KMT5A
KMT5A,全稱賴氨酸甲基轉移酶5A,也被稱為SETD8、SET07或PR-SET7,是一種參與組蛋白H4第20位賴氨酸單甲基化的酶。這種甲基化修飾在染色質結構、DNA損傷修復和細胞周期調控中發揮重要作用。KMT5A蛋白的表達水平在細胞周期的S期和G2/M期最高,有助于維持基因組穩定性和保證有絲分裂的正常進行。
KMT5A與某些神經退行性疾病和心血管疾病也存在潛在關聯,但其具體機制仍需進一步研究。目前,針對KMT5A蛋白的藥物研發主要集中在抑制劑的開發上,例如UNC0379 TFA是一種選擇性的SETD8 (KMT5A) 抑制劑,可用于炎癥癌癥的研究。此外,還有針對KMT5A基因的基因編輯技術,通過下調或清除KMT5A基因的表達,增強免疫細胞對腫瘤細胞的殺傷作用,為腫瘤治療提供了新的思路。
熱銷產品
KMT5A Antibody (CSB-PA889082LA01HU)
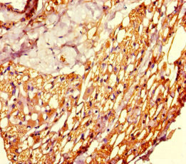
驗證數據
Immunohistochemistry of paraffin-embedded human thyroid tissue using CSB-PA889082LA01HU at dilution of 1:100
KMT5A Antibodies
KMT5A for Homo sapiens (Human)
| 產品貨號 | 產品名稱 | 種屬反應性 | 應用類型 |
|---|---|---|---|
| CSB-PA889082LA01HU | KMT5A Antibody | Human | ELISA, IHC |
| CSB-PA889082LC01HU | KMT5A Antibody, FITC conjugated | Human |
KMT5A Proteins
KMT5A Proteins for Homo sapiens (Human)
| 產品貨號 | 產品名稱 | 來源 |
|---|---|---|
| CSB-YP889082HU CSB-EP889082HU CSB-BP889082HU CSB-MP889082HU CSB-EP889082HU-B |
Recombinant Human N-lysine methyltransferase SETD8 (SETD8) | Yeast E.coli Baculovirus Mammalian cell In Vivo Biotinylation in E.coli |






