LY96
LY96,全稱淋巴細胞抗原96,也被稱為MD-2、ESOP-1、Ly-96等。LY96在天然免疫中扮演重要角色,是機體對微生物感染的第一道防線。研究表明,LY96可能參與內毒素中和,且在炎癥相關和免疫相關疾病中發揮作用,如克羅恩病、類風濕性關節炎和糖尿病性心肌病。此外,LY96與腫瘤的發生和進展密切相關,它通過與TLR4相互作用激活核因子κB(NF-κB)途徑,促進結腸癌細胞的增殖和肺轉移。在帕金森病(PD)中,LY96的表達異常增高,可能通過自然殺傷細胞介導的細胞毒性途徑和細胞外基質受體相互作用途徑參與PD的發生。這些發現表明,LY96不僅在感染和免疫反應中發揮作用,也可能成為包括帕金森病在內的多種疾病的潛在生物標志物和治療靶點。
熱銷產品
Recombinant Human Lymphocyte antigen 96 (LY96) (R56G) (CSB-EP013254HU(M))
驗證數據
(Tris-Glycine gel) Discontinuous SDS-PAGE (reduced) with 5% enrichment gel and 15% separation gel.
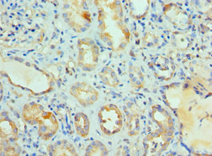
LY96 Antibody (CSB-PA013254ESR1HU)
驗證數據
Immunohistochemistry of paraffin-embedded human kidney tissue using CSB-PA013254ESR1HU at dilution of 1:100
LY96 Antibodies
LY96 for Homo sapiens (Human)
| 產品貨號 | 產品名稱 | 種屬反應性 | 應用類型 |
|---|---|---|---|
| CSB-PA013254GA01HU | LY96 Antibody | Human | ELISA,WB,IHC |
| CSB-PA013254ESR1HU | LY96 Antibody | Human | ELISA, IHC |
| CSB-PA049918 | LY96 Antibody | Human,Mouse | ELISA,WB,IHC |
| CSB-PA013254LA01HU | LY96 Antibody | Human | ELISA, IHC |
| CSB-PA013254LD01HU | LY96 Antibody, Biotin conjugated | Human | ELISA |
| CSB-PA013254LC01HU | LY96 Antibody, FITC conjugated | Human |
LY96 Proteins
LY96 Proteins for Bos taurus (Bovine)
| 產品貨號 | 產品名稱 | 來源 |
|---|---|---|
| CSB-YP013254BO CSB-EP013254BO CSB-BP013254BO CSB-MP013254BO CSB-EP013254BO-B |
Recombinant Bovine Lymphocyte antigen 96 (LY96) | Yeast E.coli Baculovirus Mammalian cell In Vivo Biotinylation in E.coli |
LY96 Proteins for Cricetulus griseus (Chinese hamster) (Cricetulus barabensis griseus)
| 產品貨號 | 產品名稱 | 來源 |
|---|---|---|
| CSB-YP013254DXU CSB-EP013254DXU CSB-BP013254DXU CSB-MP013254DXU CSB-EP013254DXU-B |
Recombinant Cricetulus griseus Lymphocyte antigen 96 (LY96) | Yeast E.coli Baculovirus Mammalian cell In Vivo Biotinylation in E.coli |
LY96 Proteins for Mus musculus (Mouse)
| 產品貨號 | 產品名稱 | 來源 |
|---|---|---|
| CSB-YP013254MO CSB-BP013254MO CSB-EP013254MO-B |
Recombinant Mouse Lymphocyte antigen 96 (Ly96) | Yeast Baculovirus In Vivo Biotinylation in E.coli |
| CSB-EP013254MO | Recombinant Mouse Lymphocyte antigen 96 (Ly96) | E.coli |
| CSB-MPCSB-MP013254MO CSB-EPCSB-MP013254MO-B |
Recombinant Mouse Lymphocyte antigen 96 (Ly96) | Mammalian cell In Vivo Biotinylation in E.coli |
LY96 Proteins for Homo sapiens (Human)
| 產品貨號 | 產品名稱 | 來源 |
|---|---|---|
| CSB-YP013254HU CSB-BP013254HU CSB-MP013254HU CSB-EP013254HU-B |
Recombinant Human Lymphocyte antigen 96 (LY96) | Yeast Baculovirus Mammalian cell In Vivo Biotinylation in E.coli |
| CSB-EP013254HU | Recombinant Human Lymphocyte antigen 96 (LY96), partial | E.coli |
| CSB-EP013254HU(M) | Recombinant Human Lymphocyte antigen 96 (LY96) (R56G) | E.coli |
| CSB-BP013254HU(M) | Recombinant Human Lymphocyte antigen 96 (LY96) (R56G) | Baculovirus |
| CSB-EP013254HU(A4)a0 | Recombinant Human Lymphocyte antigen 96 (LY96) | E.coli |
| CSB-EP013254HU(A4) | Recombinant Human Lymphocyte antigen 96 (LY96) | E.coli |






