NAT10
NAT10,即N-乙酰基轉移酶10,別名ALP、Kre33、NET43。它是由人類NAT10基因編碼的核蛋白,屬于GNAT家族的乙酰轉移酶。NAT10在多種細胞過程中發揮作用,包括RNA的乙酰化修飾、核糖體RNA的生物合成、DNA損傷修復以及mRNA穩定性的維持。其作用機制涉及催化組蛋白和非組蛋白的乙酰化修飾,以及作為RNA結合蛋白,通過在特定RNA分子上添加乙?;鶊F來調節RNA的穩定性和翻譯效率。NAT10參與調控細胞周期、細胞遷移、腫瘤轉移、DNA損傷響應以及細胞衰老等重要生命活動。NAT10的異常表達與多種疾病相關,包括癌癥、Hutchinson-Gilford早衰綜合征、系統性紅斑狼瘡等。NAT10被認為是多種疾病治療的潛在靶點。
熱銷產品
驗證數據
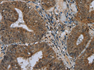
The image on the left is immunohistochemistry of paraffin-embedded Human colon cancer tissue using CSB-PA088333(NAT10 Antibody) at dilution 1/40, on the right is treated with fusion protein. (Original magnification: ×200)
The image on the left is immunohistochemistry of paraffin-embedded Human thyroid cancer tissue using CSB-PA088333(NAT10 Antibody) at dilution 1/40, on the right is treated with fusion protein. (Original magnification: ×200)
Gel: 6%SDS-PAGE, Lysate: 50 μg, Lane 1-3: A549 cells, K562 cells, hela cells, Primary antibody: CSB-PA088333(NAT10 Antibody) at dilution 1/200, Secondary antibody: Goat anti rabbit IgG at 1/8000 dilution, Exposure time: 10 seconds
NAT10 Antibodies
NAT10 for Homo sapiens (Human)
| 產品貨號 | 產品名稱 | 種屬反應性 | 應用類型 |
|---|---|---|---|
| CSB-PA015465GA01HU | NAT10 Antibody | Human,Mouse,Rat | ELISA,WB,IF |
| CSB-PA088333 | NAT10 Antibody | Human,Mouse | ELISA,WB,IHC |
| CSB-PA792051 | NAT10 Antibody | Human,Mouse | ELISA,WB |
| CSB-PA863939LA01HU | NAT10 Antibody | Human | ELISA, WB, IHC, IP |
| CSB-PA863939LB01HU | NAT10 Antibody, HRP conjugated | Human | ELISA |
| CSB-PA863939LC01HU | NAT10 Antibody, FITC conjugated | Human |
NAT10 Proteins
NAT10 Proteins for Homo sapiens (Human)
| 產品貨號 | 產品名稱 | 來源 |
|---|---|---|
| CSB-YP863939HU CSB-EP863939HU CSB-BP863939HU CSB-MP863939HU CSB-EP863939HU-B |
Recombinant Human N-acetyltransferase 10 (NAT10), partial | Yeast E.coli Baculovirus Mammalian cell In Vivo Biotinylation in E.coli |






