MASP2
MASP2,即甘露聚糖結合凝集素相關絲氨酸蛋白酶2,它是由人體編碼的蛋白質,屬于補體系統的一部分。MASP2主要來源于肝臟,是凝集素途徑中的關鍵效應酶。其作用機制是在凝集素途徑激活后,MASP2被甘露糖結合凝集素(MBL)或其他模式識別分子激活,進而裂解C4和C2,形成C3轉化酶,激活C3和C5,最終導致形成膜攻擊復合物(MAC),發揮溶細胞效應。在信號通路方面,MASP2的激活是補體系統凝集素途徑的中心環節,通過其絲氨酸蛋白酶活性,MASP2參與調控免疫反應和炎癥過程。在生物學意義上,MASP2對宿主的免疫防御至關重要,其功能異常與多種炎癥性疾病和自身免疫性疾病的發生發展相關。MASP2的活性調節為治療相關疾病提供了新的策略。
熱銷產品
Recombinant Human Mannan-binding lectin serine protease 2 (MASP2) (CSB-EP013510HU)
驗證數據
(Tris-Glycine gel) Discontinuous SDS-PAGE (reduced) with 5% enrichment gel and 15% separation gel.
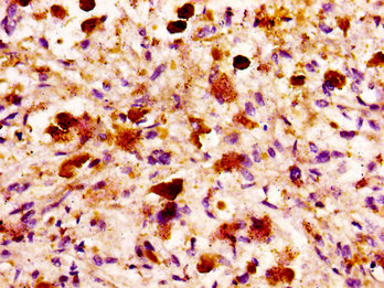
MASP2 Antibody (CSB-PA013510LA01HU)
驗證數據
IHC image of CSB-PA013510LA01HU diluted at 1:100 and staining in paraffin-embedded human melanoma performed on a Leica BondTM system. After dewaxing and hydration, antigen retrieval was mediated by high pressure in a citrate buffer (pH 6.0). Section was blocked with 10% normal goat serum 30min at RT. Then primary antibody (1% BSA) was incubated at 4°C overnight. The primary is detected by a biotinylated secondary antibody and visualized using an HRP conjugated SP system.
Human mannan-binding lectin serine peptidase 2 (MASP2)ELISA kit (CSB-E17966h)
驗證數據
貨號:CSB-E17966h
規格:96T/48T
靈敏度:5.86 pg/mL
檢測范圍:23.44 pg/mL-1500 pg/mL
These standard curves are provided for demonstration only. A standard curve should be generated for each set of samples assayed.
MASP2 Antibodies
MASP2 for Homo sapiens (Human)
| 產品貨號 | 產品名稱 | 種屬反應性 | 應用類型 |
|---|---|---|---|
| CSB-PA943074 | MASP2 Antibody | Human | ELISA,WB |
| CSB-PA006707 | MASP2 Antibody | Human | WB, ELISA |
| CSB-PA178736 | MASP2 Antibody | Human,Mouse,Rat | ELISA,IHC |
| CSB-PA159806 | MASP2 Antibody | Human,Mouse,Rat | ELISA,IHC |
| CSB-PA013510LA01HU | MASP2 Antibody | Human | ELISA, IHC |
| CSB-PA013510LB01HU | MASP2 Antibody, HRP conjugated | Human | ELISA |
| CSB-PA013510LC01HU | MASP2 Antibody, FITC conjugated | Human | |
| CSB-PA013510LD01HU | MASP2 Antibody, Biotin conjugated | Human | ELISA |
MASP2 Proteins
MASP2 Proteins for Homo sapiens (Human)
| 產品貨號 | 產品名稱 | 來源 |
|---|---|---|
| CSB-YP013510HU CSB-EP013510HU-B |
Recombinant Human Mannan-binding lectin serine protease 2 (MASP2) | Yeast In Vivo Biotinylation in E.coli |
| CSB-BP013510HU | Recombinant Human Mannan-binding lectin serine protease 2 (MASP2) | Baculovirus |
| CSB-EP013510HU | Recombinant Human Mannan-binding lectin serine protease 2 (MASP2) | E.coli |
MASP2 Proteins for Mus musculus (Mouse)
| 產品貨號 | 產品名稱 | 來源 |
|---|---|---|
| CSB-YP856307MO CSB-EP856307MO-B |
Recombinant Mouse Mannan-binding lectin serine protease 2 (Masp2) | Yeast In Vivo Biotinylation in E.coli |
| CSB-EP856307MO | Recombinant Mouse Mannan-binding lectin serine protease 2 (Masp2) | E.coli |
| CSB-BP856307MO | Recombinant Mouse Mannan-binding lectin serine protease 2 (Masp2) | Baculovirus |
| CSB-BP856307MOc7 | Recombinant Mouse Mannan-binding lectin serine protease 2 (Masp2) | Baculovirus |
MASP2 Proteins for Rattus norvegicus (Rat)
| 產品貨號 | 產品名稱 | 來源 |
|---|---|---|
| CSB-YP867502RA CSB-EP867502RA CSB-EP867502RA-B |
Recombinant Rat Mannan-binding lectin serine protease 2 (Masp2) | Yeast E.coli In Vivo Biotinylation in E.coli |
| CSB-BP867502RA | Recombinant Rat Mannan-binding lectin serine protease 2 (Masp2) | Baculovirus |
MASP2 ELISA Kit
MASP2 ELISA Kit for Homo sapiens (Human)
| 產品貨號 | 產品名稱 | 樣本類型 | 靈敏度 |
|---|---|---|---|
| CSB-E17966h | Human mannan-binding lectin serine peptidase 2 (MASP2)ELISA kit | serum, plasma, cell culture supernates, cerebrospinal fluid (CSF) | 5.86 pg/mL |
MASP2 ELISA Kit for Mus musculus (Mouse)
| 產品貨號 | 產品名稱 | 樣本類型 | 靈敏度 |
|---|---|---|---|
| CSB-EL013510MO | Mouse Mannan-binding lectin serine protease 2(MASP2) ELISA kit | serum, plasma, tissue homogenates | 31.2 pg/mL |






