MAP2K1
MAP2K1,即絲裂原活化蛋白激酶激酶1,別名MEK1、MAPKK1。它是一種雙特異性蛋白激酶,屬于MAP激酶激酶家族成員,由人體細胞自身的基因編碼。MAP2K1在細胞外信號的傳導中發揮關鍵作用,特別是它在Ras-Raf-MEK-ERK信號通路中的功能,該通路參與調控細胞增殖、分化、細胞凋亡等過程。MAP2K1的作用機制主要是通過接收上游RAF激酶的磷酸化信號,進而磷酸化并激活下游的ERK1/2,從而將信號傳導至細胞核,影響基因表達。MAP2K1的生物學意義非常廣泛,它參與調節多種細胞過程,如細胞增殖、分化、轉錄調節和發育。MAP2K1的活性對于細胞對多種外界和內部信號的響應至關重要。此外,MAP2K1的功能異常與多種疾病有關,尤其是與腫瘤的發生發展密切相關。例如,Raf、MEK1等基因的突變可能導致Ras-Raf-MEK-ERK信號通路的持續活化,這被認為是引起腫瘤無限增殖特性的重要原因之一。因此,在ERK信號通路研究中,常以MEK1/MEK2作為腫瘤治療的靶標,開發新型抗腫瘤藥物,如口服的MEK抑制劑司美替尼(selumetinib)。
熱銷產品
MAP2K1 Recombinant Monoclonal Antibody (CSB-RA225579A0HU)
驗證數據
Western Blot
Positive WB detected in: Hela whole cell lysate, 293 whole cell lysate, A549 whole cell lysate, U87 whole cell lysate
All lanes: MAP2K1 antibody at 1:2000
Secondary
Goat polyclonal to rabbit IgG at 1/50000 dilution
Predicted band size: 44, 41 kDa
Observed band size: 44 kDa
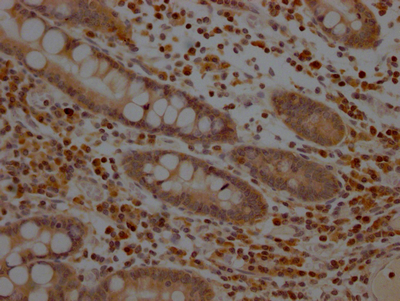
IHC image of CSB-RA225579A0HU diluted at 1:100 and staining in paraffin-embedded human colon cancer performed on a Leica BondTM system. After dewaxing and hydration, antigen retrieval was mediated by high pressure in a citrate buffer (pH 6.0). Section was blocked with 10% normal goat serum 30min at RT. Then primary antibody (1% BSA) was incubated at 4℃ overnight. The primary is detected by a Goat anti-rabbit IgG polymer labeled by HRP and visualized using 0.05% DAB.
Immunoprecipitating MAP2K1 in Hela whole cell lysate
Lane 1: Rabbit control IgG instead of CSB-RA225579A0HU in Hela whole cell lysate.
For western blotting,a HRP-conjugated Protein G antibody was used as the secondary antibody (1/2000)
Lane 2: CSB-RA225579A0HU(2μg)+ Hela whole cell lysate(500μg)
Lane 3: Hela whole cell lysate (10μg)
MAP2K1 Antibodies
MAP2K1 for Homo sapiens (Human)
| 產品貨號 | 產品名稱 | 種屬反應性 | 應用類型 |
|---|---|---|---|
| CSB-PA439786 | Phospho-MAP2K1 (Ser221) Antibody | Human,Mouse,Rat | ELISA,WB,IHC,IF |
| CSB-PA297521 | Phospho-MAP2K1 (Ser217/Ser221) Antibody | Human,Mouse,Rat | ELISA,WB,IHC |
| CSB-PA241335 | Phospho-MAP2K1 (Thr291) Antibody | Human,Mouse,Rat | ELISA,WB |
| CSB-PA920819 | MAP2K1 (Ab-221) Antibody | Human,Mouse,Rat | ELISA,WB,IHC |
| CSB-PA065412 | MAP2K1 (Ab-217/221) Antibody | Human,Mouse,Rat | ELISA,WB,IHC,IF |
| CSB-PA965933 | MAP2K1 (Ab-291) Antibody | Human,Mouse,Rat | ELISA,WB,IHC |
| CSB-PA577205 | MAP2K1 Antibody | Human,Mouse,Rat | ELISA,WB |
| CSB-PA003217 | MAP2K1 Antibody | Human,Mouse,Rat | WB, IHC, ELISA |
| CSB-PA030296 | Phospho-MAP2K1 (T292) Antibody | Human,Mouse,Rat | WB, IHC, IF, ELISA |
| CSB-PA030297 | Phospho-MAP2K1 (S298) Antibody | Human,Mouse,Rat | WB, IHC, ELISA |
| CSB-PA030298 | Phospho-MAP2K1 (T386) Antibody | Human,Mouse,Rat | WB, ELISA |
| CSB-PA030299 | Phospho-MAP2K1 (T286) Antibody | Human,Mouse,Rat | WB, IHC, ELISA |
| CSB-PA030300 | MAP2K1 Antibody | Human,Mouse,Rat | WB, IHC, ELISA |
| CSB-PA080228 | MAP2K1 Antibody | Human,Mouse,Rat | WB, IHC |
| CSB-PA173019 | MAP2K1 Antibody | Human,Mouse,Rat | ELISA,IHC |
| CSB-PA925811 | MAP2K1 Antibody | Human,Mouse,Rat | ELISA,IHC |
| CSB-PA439945 | MAP2K1 Antibody | Human,Mouse,Rat | ELISA,WB,IHC |
| CSB-PA570222 | MAP2K1 Antibody | Human,Mouse,Rat | ELISA,WB,IHC |
| CSB-PA146432 | MAP2K1 Antibody | Human,Mouse,Rat | WB,ELISA |
| CSB-PA013409LA01HU | MAP2K1 Antibody | Human, Mouse | ELISA, WB, IHC |
| CSB-PA013409LB01HU | MAP2K1 Antibody, HRP conjugated | Human | ELISA |
| CSB-PA013409LC01HU | MAP2K1 Antibody, FITC conjugated | Human | |
| CSB-RA013409A292phHU | Phospho-MAP2K1 (T292) Recombinant Monoclonal Antibody | Human | ELISA, WB |
| CSB-RA225579A0HU | MAP2K1 Recombinant Monoclonal Antibody | Human | ELISA, WB, IHC, IP |
| CSB-RA957619A0HU | MAP2K1 Recombinant Monoclonal Antibody | Human, Rat | ELISA, WB, IHC, IP |
MAP2K1 Proteins
MAP2K1 Proteins for Mus musculus (Mouse)
| 產品貨號 | 產品名稱 | 來源 |
|---|---|---|
| CSB-YP013409MO CSB-EP013409MO CSB-BP013409MO CSB-MP013409MO CSB-EP013409MO-B |
Recombinant Mouse Dual specificity mitogen-activated protein kinase kinase 1 (Map2k1) | Yeast E.coli Baculovirus Mammalian cell In Vivo Biotinylation in E.coli |
MAP2K1 Proteins for Oryctolagus cuniculus (Rabbit)
| 產品貨號 | 產品名稱 | 來源 |
|---|---|---|
| CSB-YP013409RB CSB-EP013409RB CSB-BP013409RB CSB-MP013409RB CSB-EP013409RB-B |
Recombinant Rabbit Dual specificity mitogen-activated protein kinase kinase 1 (MAP2K1) | Yeast E.coli Baculovirus Mammalian cell In Vivo Biotinylation in E.coli |
MAP2K1 Proteins for Rattus norvegicus (Rat)
| 產品貨號 | 產品名稱 | 來源 |
|---|---|---|
| CSB-YP013409RA CSB-EP013409RA CSB-BP013409RA CSB-MP013409RA CSB-EP013409RA-B |
Recombinant Rat Dual specificity mitogen-activated protein kinase kinase 1 (Map2k1) | Yeast E.coli Baculovirus Mammalian cell In Vivo Biotinylation in E.coli |
MAP2K1 Proteins for Cricetulus griseus (Chinese hamster) (Cricetulus barabensis griseus)
| 產品貨號 | 產品名稱 | 來源 |
|---|---|---|
| CSB-YP726940DXU CSB-EP726940DXU CSB-BP726940DXU CSB-MP726940DXU CSB-EP726940DXU-B |
Recombinant Cricetulus griseus Dual specificity mitogen-activated protein kinase kinase 1 (MAP2K1) | Yeast E.coli Baculovirus Mammalian cell In Vivo Biotinylation in E.coli |
MAP2K1 Proteins for Serinus canaria (Island canary) (Fringilla canaria)
| 產品貨號 | 產品名稱 | 來源 |
|---|---|---|
| CSB-YP849582SYL CSB-EP849582SYL CSB-BP849582SYL CSB-MP849582SYL CSB-EP849582SYL-B |
Recombinant Serinus canaria Dual specificity mitogen-activated protein kinase kinase 1 (MAP2K1) | Yeast E.coli Baculovirus Mammalian cell In Vivo Biotinylation in E.coli |
MAP2K1 Proteins for Pan troglodytes (Chimpanzee)
| 產品貨號 | 產品名稱 | 來源 |
|---|---|---|
| CSB-YP893171EQV CSB-EP893171EQV CSB-BP893171EQV CSB-MP893171EQV CSB-EP893171EQV-B |
Recombinant Pan troglodytes Dual specificity mitogen-activated protein kinase kinase 1 (MAP2K1) | Yeast E.coli Baculovirus Mammalian cell In Vivo Biotinylation in E.coli |






