)
| 產品貨號 | 產品名稱 | 種屬反應性 | 應用類型 |
|---|---|---|---|
| CSB-PA723970LA01RA | Osm Antibody | Rat | ELISA, IF |
| CSB-PA723970LB01RA | Osm Antibody, HRP conjugated | Rat | ELISA |
| CSB-PA723970LC01RA | Osm Antibody, FITC conjugated | Rat |
OSM Proteins
OSM Proteins for Homo sapiens (Human)
| 產品貨號 | 產品名稱 | 來源 |
|---|---|---|
| CSB-YP017260HU CSB-EP017260HU CSB-BP017260HU CSB-MP017260HU CSB-EP017260HU-B |
Recombinant Human Oncostatin-M (OSM), partial | Yeast E.coli Baculovirus Mammalian cell In Vivo Biotinylation in E.coli |
| CSB-EP017260HU2 | Recombinant Human Oncostatin-M (OSM), partial | E.coli |
| CSB-AP002231HU | Recombinant Human Oncostatin-M protein (OSM), partial (Active) | E.Coli |
| CSB-AP002241HU | Recombinant Human Oncostatin-M protein (OSM), partial (Active) | E.Coli |
| CSB-AP002251HU | Recombinant Human Oncostatin-M protein (OSM), partial (Active) | E.Coli |
| CSB-EP017260HU1 | Recombinant Human Oncostatin-M (OSM) | E.coli |
| CSB-YP017260HUc7 | Recombinant Human Oncostatin-M (OSM), partial | Yeast |
| CSB-MP017260HU1 | Recombinant Human Oncostatin-M (OSM), partial (Active) | Mammalian cell |
| CSB-MP017260HU1d9 | Recombinant Human Oncostatin-M (OSM), partial | Mammalian cell |
| CSB-MP017260HU-WD | Recombinant Human Oncostatin-M (OSM) (Active) | Mammalian cell |
OSM Proteins for Bos taurus (Bovine)
| 產品貨號 | 產品名稱 | 來源 |
|---|---|---|
| CSB-YP017260BO CSB-EP017260BO CSB-BP017260BO CSB-MP017260BO CSB-EP017260BO-B |
Recombinant Bovine Oncostatin-M (OSM) | Yeast E.coli Baculovirus Mammalian cell In Vivo Biotinylation in E.coli |
OSM Proteins for Mus musculus (Mouse)
| 產品貨號 | 產品名稱 | 來源 |
|---|---|---|
| CSB-YP017260MO CSB-EP017260MO CSB-BP017260MO CSB-MP017260MO CSB-EP017260MO-B |
Recombinant Mouse Oncostatin-M (Osm) | Yeast E.coli Baculovirus Mammalian cell In Vivo Biotinylation in E.coli |
OSM Proteins for Rattus norvegicus (Rat)
| 產品貨號 | 產品名稱 | 來源 |
|---|---|---|
| CSB-YP723970RA | Recombinant Rat Oncostatin-M (Osm) | Yeast |
| CSB-EP723970RA CSB-BP723970RA CSB-EP723970RA-B |
Recombinant Rat Oncostatin-M (Osm) | E.coli Baculovirus In Vivo Biotinylation in E.coli |
| CSB-MP723970RA | Recombinant Rat Oncostatin-M (Osm) | Mammalian cell |
| CSB-EP723970RAb0 | Recombinant Rat Oncostatin-M (Osm) | E.coli |
OSM ELISA Kit
OSM ELISA Kit for Homo sapiens (Human)
| 產品貨號 | 產品名稱 | 樣本類型 | 靈敏度 |
|---|---|---|---|
| CSB-E04696h | Human Oncostatin-M,OSM ELISA KIT | serum, plasma, cell culture supernates | 1.56 pg/mL |
OSM ELISA Kit for Mus musculus (Mouse)
| 產品貨號 | 產品名稱 | 樣本類型 | 靈敏度 |
|---|---|---|---|
| CSB-E04697m | Mouse Oncostatin-M,OSM ELISA KIT | serum, plasma, cell culture supernates, tissue homogenates | 0.78 pg/mL |
OSM ELISA Kit for Rattus norvegicus (Rat)
| 產品貨號 | 產品名稱 | 樣本類型 | 靈敏度 |
|---|---|---|---|
| CSB-E07402r | Rat oncostatin M (OSM) ELISA kit | serum, plasma | 3.9 pg/mL |






