JAK1
JAK1,即酪氨酸激酶2亞家族成員1,別名Janus kinase 1。JAK1是一種非受體型酪氨酸激酶,屬于Janus激酶家族,廣泛參與細胞內信號傳導。它由人體細胞自身的基因編碼,在多種細胞類型中都有表達。JAK1的作用機制主要通過與細胞表面受體的胞內部分相互作用,當這些受體被相應配體激活時,JAK1被招募并激活,進而通過自身磷酸化和磷酸化受體的酪氨酸殘基,為信號轉導分子提供結合位點,從而啟動下游信號通路。JAK1在生物學上的意義非常重大,它參與了多種細胞信號傳導過程,包括細胞增殖、分化、凋亡以及免疫反應等。JAK1與多種細胞因子受體相關聯,如干擾素、生長因子和激素受體等,通過激活這些受體的信號傳導,JAK1參與調控了STAT(信號轉導和轉錄激活因子)蛋白的磷酸化和核轉位,從而影響基因表達。JAK1的功能異常與多種疾病有關,尤其是自身免疫性疾病和癌癥,因此,JAK1抑制劑的開發已成為治療這些疾病的新策略。
熱銷產品
Recombinant Human Tyrosine-protein kinase JAK1 (JAK1), partial (CSB-YP011930HU)
驗證數據
(Tris-Glycine gel) Discontinuous SDS-PAGE (reduced) with 5% enrichment gel and 15% separation gel.
JAK1 Recombinant Monoclonal Antibody (CSB-RA227790A0HU)
驗證數據
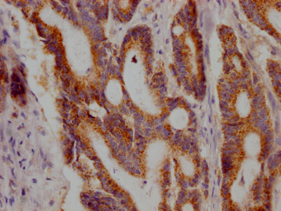
IHC image of CSB-RA227790A0HU diluted at 1:100 and staining in paraffin-embedded human colon cancer performed on a Leica BondTM system. After dewaxing and hydration, antigen retrieval was mediated by high pressure in a citrate buffer (pH 6.0). Section was blocked with 10% normal goat serum 30min at RT. Then primary antibody (1% BSA) was incubated at 4℃ overnight. The primary is detected by a Goat anti-rabbit IgG polymer labeled by HRP and visualized using 0.05% DAB.
JAK1 Antibodies
JAK1 for Homo sapiens (Human)
| 產品貨號 | 產品名稱 | 種屬反應性 | 應用類型 |
|---|---|---|---|
| CSB-PA078763 | Phospho-JAK1 (Tyr1022) Antibody | Human,Mouse,Rat | ELISA,WB,IHC |
| CSB-PA800129 | JAK1 (Ab-1022) Antibody | Human,Mouse,Rat | ELISA,WB,IHC |
| CSB-PA279447 | JAK1 Antibody | Human,Mouse | ELISA,IHC,IF |
| CSB-PA000561 | Phospho-JAK1 (Y1022) Antibody | Human,Mouse,Rat | WB, IHC, ELISA |
| CSB-PA003076 | JAK1 Antibody | Human,Mouse,Rat | WB, IHC, ELISA |
| CSB-PA011285 | JAK1 Antibody | Human,Mouse,Rat | IHC, IF, ELISA |
| CSB-PA217168 | JAK1 Antibody | Human,Mouse,Rat | IHC,ELISA |
| CSB-MA919964 | JAK1 Monoclonal Antibody | Human,Mouse,Rat | ELISA,IHC |
| CSB-RA227790A0HU | JAK1 Recombinant Monoclonal Antibody | Human | ELISA, IHC |
JAK1 Proteins
JAK1 Proteins for Homo sapiens (Human)
| 產品貨號 | 產品名稱 | 來源 |
|---|---|---|
| CSB-YP011930HU | Recombinant Human Tyrosine-protein kinase JAK1 (JAK1), partial | Yeast |
| CSB-EP011930HU | Recombinant Human Tyrosine-protein kinase JAK1 (Jak1), partial | E.coli |
| CSB-BP011930HU CSB-MP011930HU CSB-EP011930HU-B |
Recombinant Human Tyrosine-protein kinase JAK1 (JAK1), partial | Baculovirus Mammalian cell In Vivo Biotinylation in E.coli |
JAK1 Proteins for Mus musculus (Mouse)
| 產品貨號 | 產品名稱 | 來源 |
|---|---|---|
| CSB-YP011930MO CSB-BP011930MO CSB-MP011930MO CSB-EP011930MO-B |
Recombinant Mouse Tyrosine-protein kinase JAK1 (Jak1), partial | Yeast Baculovirus Mammalian cell In Vivo Biotinylation in E.coli |
| CSB-EP011930MO | Recombinant Mouse Tyrosine-protein kinase JAK1 (Jak1), partial | E.coli |
JAK1 Proteins for Danio rerio (Zebrafish) (Brachydanio rerio)
| 產品貨號 | 產品名稱 | 來源 |
|---|---|---|
| CSB-YP011930DIL CSB-EP011930DIL CSB-BP011930DIL CSB-MP011930DIL CSB-EP011930DIL-B |
Recombinant Danio rerio Tyrosine-protein kinase JAK1 (jak1), partial | Yeast E.coli Baculovirus Mammalian cell In Vivo Biotinylation in E.coli |
JAK1 Proteins for Cyprinus carpio (Common carp)
| 產品貨號 | 產品名稱 | 來源 |
|---|---|---|
| CSB-YP600212EQE CSB-EP600212EQE CSB-BP600212EQE CSB-MP600212EQE CSB-EP600212EQE-B |
Recombinant Cyprinus carpio Tyrosine-protein kinase JAK1 (jak1), partial | Yeast E.coli Baculovirus Mammalian cell In Vivo Biotinylation in E.coli |






