KIF13B
KIF13B,全稱為驅動蛋白家族成員13B,也被稱為GAKIN。這是一種250kD的磷酸化蛋白,主要在細胞骨架中發揮作用。KIF13B通過其N端馬達域中的ATP/GTP結合基序,參與細胞內物質的運輸。它在肝臟脂質代謝和線粒體功能中扮演重要角色,與代謝障礙相關脂肪性肝病(MAFLD)等疾病有關。目前,針對KIF13B的研究為MAFLD的治療提供了新的思路,有望開發出更有效的治療藥物。
熱銷產品
KIF13B Antibody (CSB-PA873625LA01HU)
驗證數據
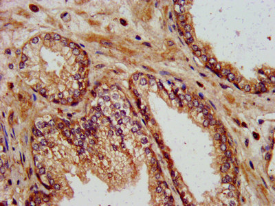
IHC image of CSB-PA873625LA01HU diluted at 1:400 and staining in paraffin-embedded human prostate cancer performed on a Leica BondTM system.
Immunofluorescence staining of A549 cells with CSB-PA873625LA01HU at 1:133, counter-stained with DAPI. The cells were fixed in 4% formaldehyde, permeabilized using 0.2% Triton X-100 and blocked in 10% normal Goat Serum. The cells were then incubated with the antibody overnight at 4°C. The secondary antibody was Alexa Fluor 488-congugated AffiniPure Goat Anti-Rabbit IgG(H+L).
KIF13B Antibodies
KIF13B for Homo sapiens (Human)
| 產品貨號 | 產品名稱 | 種屬反應性 | 應用類型 |
|---|---|---|---|
| CSB-PA008352 | KIF13B Antibody | Human | WB, IHC, ELISA |
| CSB-PA873625LA01HU | KIF13B Antibody | Human | ELISA, IHC, IF |
| CSB-PA873625LC01HU | KIF13B Antibody, FITC conjugated | Human | |
| CSB-PA873625LD01HU | KIF13B Antibody, Biotin conjugated | Human | ELISA |
KIF13B Proteins
KIF13B Proteins for Homo sapiens (Human)
| 產品貨號 | 產品名稱 | 來源 |
|---|---|---|
| CSB-YP873625HU CSB-EP873625HU CSB-BP873625HU CSB-MP873625HU CSB-EP873625HU-B |
Recombinant Human Kinesin-like protein KIF13B (KIF13B), partial | Yeast E.coli Baculovirus Mammalian cell In Vivo Biotinylation in E.coli |






