LPL
脂蛋白脂酶(LPL)是調控血脂代謝的關鍵水解酶,主要附著在血管內皮表面,負責分解血液中乳糜微粒和極低密度脂蛋白(VLDL)攜帶的甘油三酯,將其轉化為游離脂肪酸供肌肉、脂肪等組織利用。LPL活性異常與多種代謝疾病密切相關,例如家族性LPL基因突變可導致罕見的乳糜微粒血癥綜合征,患者表現為嚴重高甘油三酯血癥及胰腺炎風險升高。LPL功能缺陷還與動脈粥樣硬化、胰島素抵抗等病理過程存在關聯。
針對LPL通路的藥物研發取得突破,Volanesorsen作為反義寡核苷酸藥物,通過抑制載脂蛋白C-III間接增強LPL活性,已在美國獲批用于遺傳性乳糜微粒血癥。靶向ANGPTL3/4蛋白的單克隆抗體可解除其對LPL的天然抑制,這類藥物在降低頑固性高甘油三酯血癥方面展現出潛力。通過激活PPARγ等核受體也可上調LPL表達,這為糖尿病合并血脂異常提供了新的干預思路。
熱銷產品
LPL Antibody (CSB-PA013065LA01HU)
驗證數據
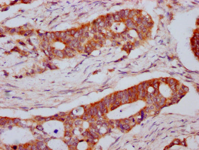
IHC image of CSB-PA013065LA01HU diluted at 1:800 and staining in paraffin-embedded human colon cancer performed on a Leica BondTM system. After dewaxing and hydration, antigen retrieval was mediated by high pressure in a citrate buffer (pH 6.0). Section was blocked with 10% normal goat serum 30min at RT. Then primary antibody (1% BSA) was incubated at 4°C overnight. The primary is detected by a biotinylated secondary antibody and visualized using an HRP conjugated SP system.
Immunofluorescence staining of HepG2 cells with CSB-PA013065LA01HU at 1:266, counter-stained with DAPI. The cells were fixed in 4% formaldehyde, permeabilized using 0.2% Triton X-100 and blocked in 10% normal Goat Serum. The cells were then incubated with the antibody overnight at 4°C. The secondary antibody was Alexa Fluor 488-congugated AffiniPure Goat Anti-Rabbit IgG(H+L).
Human lipoprotein lipase(LPL)ELISA Kit (CSB-E08493h)
驗證數據
貨號:CSB-E08493h
規格:96T/48T
靈敏度:7.81 pg/mL
檢測范圍:31.25 pg/mL-2000 pg/mL
These standard curves are provided for demonstration only. A standard curve should be generated for each set of samples assayed.
LPL Antibodies
LPL for Homo sapiens (Human)
| 產品貨號 | 產品名稱 | 種屬反應性 | 應用類型 |
|---|---|---|---|
| CSB-PA013065LA01HU | LPL Antibody | Human | ELISA, IHC, IF |
| CSB-PA013065LB01HU | LPL Antibody, HRP conjugated | Human | ELISA |
| CSB-PA013065LC01HU | LPL Antibody, FITC conjugated | Human | |
| CSB-PA013065LD01HU | LPL Antibody, Biotin conjugated | Human | ELISA |
LPL Proteins
LPL Proteins for Mus musculus (Mouse)
| 產品貨號 | 產品名稱 | 來源 |
|---|---|---|
| CSB-YP013065MO CSB-MP013065MO CSB-EP013065MO-B |
Recombinant Mouse Lipoprotein lipase (Lpl) | Yeast Mammalian cell In Vivo Biotinylation in E.coli |
| CSB-EP013065MO | Recombinant Mouse Lipoprotein lipase (Lpl) | E.coli |
| CSB-BP013065MO | Recombinant Mouse Lipoprotein lipase (Lpl) | Baculovirus |
| CSB-EP013065MOe1 | Recombinant Mouse Lipoprotein lipase (Lpl) | E.coli |
| CSB-MP013065MO | Recombinant Mouse Lipoprotein lipase (Lpl) | Mammalian cell |
LPL Proteins for Gallus gallus (Chicken)
| 產品貨號 | 產品名稱 | 來源 |
|---|---|---|
| CSB-YP013065CH CSB-EP013065CH CSB-BP013065CH CSB-MP013065CH CSB-EP013065CH-B |
Recombinant Chicken Lipoprotein lipase (LPL) | Yeast E.coli Baculovirus Mammalian cell In Vivo Biotinylation in E.coli |
LPL Proteins for Bos taurus (Bovine)
| 產品貨號 | 產品名稱 | 來源 |
|---|---|---|
| CSB-YP013065BO CSB-EP013065BO CSB-BP013065BO CSB-MP013065BO CSB-EP013065BO-B |
Recombinant Bovine Lipoprotein lipase (LPL) | Yeast E.coli Baculovirus Mammalian cell In Vivo Biotinylation in E.coli |
LPL Proteins for Cavia porcellus (Guinea pig)
| 產品貨號 | 產品名稱 | 來源 |
|---|---|---|
| CSB-YP013065GU CSB-EP013065GU CSB-BP013065GU CSB-MP013065GU CSB-EP013065GU-B |
Recombinant Guinea pig Lipoprotein lipase (LPL) | Yeast E.coli Baculovirus Mammalian cell In Vivo Biotinylation in E.coli |
LPL Proteins for Sus scrofa (Pig)
| 產品貨號 | 產品名稱 | 來源 |
|---|---|---|
| CSB-YP013065PI CSB-EP013065PI CSB-BP013065PI CSB-MP013065PI CSB-EP013065PI-B |
Recombinant Pig Lipoprotein lipase (LPL) | Yeast E.coli Baculovirus Mammalian cell In Vivo Biotinylation in E.coli |
LPL Proteins for Felis catus (Cat) (Felis silvestris catus)
| 產品貨號 | 產品名稱 | 來源 |
|---|---|---|
| CSB-YP013065CA CSB-EP013065CA CSB-BP013065CA CSB-MP013065CA CSB-EP013065CA-B |
Recombinant Cat Lipoprotein lipase (LPL) | Yeast E.coli Baculovirus Mammalian cell In Vivo Biotinylation in E.coli |
LPL Proteins for Homo sapiens (Human)
| 產品貨號 | 產品名稱 | 來源 |
|---|---|---|
| CSB-YP013065HU CSB-EP013065HU CSB-BP013065HU CSB-MP013065HU CSB-EP013065HU-B |
Recombinant Human Lipoprotein lipase (LPL) | Yeast E.coli Baculovirus Mammalian cell In Vivo Biotinylation in E.coli |
LPL Proteins for Mustela vison (American mink) (Neovison vison)
| 產品貨號 | 產品名稱 | 來源 |
|---|---|---|
| CSB-YP013065MVE CSB-EP013065MVE CSB-BP013065MVE CSB-MP013065MVE CSB-EP013065MVE-B |
Recombinant Mustela vison Lipoprotein lipase (LPL) | Yeast E.coli Baculovirus Mammalian cell In Vivo Biotinylation in E.coli |
LPL Proteins for Papio anubis (Olive baboon)
| 產品貨號 | 產品名稱 | 來源 |
|---|---|---|
| CSB-YP013065ERI CSB-EP013065ERI CSB-BP013065ERI CSB-MP013065ERI CSB-EP013065ERI-B |
Recombinant Papio anubis Lipoprotein lipase (LPL) | Yeast E.coli Baculovirus Mammalian cell In Vivo Biotinylation in E.coli |
LPL Proteins for Neurospora crassa (strain ATCC 24698 / 74-OR23-1A / CBS 708.71 / DSM 1257 / FGSC 987)
| 產品貨號 | 產品名稱 | 來源 |
|---|---|---|
| CSB-YP518638NHA CSB-EP518638NHA CSB-BP518638NHA CSB-MP518638NHA CSB-EP518638NHA-B |
Recombinant Neurospora crassa Lysophospholipase (lpl), partial | Yeast E.coli Baculovirus Mammalian cell In Vivo Biotinylation in E.coli |
LPL Proteins for Ovis aries (Sheep)
| 產品貨號 | 產品名稱 | 來源 |
|---|---|---|
| CSB-YP013065SH CSB-EP013065SH CSB-BP013065SH CSB-MP013065SH CSB-EP013065SH-B |
Recombinant Sheep Lipoprotein lipase (LPL) | Yeast E.coli Baculovirus Mammalian cell In Vivo Biotinylation in E.coli |
LPL ELISA Kit
LPL ELISA Kit for Homo sapiens (Human)
| 產品貨號 | 產品名稱 | 樣本類型 | 靈敏度 |
|---|---|---|---|
| CSB-E08493h | Human lipoprotein lipase(LPL)ELISA Kit | serum, plasma, tissue homogenates | 7.81 pg/mL |
LPL ELISA Kit for Mus musculus (Mouse)
| 產品貨號 | 產品名稱 | 樣本類型 | 靈敏度 |
|---|---|---|---|
| CSB-E08495m | Mouse lipoprotein lipase,LPL ELISA Kit | serum, plasma, cell culture supernates, tissue homogenates | 0.156 ng/mL |
LPL ELISA Kit for Rattus norvegicus (Rat)
| 產品貨號 | 產品名稱 | 樣本類型 | 靈敏度 |
|---|---|---|---|
| CSB-E08494r | Rat lipoprotein lipase,LPL ELISA Kit | serum, plasma, tissue homogenates | 1.95 pg/mL |






