LEP
LEP,即瘦素(leptin),別名包括FLJ94114、LEPD、leptin、OB、OBS。LEP由人類LEP基因編碼,該基因位于7號染色體的p13位。LEP是一種主要由白色脂肪組織分泌的激素,通過與其受體LEPR(或OB-R)結合產生生物學效應。LEP的作用機制涉及調節食物攝入、能量消耗和脂肪代謝,通過與下丘腦部位相應受體的結合,參與機體的能量平衡和體重調節。LEP不僅在調節脂肪儲存中起主要作用,還在生長、生殖等生理過程中發揮作用,并且與神經內分泌、血管新生、免疫調節和創傷修復等方面的作用也逐漸受到重視。LEP還在肥胖、糖尿病、心血管疾病和缺血再灌注損傷等方面的作用被廣泛研究。
熱銷產品
Recombinant Human Leptin (LEP), partial (CSB-RP067974h)
驗證數據
(Tris-Glycine gel) Discontinuous SDS-PAGE (reduced) with 5% enrichment gel and 15% separation gel.
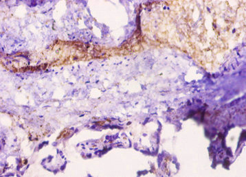
LEP Antibody (CSB-PA06799A0Rb)
驗證數據
Immunohistochemistry of paraffin-embedded human placenta tissue using CSB-PA06799A0Rb at dilution of 1:10
Immunofluorescent analysis of Hela cells using CSB-PA06799A0Rb at dilution of 1:100 and Alexa Fluor 488-congugated AffiniPure Goat Anti-Rabbit IgG(H+L)
Human Leptin,LEP ELISA kit (CSB-E04649h)
驗證數據
貨號:CSB-E04649h
規格:96T/48T
靈敏度:0.060 ng/mL
檢測范圍:0.156 ng/mL-10 ng/mL
These standard curves are provided for demonstration only. A standard curve should be generated for each set of samples assayed.
LEP Antibodies
LEP for Homo sapiens (Human)
| 產品貨號 | 產品名稱 | 種屬反應性 | 應用類型 |
|---|---|---|---|
| CSB-PA012870GA01HU | LEP Antibody | Human,Mouse,Rat | ELISA,IHC |
| CSB-PA06799A0Rb | LEP Antibody | Human | ELISA, IHC, IF |
| CSB-PA009805 | LEP Antibody | Human,Mouse,Rat | IHC, ELISA |
| CSB-PA223042 | LEP Antibody | Human,Mouse,Rat | ELISA,IHC |
LEP for Bovine
| 產品貨號 | 產品名稱 | 種屬反應性 | 應用類型 |
|---|---|---|---|
| CSB-PA012870LA01BO | LEP Antibody | Bovine | ELISA, WB |
| CSB-PA012870LB01BO | LEP Antibody, HRP conjugated | Bovine | ELISA |
| CSB-PA012870LC01BO | LEP Antibody, FITC conjugated | Bovine | |
| CSB-PA012870LD01BO | LEP Antibody, Biotin conjugated | Bovine | ELISA |
LEP Proteins
LEP Proteins for Mus musculus (Mouse)
| 產品貨號 | 產品名稱 | 來源 |
|---|---|---|
| CSB-YP012870MO CSB-BP012870MO CSB-MP012870MO CSB-EP012870MO-B |
Recombinant Mouse Leptin (Lep) | Yeast Baculovirus Mammalian cell In Vivo Biotinylation in E.coli |
LEP Proteins for Homo sapiens (Human)
| 產品貨號 | 產品名稱 | 來源 |
|---|---|---|
| CSB-YP012870HU CSB-EP012870HU CSB-BP012870HU CSB-MP012870HU CSB-EP012870HU-B |
Recombinant Human Leptin (LEP) | Yeast E.coli Baculovirus Mammalian cell In Vivo Biotinylation in E.coli |
| CSB-RP067974h | Recombinant Human Leptin (LEP), partial | E.coli |
| CSB-AP000061HU | Recombinant Human Leptin protein (LEP) | E.Coli |
LEP Proteins for Bos taurus (Bovine)
| 產品貨號 | 產品名稱 | 來源 |
|---|---|---|
| CSB-YP012870BO CSB-EP012870BO CSB-BP012870BO CSB-MP012870BO CSB-EP012870BO-B |
Recombinant Bovine Leptin (LEP) | Yeast E.coli Baculovirus Mammalian cell In Vivo Biotinylation in E.coli |
LEP Proteins for Rattus norvegicus (Rat)
| 產品貨號 | 產品名稱 | 來源 |
|---|---|---|
| CSB-YP012870RA CSB-BP012870RA CSB-MP012870RA CSB-EP012870RA-B |
Recombinant Rat Leptin (Lep) | Yeast Baculovirus Mammalian cell In Vivo Biotinylation in E.coli |
LEP Proteins for Gallus gallus (Chicken)
| 產品貨號 | 產品名稱 | 來源 |
|---|---|---|
| CSB-YP012870CH CSB-EP012870CH CSB-BP012870CH CSB-MP012870CH CSB-EP012870CH-B |
Recombinant Chicken Leptin (LEP) | Yeast E.coli Baculovirus Mammalian cell In Vivo Biotinylation in E.coli |
LEP Proteins for Canis familiaris (Dog) (Canis lupus familiaris)
| 產品貨號 | 產品名稱 | 來源 |
|---|---|---|
| CSB-YP012870DO CSB-EP012870DO CSB-BP012870DO CSB-MP012870DO CSB-EP012870DO-B |
Recombinant Dog Leptin (LEP) | Yeast E.coli Baculovirus Mammalian cell In Vivo Biotinylation in E.coli |
LEP Proteins for Pan troglodytes (Chimpanzee)
| 產品貨號 | 產品名稱 | 來源 |
|---|---|---|
| CSB-YP012870EQV CSB-EP012870EQV CSB-BP012870EQV CSB-MP012870EQV CSB-EP012870EQV-B |
Recombinant Pan troglodytes Leptin (LEP) | Yeast E.coli Baculovirus Mammalian cell In Vivo Biotinylation in E.coli |
LEP Proteins for Meleagris gallopavo (Common turkey)
| 產品貨號 | 產品名稱 | 來源 |
|---|---|---|
| CSB-YP012870MQV CSB-EP012870MQV CSB-BP012870MQV CSB-MP012870MQV CSB-EP012870MQV-B |
Recombinant Meleagris gallopavo Leptin (LEP) | Yeast E.coli Baculovirus Mammalian cell In Vivo Biotinylation in E.coli |
LEP Proteins for Tetraodon nigroviridis (Spotted green pufferfish) (Chelonodon nigroviridis)
| 產品貨號 | 產品名稱 | 來源 |
|---|---|---|
| CSB-YP012870TCA CSB-EP012870TCA CSB-BP012870TCA CSB-MP012870TCA CSB-EP012870TCA-B |
Recombinant Tetraodon nigroviridis Leptin (lep) | Yeast E.coli Baculovirus Mammalian cell In Vivo Biotinylation in E.coli |
LEP Proteins for Bubalus bubalis (Domestic water buffalo)
| 產品貨號 | 產品名稱 | 來源 |
|---|---|---|
| CSB-YP012870BWX CSB-EP012870BWX CSB-BP012870BWX CSB-MP012870BWX CSB-EP012870BWX-B |
Recombinant Bubalus bubalis Leptin (LEP) | Yeast E.coli Baculovirus Mammalian cell In Vivo Biotinylation in E.coli |
LEP Proteins for Phoca vitulina (Harbor seal)
| 產品貨號 | 產品名稱 | 來源 |
|---|---|---|
| CSB-YP012870EUR CSB-EP012870EUR CSB-BP012870EUR CSB-MP012870EUR CSB-EP012870EUR-B |
Recombinant Phoca vitulina Leptin (LEP) | Yeast E.coli Baculovirus Mammalian cell In Vivo Biotinylation in E.coli |
LEP Proteins for Halichoerus grypus (Gray seal)
| 產品貨號 | 產品名稱 | 來源 |
|---|---|---|
| CSB-YP012870HAU CSB-EP012870HAU CSB-BP012870HAU CSB-MP012870HAU CSB-EP012870HAU-B |
Recombinant Halichoerus grypus Leptin (LEP) | Yeast E.coli Baculovirus Mammalian cell In Vivo Biotinylation in E.coli |
LEP Proteins for Pongo pygmaeus (Bornean orangutan)
| 產品貨號 | 產品名稱 | 來源 |
|---|---|---|
| CSB-YP012870EXP CSB-EP012870EXP CSB-BP012870EXP CSB-MP012870EXP CSB-EP012870EXP-B |
Recombinant Pongo pygmaeus Leptin (LEP) | Yeast E.coli Baculovirus Mammalian cell In Vivo Biotinylation in E.coli |
LEP Proteins for Gorilla gorilla gorilla (Lowland gorilla)
| 產品貨號 | 產品名稱 | 來源 |
|---|---|---|
| CSB-YP012870GGZ CSB-EP012870GGZ CSB-BP012870GGZ CSB-MP012870GGZ CSB-EP012870GGZ-B |
Recombinant Gorilla gorilla gorilla Leptin (LEP) | Yeast E.coli Baculovirus Mammalian cell In Vivo Biotinylation in E.coli |
LEP Proteins for Felis catus (Cat) (Felis silvestris catus)
| 產品貨號 | 產品名稱 | 來源 |
|---|---|---|
| CSB-YP012870CA CSB-EP012870CA CSB-BP012870CA CSB-MP012870CA CSB-EP012870CA-B |
Recombinant Cat Leptin (LEP) | Yeast E.coli Baculovirus Mammalian cell In Vivo Biotinylation in E.coli |
LEP Proteins for Equus caballus (Horse)
| 產品貨號 | 產品名稱 | 來源 |
|---|---|---|
| CSB-YP012870HO CSB-EP012870HO CSB-BP012870HO CSB-MP012870HO CSB-EP012870HO-B |
Recombinant Horse Leptin (LEP), partial | Yeast E.coli Baculovirus Mammalian cell In Vivo Biotinylation in E.coli |
LEP Proteins for Sminthopsis crassicaudata (Fat-tailed dunnart) (Phascogale crassicaudata)
| 產品貨號 | 產品名稱 | 來源 |
|---|---|---|
| CSB-YP012870SZT CSB-EP012870SZT CSB-BP012870SZT CSB-MP012870SZT CSB-EP012870SZT-B |
Recombinant Sminthopsis crassicaudata Leptin (LEP) | Yeast E.coli Baculovirus Mammalian cell In Vivo Biotinylation in E.coli |
LEP Proteins for Ovis aries (Sheep)
| 產品貨號 | 產品名稱 | 來源 |
|---|---|---|
| CSB-YP012870SH CSB-EP012870SH CSB-BP012870SH CSB-MP012870SH CSB-EP012870SH-B |
Recombinant Sheep Leptin (LEP) | Yeast E.coli Baculovirus Mammalian cell In Vivo Biotinylation in E.coli |
LEP Proteins for Capra hircus (Goat)
| 產品貨號 | 產品名稱 | 來源 |
|---|---|---|
| CSB-YP012870GO CSB-EP012870GO CSB-BP012870GO CSB-MP012870GO CSB-EP012870GO-B |
Recombinant Goat Leptin (LEP) | Yeast E.coli Baculovirus Mammalian cell In Vivo Biotinylation in E.coli |
LEP Proteins for Macaca mulatta (Rhesus macaque)
| 產品貨號 | 產品名稱 | 來源 |
|---|---|---|
| CSB-YP012870MOW CSB-EP012870MOW CSB-BP012870MOW CSB-MP012870MOW CSB-EP012870MOW-B |
Recombinant Macaca mulatta Leptin (LEP) | Yeast E.coli Baculovirus Mammalian cell In Vivo Biotinylation in E.coli |
LEP Proteins for Ursus thibetanus (Asiatic black bear) (Selenarctos thibetanus)
| 產品貨號 | 產品名稱 | 來源 |
|---|---|---|
| CSB-YP012870UAY CSB-EP012870UAY CSB-BP012870UAY CSB-MP012870UAY CSB-EP012870UAY-B |
Recombinant Ursus thibetanus Leptin (LEP) | Yeast E.coli Baculovirus Mammalian cell In Vivo Biotinylation in E.coli |
LEP Proteins for Sus scrofa (Pig)
| 產品貨號 | 產品名稱 | 來源 |
|---|---|---|
| CSB-YP012870PI CSB-BP012870PI CSB-MP012870PI CSB-EP012870PI-B |
Recombinant Pig Leptin (LEP) | Yeast Baculovirus Mammalian cell In Vivo Biotinylation in E.coli |
LEP Proteins for Takifugu rubripes (Japanese pufferfish) (Fugu rubripes)
| 產品貨號 | 產品名稱 | 來源 |
|---|---|---|
| CSB-YP012870TKY CSB-EP012870TKY CSB-BP012870TKY CSB-MP012870TKY CSB-EP012870TKY-B |
Recombinant Takifugu rubripes Leptin (lep) | Yeast E.coli Baculovirus Mammalian cell In Vivo Biotinylation in E.coli |
LEP Proteins for Arabidopsis thaliana (Mouse-ear cress)
| 產品貨號 | 產品名稱 | 來源 |
|---|---|---|
| CSB-YP868133DOA CSB-EP868133DOA CSB-BP868133DOA CSB-MP868133DOA CSB-EP868133DOA-B |
Recombinant Arabidopsis thaliana Ethylene-responsive transcription factor LEP (LEP) | Yeast E.coli Baculovirus Mammalian cell In Vivo Biotinylation in E.coli |
LEP ELISA Kit
LEP ELISA Kit for Bos taurus (Bovine)
| 產品貨號 | 產品名稱 | 樣本類型 | 靈敏度 |
|---|---|---|---|
| CSB-E06771b | Bovine Leptin,LEP ELISA Kit | serum, plasma, tissue homogenates | 3.12 ng/mL |
LEP ELISA Kit for Gallus gallus (Chicken)
| 產品貨號 | 產品名稱 | 樣本類型 | 靈敏度 |
|---|---|---|---|
| CSB-E14082C | Chicken Leptin,LEP ELISA kit | serum, plasma, tissue homogenates | 0.078 ng/mL |
LEP ELISA Kit for Capra hircus (Goat)
| 產品貨號 | 產品名稱 | 樣本類型 | 靈敏度 |
|---|---|---|---|
| CSB-E12834G | Goat Leptin,LEP ELISA kit | serum, plasma | 0.156 ng/mL |
LEP ELISA Kit for Equus caballus (Horse)
| 產品貨號 | 產品名稱 | 樣本類型 | 靈敏度 |
|---|---|---|---|
| CSB-EL012870HO | Horse Leptin(LEP) ELISA kit | serum, plasma, tissue homogenates | 0.78 pg/mL |
LEP ELISA Kit for Homo sapiens (Human)
| 產品貨號 | 產品名稱 | 樣本類型 | 靈敏度 |
|---|---|---|---|
| CSB-E04649h | Human Leptin,LEP ELISA kit | serum, plasma, tissue homogenates | 0.060 ng/mL |
LEP ELISA Kit for Monkey
| 產品貨號 | 產品名稱 | 樣本類型 | 靈敏度 |
|---|---|---|---|
| CSB-E14936Mk | Monkey Leptin,LEP ELISA Kit | serum, plasma, tissue homogenates | 3.125 ng/mL |
LEP ELISA Kit for Mus musculus (Mouse)
| 產品貨號 | 產品名稱 | 樣本類型 | 靈敏度 |
|---|---|---|---|
| CSB-E04650m | Mouse Leptin,LEP ELISA kit | serum, plasma, tissue homogenates | 0.078 ng/mL |
LEP ELISA Kit for Sus scrofa (Pig)
| 產品貨號 | 產品名稱 | 樣本類型 | 靈敏度 |
|---|---|---|---|
| CSB-E06815p | Pig Leptin,LEP ELISA Kit | serum, plasma, tissue homogenates | 0.125 ng/mL |
LEP ELISA Kit for Rattus norvegicus (Rat)
| 產品貨號 | 產品名稱 | 樣本類型 | 靈敏度 |
|---|---|---|---|
| CSB-E07433r | Rat Leptin,LEP ELISA kit | serum, plasma, tissue homogenates. | 0.195 ng/ml. |
LEP ELISA Kit for Ovis aries (Sheep)
| 產品貨號 | 產品名稱 | 樣本類型 | 靈敏度 |
|---|---|---|---|
| CSB-EL012870SH | Sheep Leptin(LEP) ELISA kit | serum, plasma, tissue homogenates | 0.78 ng/mL |






