ITGB2
ITGB2全稱為整合素β2亞基,也被稱為CD18或淋巴細胞功能相關抗原-1(LFA-1)組成部分。該蛋白主要與α亞基結合形成異源二聚體,在免疫細胞表面廣泛表達,參與白細胞遷移、炎癥反應和免疫應答。ITGB2功能異常會導致白細胞黏附缺陷癥(LAD),患者因免疫細胞無法有效遷移至感染部位,常出現反復細菌感染、傷口愈合困難等癥狀。ITGB2與慢性炎癥性疾病、動脈粥樣硬化及腫瘤轉移也存在關聯。
在藥物研發領域,針對ITGB2的靶向策略多聚焦于調控免疫反應。例如LFA-1抑制劑如利妥昔單抗已用于治療類風濕性關節炎,通過阻斷免疫細胞過度活化減輕炎癥損傷。新型小分子抑制劑如BMS-986020正在進行臨床試驗,探索在器官移植排異反應中的應用。部分研究嘗試利用納米抗體技術開發特異性阻斷劑,但尚未進入臨床階段。由于整合素家族成員的功能交叉性,如何實現精準靶向仍是當前研究的難點。
熱銷產品
ITGB2 Antibody (CSB-PA011884LA01HU)
驗證數據
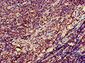
Immunohistochemistry of paraffin-embedded human lymph node tissue using CSB-PA011884LA01HU at dilution of 1:100
Immunofluorescent analysis of Hela cells using CSB-PA011884LA01HU at dilution of 1:100 and Alexa Fluor 488-congugated AffiniPure Goat Anti-Rabbit IgG(H+L)
ITGB2 Antibodies
ITGB2 for Homo sapiens (Human)
| 產品貨號 | 產品名稱 | 種屬反應性 | 應用類型 |
|---|---|---|---|
| CSB-PA005838 | ITGB2 Antibody | Human | ELISA |
| CSB-PA011268 | Phospho-ITGB2 (T758) Antibody | Human,Mouse,Rat | IF, ELISA |
| CSB-PA011269 | ITGB2 Antibody | Human,Mouse,Rat | IF, ELISA |
| CSB-PA066585 | ITGB2 Antibody | Human,Mouse | ELISA,IHC |
| CSB-PA877324 | ITGB2 Antibody | Human,Mouse | ELISA,WB,IHC |
| CSB-PA011884LA01HU | ITGB2 Antibody | Human | ELISA, IHC, IF |
| CSB-PA011884LB01HU | ITGB2 Antibody, HRP conjugated | Human | ELISA |
| CSB-PA011884LC01HU | ITGB2 Antibody, FITC conjugated | Human | |
| CSB-PA011884LD01HU | ITGB2 Antibody, Biotin conjugated | Human | ELISA |
| CSB-RA011884MA1HU | ITGB2 Recombinant Monoclonal Antibody | Human | ELISA, FC |
ITGB2 Proteins
ITGB2 Proteins for Mus musculus (Mouse)
| 產品貨號 | 產品名稱 | 來源 |
|---|---|---|
| CSB-YP011884MO1 CSB-EP011884MO1 CSB-BP011884MO1 CSB-MP011884MO1 CSB-EP011884MO1-B |
Recombinant Mouse Integrin beta-2 (Itgb2), partial | Yeast E.coli Baculovirus Mammalian cell In Vivo Biotinylation in E.coli |
| CSB-CF011884MO | Recombinant Mouse Integrin beta-2 (Itgb2) | in vitro E.coli expression system |
ITGB2 Proteins for Bos taurus (Bovine)
| 產品貨號 | 產品名稱 | 來源 |
|---|---|---|
| CSB-YP011884BO1 CSB-EP011884BO1 CSB-BP011884BO1 CSB-MP011884BO1 CSB-EP011884BO1-B |
Recombinant Bovine Integrin beta-2 (ITGB2), partial | Yeast E.coli Baculovirus Mammalian cell In Vivo Biotinylation in E.coli |
| CSB-CF011884BO | Recombinant Bovine Integrin beta-2 (ITGB2) | in vitro E.coli expression system |
ITGB2 Proteins for Sus scrofa (Pig)
| 產品貨號 | 產品名稱 | 來源 |
|---|---|---|
| CSB-YP011884PI1 CSB-EP011884PI1 CSB-BP011884PI1 CSB-MP011884PI1 CSB-EP011884PI1-B |
Recombinant Pig Integrin beta-2 (ITGB2), partial | Yeast E.coli Baculovirus Mammalian cell In Vivo Biotinylation in E.coli |
| CSB-CF011884PI | Recombinant Pig Integrin beta-2 (ITGB2) | in vitro E.coli expression system |
ITGB2 Proteins for Homo sapiens (Human)
| 產品貨號 | 產品名稱 | 來源 |
|---|---|---|
| CSB-YP011884HU1 CSB-EP011884HU1 CSB-BP011884HU1 CSB-MP011884HU1 CSB-EP011884HU1-B |
Recombinant Human Integrin beta-2 (ITGB2), partial | Yeast E.coli Baculovirus Mammalian cell In Vivo Biotinylation in E.coli |
| CSB-CF011884HU | Recombinant Human Integrin beta-2 (ITGB2) | in vitro E.coli expression system |
ITGB2 Proteins for Ovis canadensis (Bighorn sheep)
| 產品貨號 | 產品名稱 | 來源 |
|---|---|---|
| CSB-YP651222OAAI CSB-EP651222OAAI CSB-BP651222OAAI CSB-MP651222OAAI CSB-EP651222OAAI-B |
Recombinant Ovis canadensis Integrin beta-2 (ITGB2), partial | Yeast E.coli Baculovirus Mammalian cell In Vivo Biotinylation in E.coli |
ITGB2 Proteins for Capra hircus (Goat)
| 產品貨號 | 產品名稱 | 來源 |
|---|---|---|
| CSB-YP713335GO CSB-EP713335GO CSB-BP713335GO CSB-MP713335GO CSB-EP713335GO-B |
Recombinant Goat Integrin beta-2 (ITGB2), partial | Yeast E.coli Baculovirus Mammalian cell In Vivo Biotinylation in E.coli |
ITGB2 Proteins for Ovis aries (Sheep)
| 產品貨號 | 產品名稱 | 來源 |
|---|---|---|
| CSB-YP728580SH CSB-EP728580SH CSB-BP728580SH CSB-MP728580SH CSB-EP728580SH-B |
Recombinant Sheep Integrin beta-2 (ITGB2), partial | Yeast E.coli Baculovirus Mammalian cell In Vivo Biotinylation in E.coli |
ITGB2 ELISA Kit
ITGB2 ELISA Kit for Homo sapiens (Human)
| 產品貨號 | 產品名稱 | 樣本類型 | 靈敏度 |
|---|---|---|---|
| CSB-E10004h | Human integrin β2,ITG β2/CD11+CD18 ELISA Kit | serum, plasma, tissue homogenates | 3.9 pg/mL |






